跳转至内容
Merck
CN

ZRB1783

Anti-CTLA4/CD152 Antibody, clone 1D10 ZooMAb® Rabbit Monoclonal

greener alternative

recombinant, expressed in HEK 293 cells

别名:

Cytotoxic T-lymphocyte protein 4;Cytotoxic T-lymphocyte-associated antigen 4

登录 查看组织和合同定价。

选择尺寸

变更视图

关于此项目

NACRES:
NA.43
UNSPSC Code:
12352203
Conjugate:
unconjugated
Clone:
1D10, recombinant monoclonal
Application:
FACS, ICC, IHC (p), WB, affinity binding assay
Citations:
-
技术服务
需要帮助?我们经验丰富的科学家团队随时乐意为您服务。
让我们为您提供帮助


biological source

rabbit

Quality Level

recombinant

expressed in HEK 293 cells

conjugate

unconjugated

antibody form

purified antibody

antibody product type

primary antibodies

clone

1D10, recombinant monoclonal

description

1D10 Clone

product line

ZooMAb® learn more

form

lyophilized

mol wt

calculated mol wt 24.66 kDa, observed mol wt ~20 kDa

purified by

using Protein A

species reactivity

human

species reactivity (predicted by homology)

monkey

packaging

antibody small pack of 25 μL

greener alternative product characteristics

Waste Prevention
Designing Safer Chemicals
Design for Energy Efficiency
Learn more about the Principles of Green Chemistry.

enhanced validation

recombinant expression
Learn more about Antibody Enhanced Validation

sustainability

Greener Alternative Product

technique(s)

affinity binding assay: suitable, flow cytometry: suitable, immunocytochemistry: suitable, immunohistochemistry (formalin-fixed, paraffin-embedded sections): suitable, western blot: suitable

isotype

IgG

epitope sequence

N-terminal extracellular domain

Protein ID accession no.

UniProt accession no.

greener alternative category

shipped in

ambient

storage temp.

2-8°C

target post-translational modification

unmodified

Gene Information

human ... CTLA4(1493)

General description

Cytotoxic T-lymphocyte protein 4 (UniProt: P16410; also known as Cytotoxic T-lymphocyte-associated antigen 4. CTLA4, CD152) is encoded by the CTLA4 (also known as CD152) gene (Gene ID: 1493) in human. CTLA-4 is a single-pass type I, homodimeric membrane protein that is synthesized with a signal peptide (aa 1-35), which is subsequently cleaved off to produce the mature protein that contains an extracellular domain (aa 36-161), a transmembrane domain (aa 162-182), and a cytoplasmic domain (aa 183-223). It contains two homodimerization domains (aa 46-50 and 150-155). CTLA-4 is widely expressed with highest levels observed in lymphoid tissues. It is also detected in activated T cells where its expression levels are 30- to 50-fold less than CD28, the stimulatory coreceptor. It is not constitutively expressed on T cells but is induced following T cell activation. It serves as an inhibitory receptor acting as a major negative regulator of T-cell responses and plays a major role in downregulation of the immune response. The affinity of CTLA-4 for its natural B7 family ligands, CD80 and CD86, is considerably stronger than the affinity of their cognate stimulatory coreceptor CD28. It interacts with CD80 and CD86 via amino acids 134-139. By limiting CD28-mediated signaling during antigen presentation, CTLA-4 increases the activation threshold of T cells, reducing immune responses to weak antigens such as self- and tumor antigens. CTLA-4 is predominantly found in intracellular vesicles in Treg cells or activated conventional T cells. This localization is due to the constitutive endocytosis of CTLA-4 from the plasma membrane. The endocytosis of CTLA-4 is shown to be extremely rapid and once internalized, it is either recycled to the plasma membrane or is degraded in lysosomal compartment. Phosphorylation of tyrosine 165 by JAK2 is reported to play an important role in its negative signaling and cell surface expression. Phosphorylation of tyrosine 201 is reported to prevent binding to the AP-2 adapter complex and blocks endocytosis that leads to retention of CTLA-4 on the cell surface. Mutations of the AP-2 binding site (Y201F) is shown to increase its retention time on the cell surface. This ZooMAb® recombinant monoclonal antibody, generated by our propriety technology, offers significantly enhanced specificity, affinity, reproducibility, and stability over conventional monoclonals. (Ref.: Rowshanravan, B., et al. (2018). Blood. 131 (1); 58-67; Seidel, JA., et al. (2018). Front. Oncol. 8: 86; Valk, E., et al. (2008). Trends Immunol. 29(6); 272-279; Chikuma, S., et al. (2000). J. Cell. Biochem. 78(2); 241-250).
We are committed to bringing you greener alternative products, which adhere to one or more of The 12 Principles of Green Chemistry.This antibody is Preservative-free, produced without the harm or sacrifice of animals and exceptionally stable to allow for ambient shipping and storage if needed and thus aligns with "Waste Prevention", "Designing Safer Chemicals" and "Design for Energy Efficiency". Click here for more information.
ZooMAb® antibodies represent an entirely new generation of recombinant monoclonal antibodies.Each ZooMAb® antibody is manufactured using our proprietary recombinant expression system, purified to homogeneity, and precisely dispensed to produce robust and highly reproducible lot-to-lot consistency. Only top-performing clones are released for use by researchers. Each antibody is validated for high specificity and affinity across multiple applications, including its most commonly used application. ZooMAb® antibodies are reliably available and ready to ship when you need them.

Immunogen

KLH-conjugated linear peptide corresponding to 22 amino acids from the N-terminal, extracellular domain of human CTLA4 (CD152).

Application

Quality Control Testing

Evaluated by Western Blotting in lysate from PHA treated peripheral blood mononuclear cells (PBMC) treated with PHA.

Western Blotting Analysis (WB): A 1:1,000 dilution of this antibody detected CTLA4/CD152 in lysates from peripheral blood mononuclear cells (PBMC) treated with Phytohaemagglutinin (PHA; 10 g/mL; 2 days).

Tested Applications

Western Blotting Analysis: A 1:1,000 dilution from a representative lot detected CTLA4/CD152 in Raji and MOLT-4 cell lysates.

Immunocytochemistry Analysis: A 1:1,000 dilution from a representative lot detected CTLA4/CD152 in Jurkat cells.

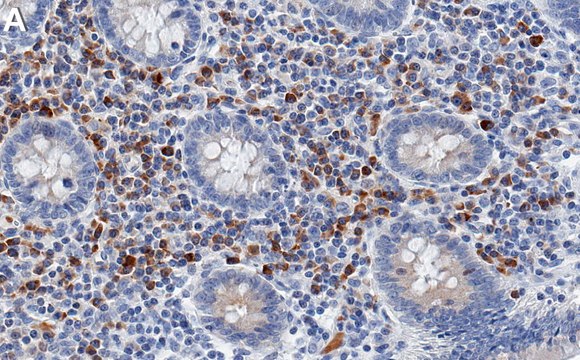
Immunohistochemistry (Paraffin) Analysis: A 1:1,000 dilution from a representative lot detected CTLA4/CD152 in human appendix tissue sections.

Affinity Binding Assay: A representative lot of this antibody bound CTLA4/CD152 peptide with a KD of 4.3 x 10-8 in an affinity binding assay.

Flow Cytometry Analysis: 1 μg from a representative lot detected CTLA4/CD152 in one million Jurkat cells.

Note: Actual optimal working dilutions must be determined by end user as specimens, and experimental conditions may vary with the end user

Biochem/physiol Actions

Clone 1D10 is a ZooMAb® Rabbit recombinant monoclonal antibody that specifically detects CTLA4 (CD152). It targets an epitope within 22 amino acids from the N-terminal, extracellular domain.

Physical form

Purified recombinant rabbit monoclonal antibody IgG, lyophilized in PBS with 5% Trehalose, normal appearance a coarse or translucent resin. The PBS/trehalose components in the ZooMAb formulation can have the appearance of a semi-solid (bead like gel) after lyophilization. This is a normal phenomenon. Please follow the recommended reconstitution procedure in the data sheet to dissolve the semi-solid, bead-like, gel-appearing material. The resulting antibody solution is completely stable and functional as proven by full functional testing. Contains no biocide or preservatives, such as azide, or any animal by-products. Larger pack sizes provided as multiples of 25 μL.

Preparation Note

Recommend storage of lyophilized product at 2-8°C; Before reconstitution, micro-centrifuge vials briefly to spin down material to bottom of the vial; Reconstitute each vial by adding 25 μL of filtered lab grade water or PBS; Reconstituted antibodies can be stored at 2-8°C, or -20°C for long term storage. Avoid repeated freeze-thaws.
Reconstitute lyophilized antibody pellet with 25μL of ultrapure water or Phosphate Buffered Saline (PBS). Please refer to our reconstitution protocol and the specific application guidance on the suggested starting dilutions and sample type.

Legal Information

ZooMAb is a registered trademark of Merck KGaA, Darmstadt, Germany

Disclaimer

Unless otherwise stated in our catalog or other company documentation accompanying the product(s), our products are intended for research use only and are not to be used for any other purpose, which includes but is not limited to, unauthorized commercial uses, in vitro diagnostic uses, ex vivo or in vivo therapeutic uses or any type of consumption or application to humans or animals.


Still not finding the right product?

试用我们的 产品选型工具 工具缩小选择范围


存储类别

11 - Combustible Solids

wgk

WGK 1

flash_point_f

Not applicable

flash_point_c

Not applicable

法规信息

常规特殊物品

此项目有



历史批次信息供参考:

分析证书(COA)

Lot/Batch Number

It looks like we've run into a problem, but you can still download Certificates of Analysis from our 文件 section.

如需帮助,请联系 客户支持

已有该产品?

在文件库中查找您最近购买产品的文档。

访问文档库


商品

Learn about the hallmarks of cancer and find reliable ZooMAb® recombinant antibodies to study them, conveniently organized by cancer hallmark.





全球贸易项目编号

货号GTIN
ZRB1783-25UL04065268961919
ZRB1783-4X25UL04065268961926