跳转至内容
Merck
CN

ZRB2057

Anti-ABCA1 Antibody, clone 1J11 ZooMAb® Rabbit Monoclonal

greener alternative

recombinant, expressed in HEK 293 cells

别名:

Phospholipid-transporting ATPase ABCA1;EC:7.6.2.1 1;ATP-binding cassette sub-family A member 1; ATP-binding cassette transporter 1;ABC-1;ATP-binding cassette 1;Cholesterol efflux regulatory protein

登录 查看组织和合同定价。

选择尺寸

变更视图

关于此项目

NACRES:
NA.41
UNSPSC Code:
12352203
Conjugate:
unconjugated
Clone:
1J11, recombinant monoclonal
Application:
FACS, ICC, IHC, WB, affinity binding assay
Citations:
-
技术服务
需要帮助?我们经验丰富的科学家团队随时乐意为您服务。
让我们为您提供帮助


biological source

rabbit

Quality Level

recombinant

expressed in HEK 293 cells

conjugate

unconjugated

antibody form

purified antibody

antibody product type

primary antibodies

clone

1J11, recombinant monoclonal

description

1J11 Clone

product line

ZooMAb® learn more

form

lyophilized

mol wt

calculated mol wt 254.3 kDa, observed mol wt ~250 kDa

purified by

using Protein A

species reactivity

mouse, human

species reactivity (predicted by homology)

porcine, rat, bovine, feline, monkey, canine

packaging

antibody small pack of 25 μL

greener alternative product characteristics

Waste Prevention
Designing Safer Chemicals
Design for Energy Efficiency
Learn more about the Principles of Green Chemistry.

enhanced validation

recombinant expression
Learn more about Antibody Enhanced Validation

sustainability

Greener Alternative Product

technique(s)

affinity binding assay: suitable, flow cytometry: suitable, immunocytochemistry: suitable, immunohistochemistry: suitable, western blot: suitable

isotype

IgG

epitope sequence

C-terminal

Protein ID accession no.

UniProt accession no.

greener alternative category

shipped in

ambient

storage temp.

2-8°C

target post-translational modification

unmodified

Gene Information

human ... ABCA1(19)

General description

Phospholipid-transporting ATPase ABCA1 (UniProt: O95477; also known as EC:7.6.2.1 1 , ATP-binding cassette sub-family A member 1, ATP-binding cassette transporter 1, ABC-1, ATP-binding cassette 1, Cholesterol efflux regulatory protein) is encoded by the ABCA1 (also known as ABC1, CERP) gene (Gene ID: 19) in human. ABCA1 is a multi-pass membrane protein with fifteen transmembrane domains and two extracellular domains (aa 43-639 and 1372-1656). It has two ABC transporter domains (aa 899-1131 and 1912-2144) and two ATP binding sites (aa 933-940 and 1946-1953). ABCA1 is widely expressed but is most abundant in macrophages. It is considered as a key gatekeeper influencing intracellular cholesterol transport. It catalyzes the translocation of specific phospholipids from the cytoplasmic to the extracellular/lumenal leaflet of membrane coupled to the hydrolysis of ATP. It participates in phospholipid transfer to apolipoproteins to form nascent high-density lipoproteins (HDL). It transports preferentially phosphatidylcholine over phosphatidylserine. Mutations in ABCA1 gene have been linked to Tangier disease, an autosomal recessive disorder that is characterized by near absence of plasma high density lipoproteins, low serum HDL cholesterol, and massive tissue deposition of cholesterol esters. ABCA1 is constitutively phosphorylated in RAW macrophages and in a human embryonic kidney cell expressing ABCA1. Phosphorylation of ABCA1 on serine 1042 and 2054 is mediated by protein kinase A. Phosphorylation on serine 2054 is reported to regulate phospholipid efflux. This ZooMAb® recombinant monoclonal antibody, generated by our propriety technology, offers significantly enhanced specificity, affinity, reproducibility, and stability over conventional monoclonals. (Ref.: Quazi, F., and Molday, RS (2013). J. Biol. Chem. 288(48); 34414-34426; See, RH., et al. (2002). J. Biol. Chem. 277(44); 41835-41842; Marcil, M., et al. (1999). Lancet. 354(9187); 1341-1346).
We are committed to bringing you greener alternative products, which adhere to one or more of The 12 Principles of Green Chemistry.This antibody is Preservative-free, produced without the harm or sacrifice of animals and exceptionally stable to allow for ambient shipping and storage if needed and thus aligns with "Waste Prevention", "Designing Safer Chemicals" and "Design for Energy Efficiency". Click here for more information.
ZooMAb® antibodies represent an entirely new generation of recombinant monoclonal antibodies. Each ZooMAb® antibody is manufactured using our proprietary recombinant expression system, purified to homogeneity, and precisely dispensed to produce robust and highly reproducible lot-to-lot consistency. Only top-performing clones are released for use by researchers. Each antibody is validated for high specificity and affinity across multiple applications, including its most commonly used application. ZooMAb® antibodies are reliably available and ready to ship when you need them.

Immunogen

KLH-conjugated linear peptide corresponding to 16 amino acids from the C-terminal region of human ATP-binding cassette transporter 1 (ABCA1).

Application

Quality Control Testing

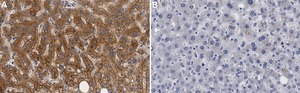
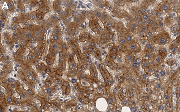
Evaluated by Immunohistochemistry (Paraffin) in Human liver tissue sections.

Immunohistochemistry (Paraffin) Analysis: A 1:100 dilution of this antibody detected ABCA1 in Human liver tissue sections.

Tested Applications

Affinity Binding Assay: A representative lot of this antibody bound ABCA1 with a KD of 2.7 x 10-7 in an affinity binding assay.

Western Blotting Analysis: A 1:10,000 dilution from a representative lot detected ABCA1 in Mouse liver tissue lysate.

Flow Cytometry Analysis: 0.1 μg from a representative lot detected ABCA1 in one million HepG2 cells.

Immunocytochemistry Analysis: A 1:100 dilution from a representative lot detected ABCA1 in HepG2 cells.

Note: Actual optimal working dilutions must be determined by end user as specimens, and experimental conditions may vary with the end user.

Biochem/physiol Actions

Clone 1J11 is a ZooMAb® rabbit recombinant monoclonal antibody that specifically detects ATP-binding cassette transporter 1 (ABCA1). It targets an epitope within 16 amino acids from the C-terminal region.

Physical form

Purified recombinant rabbit monoclonal antibody IgG, lyophilized in PBS, 5% Trehalose, normal appearance a coarse or translucent resin. The PBS/trehalose components in the ZooMAb formulation can have the appearance of a semi-solid (bead like gel) after lyophilization. This is a normal phenomenon. Please follow the recommended reconstitution procedure in the data sheet to dissolve the semi-solid, bead-like, gel-appearing material. The resulting antibody solution is completely stable and functional as proven by full functional testing. Contains no biocide or preservatives, such as azide, or any animal by-products. Larger pack sizes provided as multiples of 25 μL.

Preparation Note

Recommend storage of lyophilized product at 2-8°C; Before reconstitution, micro-centrifuge vials briefly to spin down material to bottom of the vial; Reconstitute each vial by adding 25 μL of filtered lab grade water or PBS; Reconstituted antibodies can be stored at 2-8°C, or -20°C for long term storage. Avoid repeated freeze-thaws.
Reconstitute lyophilized antibody pellet with 25μL of ultrapure water or Phosphate Buffered Saline (PBS). Please refer to our reconstitution protocol and the specific application guidance on the suggested starting dilutions and sample type.

Legal Information

ZooMAb is a registered trademark of Merck KGaA, Darmstadt, Germany

Disclaimer

Unless otherwise stated in our catalog or other company documentation accompanying the product(s), our products are intended for research use only and are not to be used for any other purpose, which includes but is not limited to, unauthorized commercial uses, in vitro diagnostic uses, ex vivo or in vivo therapeutic uses or any type of consumption or application to humans or animals.


Still not finding the right product?

试用我们的 产品选型工具 工具缩小选择范围


存储类别

11 - Combustible Solids

wgk

WGK 1

flash_point_f

Not applicable

flash_point_c

Not applicable

法规信息

常规特殊物品

此项目有



历史批次信息供参考:

分析证书(COA)

Lot/Batch Number

没有发现合适的版本?

如果您需要特殊版本,可通过批号或批次号查找具体证书。

已有该产品?

在文件库中查找您最近购买产品的文档。

访问文档库



全球贸易项目编号

货号GTIN
ZRB2057-25UL04065269029281
ZRB2057-4X25UL04065269029298