跳转至内容
Merck
CN

ZRB1972

Anti-PSA Antibody, clone 1E10 ZooMAb® Rabbit Monoclonal

greener alternative

recombinant, expressed in HEK 293 cells

别名:

Prostate-specific antigen;EC:3.4.21.77;PSA;Gamma-seminoprotein; Seminin;Kallikrein-3;P-30 antigen;Semenogelase

登录 查看组织和合同定价。

选择尺寸

变更视图

关于此项目

NACRES:
NA.43
UNSPSC Code:
12352203
Conjugate:
unconjugated
Clone:
1E10, recombinant monoclonal
Application:
FACS, ICC, IHC, WB, affinity binding assay
Citations:
-
技术服务
需要帮助?我们经验丰富的科学家团队随时乐意为您服务。
让我们为您提供帮助


biological source

rabbit

Quality Level

recombinant

expressed in HEK 293 cells

conjugate

unconjugated

antibody form

purified antibody

antibody product type

primary antibodies

clone

1E10, recombinant monoclonal

description

1E10 Clone

product line

ZooMAb® learn more

form

lyophilized

mol wt

calculated mol wt 28.74 kDa, observed mol wt ~32 kDa

purified by

using Protein A

species reactivity

human

packaging

antibody small pack of 25 μL

greener alternative product characteristics

Waste Prevention
Designing Safer Chemicals
Design for Energy Efficiency
Learn more about the Principles of Green Chemistry.

enhanced validation

recombinant expression
Learn more about Antibody Enhanced Validation

sustainability

Greener Alternative Product

technique(s)

affinity binding assay: suitable, flow cytometry: suitable, immunocytochemistry: suitable, immunohistochemistry: suitable, western blot: suitable

isotype

IgG

epitope sequence

Internal

Protein ID accession no.

UniProt accession no.

greener alternative category

shipped in

ambient

storage temp.

2-8°C

target post-translational modification

unmodified

Gene Information

human ... KLK3(354)

General description

Prostate-specific antigen (UniProt: P07288; also known as EC:3.4.21.77, PSA, Gamma-seminoprotein, Seminin, Kallikrein-3, P-30 antigen, Semenogelase) is encoded by the KLK3 (also known as APS) gene (Gene ID: 354) in human. PSA is a single-chain glycoprotein with serine protease activity. It is a member of the kallikrein family that hydrolyzes semenogelin-1 and causes liquefaction of the seminal coagulum. It is expressed mainly in the prostate gland but is also detected in several other tissues. It is synthesized with a signal peptide (aa 1-17) and a propeptide (aa 18-24) that are subsequently cleaved off to produce the mature PSA (aa 25-261). Under normal conditions, it is synthesized as a proantigen (proPSA) by the secretory cells of the prostate glands and is released into the lumen. In the lumen the propeptide moiety is removed to generate active PSA. The active PSA can undergo proteolysis to generate an inactive PSA, of which a small quantity enters the bloodstream and circulates as free PSA. However, the form of PSA can diffuse directly into the circulation where it is binds to 1-antichymotrypsin and 2-macroglobulin. In healthy individuals, the majority of free PSA in the serum reflects the mature protein that has been inactivated by internal proteolytic cleavage. However, free PSA levels are reduced in subjects with prostate cancer. Elevated PSA levels are detected under conditions of prostate cancer, benign prostatic hypertrophy, prostatitis, and advanced age. PSA activity is shown to be inhibited by Zn2+ and this inhibition is relieved by exposure to semenogelins that act as zinc binders. Five isoforms of PSA have been described that are produced by alternative splicing. This ZooMAbZooMAb® recombinant monoclonal antibody, generated by our propriety technology, offers significantly enhanced specificity, affinity, reproducibility, and stability over conventional monoclonals. (Ref.: Hernandez, J., and Thompson, IM. (2004). Cancer. 101(5); 894-904).
We are committed to bringing you greener alternative products, which adhere to one or more of The 12 Principles of Green Chemistry.This antibody is Preservative-free, produced without the harm or sacrifice of animals and exceptionally stable to allow for ambient shipping and storage if needed and thus aligns with "Waste Prevention", "Designing Safer Chemicals" and "Design for Energy Efficiency". Click here for more information.
ZooMAb® antibodies represent an entirely new generation of recombinant monoclonal antibodies.Each ZooMAb® antibody is manufactured using our proprietary recombinant expression system, purified to homogeneity, and precisely dispensed to produce robust and highly reproducible lot-to-lot consistency. Only top-performing clones are released for use by researchers. Each antibody is validated for high specificity and affinity across multiple applications, including its most commonly used application. ZooMAb® antibodies are reliably available and ready to ship when you need them.

Immunogen

KLH-conjugated linear peptide corresponding to 20 amino acids from the internal region of human Prostate-specific antigen (PSA).

Application

Quality Control Testing

Evaluated by Western Blotting in Human Prostate tissue lysate.

Western Blotting Analysis: A 1:10,000 dilution of this antibody detected prostate specific antigen (PSA) in Human Prostate tissue lysate.

Tested applications

Affinity Binding Assay: A representative lot of this antibody bound prostate specific antigen (PSA) peptide with a KD of 3.0 x 10-7 in an affinity binding assay.

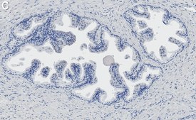
Immunohistochemistry (Paraffin) Analysis: A 1:1,000 dilution from a representative lot detected prostate specific antigen (PSA) in human prostate tissue sections.

Immunocytochemistry Analysis: A 1:100 dilution from a representative lot detected prostate specific antigen (PSA) in LNCaP cells.

Flow Cytometry Analysis: 0.1 μg from a representative lot detected prostate specific antigen (PSA) in one million LNCap cells.

Note: Actual optimal working dilutions must be determined by end user as specimens, and experimental conditions may vary with the end user

Evaluated by Western Blotting in Human Prostate tissue lysate.

Western Blotting Analysis: A 1:10,000 dilution of this antibody detected PSA in Human Prostate tissue lysate.

Biochem/physiol Actions

Clone 1E10 is a ZooMAb® Rabbit recombinant monoclonal antibody that specifically detects Prostate-specific antigen (PSA). It targets an epitope within 20 amino acids from the internal region.

Physical form

Purified recombinant rabbit monoclonal antibody IgG, lyophilized in PBS, 5% Trehalose, normal appearance a coarse or translucent resin. The PBS/trehalose components in the ZooMAb formulation can have the appearance of a semi-solid (bead like gel) after lyophilization. This is a normal phenomenon. Please follow the recommended reconstitution procedure in the data sheet to dissolve the semi-solid, bead-like, gel-appearing material. The resulting antibody solution is completely stable and functional as proven by full functional testing. Contains no biocide or preservatives, such as azide, or any animal by-products. Larger pack sizes provided as multiples of 25 μL.

Preparation Note

Recommend storage of lyophilized product at 2-8°C; Before reconstitution, micro-centrifuge vials briefly to spin down material to bottom of the vial; Reconstitute each vial by adding 25 μL of filtered lab grade water or PBS; Reconstituted antibodies can be stored at 2-8°C, or -20°C for long term storage. Avoid repeated freeze-thaws.
Reconstitute lyophilized antibody pellet with 25μL of ultrapure water or Phosphate Buffered Saline (PBS). Please refer to our reconstitution protocol and the specific application guidance on the suggested starting dilutions and sample type.

Legal Information

ZooMAb is a registered trademark of Merck KGaA, Darmstadt, Germany

Disclaimer

Unless otherwise stated in our catalog or other company documentation accompanying the product(s), our products are intended for research use only and are not to be used for any other purpose, which includes but is not limited to, unauthorized commercial uses, in vitro diagnostic uses, ex vivo or in vivo therapeutic uses or any type of consumption or application to humans or animals.


Still not finding the right product?

试用我们的 产品选型工具 工具缩小选择范围


存储类别

11 - Combustible Solids

wgk

WGK 1

flash_point_f

Not applicable

flash_point_c

Not applicable

法规信息

常规特殊物品

此项目有



历史批次信息供参考:

分析证书(COA)

Lot/Batch Number

没有发现合适的版本?

如果您需要特殊版本,可通过批号或批次号查找具体证书。

已有该产品?

在文件库中查找您最近购买产品的文档。

访问文档库



全球贸易项目编号

货号GTIN
ZRB1972-25UL04065268764930
ZRB1972-4X25UL04065268764947