biological source
rabbit
Quality Level
recombinant
expressed in HEK 293 cells
conjugate
unconjugated
antibody form
purified antibody
antibody product type
primary antibodies
clone
1D11, recombinant monoclonal
description
1D11 Clone
product line
ZooMAb® learn more
form
lyophilized
mol wt
calculated mol wt 96.02 kDa, observed mol wt ~100 kDa
purified by
using Protein A
species reactivity
mouse, human
species reactivity (predicted by homology)
monkey, bovine, porcine, canine
packaging
antibody small pack of 25 μL
greener alternative product characteristics
Waste Prevention
Designing Safer Chemicals
Design for Energy Efficiency
Learn more about the Principles of Green Chemistry.
enhanced validation
recombinant expression
Learn more about Antibody Enhanced Validation
sustainability
Greener Alternative Product
technique(s)
affinity binding assay: suitable, immunohistochemistry: suitable, western blot: suitable
isotype
IgG
epitope sequence
N-terminal
Protein ID accession no.
UniProt accession no.
greener alternative category
, Aligned
shipped in
ambient
storage temp.
2-8°C
target post-translational modification
unmodified
Gene Information
human ... PDCD6IP(10015)
General description
Programmed cell death 6-interacting protein (UniProt: Q8WUM4; also known as PDCD6-interacting protein, PDCD6IP, ALG-2-interacting protein 1, ALG-2-interacting protein X, Hp95) is encoded by the PDCD6IP (also known as AIP1, ALIX, KIAA1375) gene (Gene ID: 10015) in human. ALIX/PDCD6IPis a multifunctional protein that interacts with PDCD6 in a calcium-dependent manner. It is involved in endocytosis, multivesicular body biogenesis, membrane repair, cytokinesis, apoptosis, and maintenance of tight junction integrity. It is a class E VPS protein that is involved in concentration and sorting of cargo proteins of the multivesicular body (MVB) for incorporation into intralumenal vesicles (ILVs) that are generated by invagination and scission from the limiting membrane of the endosome. It also serves as an adapter for a subset of ESCRT-III proteins, such as CHMP4, to function at distinct membranes. It is reported to play a role in the regulation of both apoptosis and cell proliferation and its overexpression blocks apoptosis. It is reported to bind to endophilins that play a role in regulating membrane shape during endocytosis. Its overexpression is known to result in cytoplasmic vacuolization that may partly protect cells against apoptosis. Three isoforms of ALIX/PDCD6IP have been described that are produced by alternative splicing. This ZooMAbZooMAb® recombinant monoclonal antibody, generated by our propriety technology, offers significantly enhanced specificity, affinity, reproducibility, and stability over conventional monoclonals. (Ref.: Morita, E., et al. (2007). EMBO J. 26(19); 4215-4227; Chatellard-Causse, C., et al. (2002). J. Biol. Chem. 277(32); 29108-29115).
We are committed to bringing you greener alternative products, which adhere to one or more of The 12 Principles of Green Chemistry.This antibody is Preservative-free, produced without the harm or sacrifice of animals and exceptionally stable to allow for ambient shipping and storage if needed and thus aligns with "Waste Prevention", "Designing Safer Chemicals" and "Design for Energy Efficiency". Click here for more information.
ZooMAb® antibodies represent an entirely new generation of recombinant monoclonal antibodies.Each ZooMAb® antibody is manufactured using our proprietary recombinant expression system, purified to homogeneity, and precisely dispensed to produce robust and highly reproducible lot-to-lot consistency. Only top-performing clones are released for use by researchers. Each antibody is validated for high specificity and affinity across multiple applications, including its most commonly used application. ZooMAb® antibodies are reliably available and ready to ship when you need them.
Immunogen
KLH-conjugated linear peptide corresponding to 25 amino acids from the N-terminal region of human ALIX/PDCD6 interacting protein.
Application
Quality Control Testing
Evaluated by Western Blotting in NIH3T3 cell lysate.
Western Blotting Analysis: A 1:1,000 dilution of this antibody detected ALIX/PDCD6IP in NIH3T3 cell lysate.
Tested applications
Affinity Binding Assay: A representative lot of this antibody bound ALIX with a KD of 1.0 x 10-12 in an affinity binding assay.
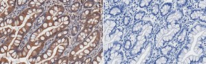
Immunohistochemistry (Paraffin) Analysis: A 1:100 dilution from a representative lot detected ALIX/PDCD6IP in human small intestine tissue sections.
Note: Actual optimal working dilutions must be determined by end user as specimens, and experimental conditions may vary with the end user
Evaluated by Western Blotting in NIH3T3 cell lysate.
Western Blotting Analysis: A 1:1,000 dilution of this antibody detected ALIX/PDCD6IP in NIH3T3 cell lysate.
Evaluated by Western Blotting in NIH3T3 cell lysate.
Western Blotting Analysis: A 1:1,000 dilution of this antibody detected ALIX/PDCD6IP in NIH3T3 cell lysate.
Tested applications
Affinity Binding Assay: A representative lot of this antibody bound ALIX with a KD of 1.0 x 10-12 in an affinity binding assay.
Immunohistochemistry (Paraffin) Analysis: A 1:100 dilution from a representative lot detected ALIX/PDCD6IP in human small intestine tissue sections.
Note: Actual optimal working dilutions must be determined by end user as specimens, and experimental conditions may vary with the end user
Evaluated by Western Blotting in NIH3T3 cell lysate.
Western Blotting Analysis: A 1:1,000 dilution of this antibody detected ALIX/PDCD6IP in NIH3T3 cell lysate.
Biochem/physiol Actions
Clone 1D11 is a ZooMAb® Rabbit recombinant monoclonal antibody that specifically detects ALIX/PDCD6 interacting protein. It targets an epitope within 25 amino acids from the N-terminal region.
Physical form
Purified recombinant rabbit monoclonal antibody IgG, lyophilized in PBS, 5% Trehalose, normal appearance a coarse or translucent resin. The PBS/trehalose components in the ZooMAb formulation can have the appearance of a semi-solid (bead like gel) after lyophilization. This is a normal phenomenon. Please follow the recommended reconstitution procedure in the data sheet to dissolve the semi-solid, bead-like, gel-appearing material. The resulting antibody solution is completely stable and functional as proven by full functional testing. Contains no biocide or preservatives, such as azide, or any animal by-products. Larger pack sizes provided as multiples of 25 μL.
Preparation Note
Recommend storage of lyophilized product at 2-8°C; Before reconstitution, micro-centrifuge vials briefly to spin down material to bottom of the vial; Reconstitute each vial by adding 25 μL of filtered lab grade water or PBS; Reconstituted antibodies can be stored at 2-8°C, or -20°C for long term storage. Avoid repeated freeze-thaws.
Reconstitute lyophilized antibody pellet with 25μL of ultrapure water or Phosphate Buffered Saline (PBS). Please refer to our reconstitution protocol and the specific application guidance on the suggested starting dilutions and sample type.
Legal Information
ZooMAb is a registered trademark of Merck KGaA, Darmstadt, Germany
Disclaimer
Unless otherwise stated in our catalog or other company documentation accompanying the product(s), our products are intended for research use only and are not to be used for any other purpose, which includes but is not limited to, unauthorized commercial uses, in vitro diagnostic uses, ex vivo or in vivo therapeutic uses or any type of consumption or application to humans or animals.
Still not finding the right product?
试用我们的 产品选型工具 工具缩小选择范围
存储类别
11 - Combustible Solids
wgk
nwg
flash_point_f
Not applicable
flash_point_c
Not applicable
法规信息
常规特殊物品
此项目有
全球贸易项目编号
| 货号 | GTIN |
|---|---|
| ZRB1947-25UL | 04065268464557 |
| ZRB1947-4X25UL | 04065268464564 |