biological source
rabbit
Quality Level
recombinant
expressed in HEK 293 cells
conjugate
unconjugated
antibody form
purified antibody
antibody product type
primary antibodies
clone
1M19, recombinant monoclonal
description
1M19 Clone
product line
ZooMAb® learn more
form
lyophilized
mol wt
calculated mol wt 48.29 kDa, observed mol wt ~48 kDa
purified by
using Protein A
species reactivity
human, rat
species reactivity (predicted by homology)
feline, bovine, porcine, mouse, monkey, canine
packaging
antibody small pack of 25 μL
greener alternative product characteristics
Waste Prevention
Designing Safer Chemicals
Design for Energy Efficiency
Learn more about the Principles of Green Chemistry.
enhanced validation
recombinant expression
Learn more about Antibody Enhanced Validation
sustainability
Greener Alternative Product
technique(s)
affinity binding assay: suitable, immunocytochemistry: suitable, immunohistochemistry: suitable, western blot: suitable
isotype
IgG
epitope sequence
N-terminal
Protein ID accession no.
UniProt accession no.
greener alternative category
shipped in
ambient
storage temp.
2-8°C
target post-translational modification
unmodified
Gene Information
human ... VDR(7421)
General description
Vitamin D3 receptor (UniProt: P11473; also known as VDR, 1,25-dihydroxyvitamin D3 receptor, Nuclear receptor subfamily 1 group I member 1) is encoded by the VDR (also known as NR1I1) gene (Gene ID: 7421) in human. Vitamin D3 receptor (VDR) is a nuclear, ligand-dependent transcription regulator that in complex with hormonally active vitamin D3 regulates the expression of several genes. It is expressed mainly in kidney and intestine and plays a central role in calcium homeostasis. It is mainly localized in the nucleus, but some of it is also found in the cytoplasm. Its nuclear localization is enhanced by vitamin D3. VDR contains three distinct regions, an N-terminal dual zinc finger DNA binding domain, a C-terminal ligand-binding activity domain, and an extensive and unstructured region that links the two functional domains of this protein together. It has two vitamin D3 binding domains (aa 227-237 and 271-278). In the absence of bound vitamin D3 it is present as a homodimer, and it enters the nucleus upon vitamin D3 binding where it forms heterodimers with the retinoid X receptor/RXR. The VDR-RXR heterodimers bind to specific response elements on DNA and activate the transcription of vitamin D3-responsive target genes. Mutations in VDR gene has been linked to a vitamin-D dependent form of Rickets with hypocalcemia and secondary hypoparathyroidism. This ZooMAbZooMAb® recombinant monoclonal antibody, generated by our propriety technology, offers significantly enhanced specificity, affinity, reproducibility, and stability over conventional monoclonals. (Ref.: Kongsbak, M., et al. (2013). Front. Immunol. 4; 148; Pike, JW., and Meyer, MB. (2010). Endocrinol. Metab. Clin. North Am. 39(2): 255-269).
We are committed to bringing you greener alternative products, which adhere to one or more of The 12 Principles of Green Chemistry.This antibody is Preservative-free, produced without the harm or sacrifice of animals and exceptionally stable to allow for ambient shipping and storage if needed and thus aligns with "Waste Prevention", "Designing Safer Chemicals" and "Design for Energy Efficiency". Click here for more information.
ZooMAb® antibodies represent an entirely new generation of recombinant monoclonal antibodies.Each ZooMAb® antibody is manufactured using our proprietary recombinant expression system, purified to homogeneity, and precisely dispensed to produce robust and highly reproducible lot-to-lot consistency. Only top-performing clones are released for use by researchers. Each antibody is validated for high specificity and affinity across multiple applications, including its most commonly used application. ZooMAb® antibodies are reliably available and ready to ship when you need them.
Immunogen
KLH-conjugated linear peptide corresponding to 12 amino acids from the N-terminal region of human Vitamin D3 Receptor.
Application
Quality Control Testing
Evaluated by Western Blotting in T-47D cell lysate.
Western Blotting Analysis: A 1:1,000 dilution of this antibody detected Vitamin D3 Receptor in T-47D cell lysate.
Tested applications
Western Blotting Analysis: A 1:1,000 dilution from a representative lot detected Vitamin D3 Receptor in lysates from Rat liver tissue and HeLa cells.
Affinity Binding Assay: A representative lot of this antibody bound Vitamin D3 Receptor peptide with a KD of 9.5 x 10-7 in an affinity binding assay.
Immunocytochemistry Analysis: A 1:100 dilution from a representative lot detected Vitamin D3 Receptor in HeLa cells.
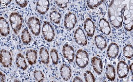
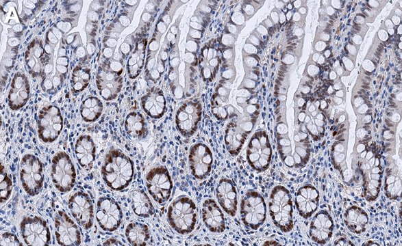
Immunohistochemistry (Paraffin) Analysis: A 1:100 dilution from a representative lot detected Vitamin D3 Receptor in Human small intestine tissue sections.
Note: Actual optimal working dilutions must be determined by end user as specimens, and experimental conditions may vary with the end user
Evaluated by Western Blotting in T-47D cell lysate.
Western Blotting Analysis: A 1:1,000 dilution of this antibody detected Vitamin D3 Receptor in T-47D cell lysate.
Evaluated by Western Blotting in T-47D cell lysate.
Western Blotting Analysis: A 1:1,000 dilution of this antibody detected Vitamin D3 Receptor in T-47D cell lysate.
Tested applications
Western Blotting Analysis: A 1:1,000 dilution from a representative lot detected Vitamin D3 Receptor in lysates from Rat liver tissue and HeLa cells.
Affinity Binding Assay: A representative lot of this antibody bound Vitamin D3 Receptor peptide with a KD of 9.5 x 10-7 in an affinity binding assay.
Immunocytochemistry Analysis: A 1:100 dilution from a representative lot detected Vitamin D3 Receptor in HeLa cells.
Immunohistochemistry (Paraffin) Analysis: A 1:100 dilution from a representative lot detected Vitamin D3 Receptor in Human small intestine tissue sections.
Note: Actual optimal working dilutions must be determined by end user as specimens, and experimental conditions may vary with the end user
Evaluated by Western Blotting in T-47D cell lysate.
Western Blotting Analysis: A 1:1,000 dilution of this antibody detected Vitamin D3 Receptor in T-47D cell lysate.
Biochem/physiol Actions
Clone 1M19 is a ZooMAb® Rabbit recombinant monoclonal antibody that specifically detects Vitamin D3 Receptor. It targets an epitope within 12 amino acids from the N-terminal region.
Physical form
Purified recombinant rabbit monoclonal antibody IgG, lyophilized in PBS, 5% Trehalose, normal appearance a coarse or translucent resin. The PBS/trehalose components in the ZooMAb formulation can have the appearance of a semi-solid (bead like gel) after lyophilization. This is a normal phenomenon. Please follow the recommended reconstitution procedure in the data sheet to dissolve the semi-solid, bead-like, gel-appearing material. The resulting antibody solution is completely stable and functional as proven by full functional testing. Contains no biocide or preservatives, such as azide, or any animal by-products. Larger pack sizes provided as multiples of 25 μL.
Preparation Note
Recommend storage of lyophilized product at 2-8°C; Before reconstitution, micro-centrifuge vials briefly to spin down material to bottom of the vial; Reconstitute each vial by adding 25 μL of filtered lab grade water or PBS; Reconstituted antibodies can be stored at 2-8°C, or -20°C for long term storage. Avoid repeated freeze-thaws.
Reconstitute lyophilized antibody pellet with 25μL of ultrapure water or Phosphate Buffered Saline (PBS). Please refer to our reconstitution protocol and the specific application guidance on the suggested starting dilutions and sample type.
Legal Information
ZooMAb is a registered trademark of Merck KGaA, Darmstadt, Germany
Disclaimer
Unless otherwise stated in our catalog or other company documentation accompanying the product(s), our products are intended for research use only and are not to be used for any other purpose, which includes but is not limited to, unauthorized commercial uses, in vitro diagnostic uses, ex vivo or in vivo therapeutic uses or any type of consumption or application to humans or animals.
Still not finding the right product?
试用我们的 产品选型工具 工具缩小选择范围
存储类别
11 - Combustible Solids
wgk
WGK 1
法规信息
常规特殊物品
常规特殊物品
此项目有
全球贸易项目编号
| 货号 | GTIN |
|---|---|
| ZRB1877-25UL | 04065268546369 |
| ZRB1877-4X25UL | 04065268546376 |