跳转至内容
Merck
CN

ZRB2129

Anti-SLC1A3/EAAT1 Antibody, clone 2C3-K ZooMAb® Rabbit Monoclonal

greener alternative

recombinant, expressed in HEK 293 cells

别名:

Excitatory amino acid transporter 1, Sodium-dependent glutamate/aspartate transporter 1, Solute carrier family 1 member 3

登录 查看组织和合同定价。

选择尺寸

变更视图

关于此项目

UNSPSC Code:
12352203
NACRES:
NA.46
Uniprot accession no.:
Conjugate:
unconjugated
Application:
IF, IHC, WB, affinity binding assay
Citations:
-
技术服务
需要帮助?我们经验丰富的科学家团队随时乐意为您服务。
让我们为您提供帮助


biological source

rabbit

Quality Level

recombinant

expressed in HEK 293 cells

conjugate

unconjugated

antibody form

purified antibody

antibody product type

primary antibodies

clone

2C3-K, recombinant monoclonal

description

recombinant, expressed in HEK 293 cells

product line

ZooMAb® learn more

form

lyophilized

mol wt

calculated mol wt 59.57 kDa, observed mol wt ~56 kDa

purified by

using Protein A

species reactivity

mouse, human

species reactivity (predicted by homology)

rat, hamster, porcine, bovine

packaging

antibody small pack of 25

greener alternative product characteristics

Waste Prevention
Designing Safer Chemicals
Design for Energy Efficiency
Learn more about the Principles of Green Chemistry.

enhanced validation

recombinant expression
Learn more about Antibody Enhanced Validation

sustainability

Greener Alternative Product

technique(s)

affinity binding assay: suitable, immunofluorescence: suitable, immunohistochemistry: suitable, western blot: suitable

isotype

IgG

epitope sequence

N-terminal cytoplasmic domain

Protein ID accession no.

UniProt accession no.

greener alternative category

shipped in

ambient

storage temp.

2-8°C

Gene Information

human ... SLC1A3(6507)

General description

Excitatory amino acid transporter 1 (UniProt P43003; also known as GLAST-1, Sodium-dependent glutamate/aspartate transporter 1, Solute carrier family 1 member 3) is encoded by the SLC1A3 (also known as EA6, EAAT1, GLAST, GLAST1) gene in human (Entrez Gene ID 6507). GLAST-1 is a multitransmembrane protein that functions as a high affinity glutamate transporter and mediates the termination of postsynaptic action of glutamate in central nervous system by rapidly removing released glutamate from the synaptic cleft. GLAST-1 also transports L- and D-aspartate. SLC1A3 is predominantly localized in the plasma membrane of astrocytes. This localization is critical for its function in the uptake of glutamate from the extracellular space. The expression is primarily observed in cerebellum, but also found in frontal cortex, hippocampus and basal ganglia. It is also expressed in other tissues such as the retina, lung, placenta, skeletal muscle, albeit at lower levels. GLAST gene mutations are linked to episodic ataxia type 6 (EA6), a disorder characterized by seizures, migraine, and alternating hemiplegia. There are 5 known spliced variants. Isoform 2 has no functional glutamate uptake activity and exerts a dominant negative effect against isoform 1. Additionally, dysfunction of SLC1A3 is linked to an increased risk of developing neurodegenerative diseases such as Alzheimer′s disease, amyotrophic lateral sclerosis (ALS), and epilepsy. SLC1A3 has been implicated in tumour metabolism and progression, but the roles of SLC1A3 in gastric cancer remain unclear. This ZooMAb® recombinant monoclonal antibody, generated by our proprietary technology, offers significantly enhanced specificity, affinity, reproducibility, and stability over conventional monoclonals. (Ref.: Jia, Yongming., et al. (2020) Aging Dis. 1(2): 390 404; Xu. Liyi., et al. (2020). J Cell Mol Med. 24(24); 14392-14404).
We are committed to bringing you greener alternative products, which adhere to one or more of the 12 Principles of Green Chemistry. This antibody is preservative-free, produced without the harm or sacrifice of animals and exceptionally stable to allow for ambient shipping and storage if needed, and thus aligns with "Waste Prevention", "Designing Safer Chemicals" and "Design for Energy Efficiency". Click here for more information.
ZooMAb® antibodies represent an entirely new generation of recombinant monoclonal antibodies. Each ZooMAb® antibody is manufactured using our proprietary recombinant expression system, purified to homogeneity, and precisely dispensed to produce robust and highly reproducible lot-to-lot consistency. Only top-performing clones are released for use by researchers. Each antibody is validated for high specificity and affinity across multiple applications, including its most commonly used application. ZooMAb® antibodies are reliably available and ready to ship when you need them.

Immunogen

KLH-conjugated linear peptide corresponding to 23 amino acids from the N-terminal cytoplasmic domain of the human SLC1A3/EAAT1.

Application

Quality Control Testing

Evaluated by Western Blotting in mouse brain tissue lysate.

Western Blotting Analysis: A 1:1,000 dilution of this antibody detected SLC1A3/EAAT1 in mouse brain tissue lysate.

Tested Applications

Western Blotting Analysis: A 1:1,000 dilution from a representative lot detected SLC1A3/EAAT1 in lysate from human brain tissue.

Affinity Binding Assay: A representative lot of this antibody bound SLC1A3/EAAT1 peptide with at least ten thousand-fold (10,000X) higher than with non-specific control peptide.

Immunofluorescence Analysis: A 1:1,000 dilution from a representative lot detected SLC1A3/EAAT1 in human cerebellum tissue sections.

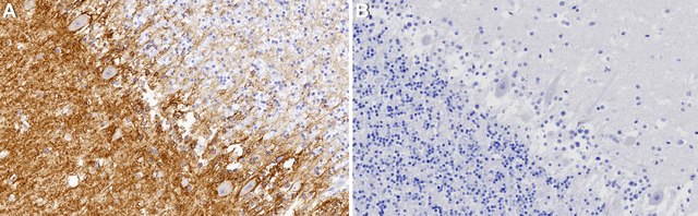
Immunohistochemistry (Paraffin) Analysis: A 1:1,000 dilution from a representative lot detected SLC1A3/EAAT1 in human cerebellum tissue sections.

Note: Actual optimal working dilutions must be determined by end user as specimens, and experimental conditions may vary with the end user.

Biochem/physiol Actions

Clone 2C3-K is a ZooMAb® recombinant rabbit monoclonal antibody that specifically detects SLC1A3/EAAT1. It targets an epitope within 23 amino acids from the N-terminal cytoplasmic domain.

Physical form

Purified recombinant rabbit monoclonal antibody IgG, lyophilized in PBS with 5% Trehalose, normal appearance a coarse or translucent resin. The PBS/trehalose components in the ZooMAb formulation can have the appearance of a semi-solid (bead like gel) after lyophilization. This is a normal phenomenon. Please follow the recommended reconstitution procedure in the data sheet to dissolve the semi-solid, bead-like, gel-appearing material. The resulting antibody solution is completely stable and functional as proven by full functional testing. Contains no biocide or preservatives, such as azide, or any animal by-products. Larger pack sizes provided as multiples of 25 µL.

Preparation Note

Recommend storage of lyophilized product at 2-8°C; Before reconstitution, micro-centrifuge vials briefly to spin down material to bottom of the vial; Reconstitute each vial by adding 25 µL of filtered lab grade water or PBS; Reconstituted antibodies can be stored at 2-8°C, or -20°C for long term storage. Avoid repeated freeze-thaws.
Reconstitute lyophilized antibody pellet with 25μL of ultrapure water or Phosphate Buffered Saline (PBS). Please refer to our reconstitution protocol and the specific application guidance on the suggested starting dilutions and sample type.

Legal Information

ZooMAb is a registered trademark of Merck KGaA, Darmstadt, Germany

Disclaimer

Unless otherwise stated in our catalog or other company documentation accompanying the product(s), our products are intended for research use only and are not to be used for any other purpose, which includes but is not limited to, unauthorized commercial uses, in vitro diagnostic uses, ex vivo or in vivo therapeutic uses or any type of consumption or application to humans or animals.


Still not finding the right product?

试用我们的 产品选型工具 工具缩小选择范围


存储类别

11 - Combustible Solids

wgk

WGK 2

flash_point_f

Not applicable

flash_point_c

Not applicable

法规信息

常规特殊物品

此项目有



历史批次信息供参考:

分析证书(COA)

Lot/Batch Number

It looks like we've run into a problem, but you can still download Certificates of Analysis from our 文件 section.

如需帮助,请联系 客户支持

已有该产品?

在文件库中查找您最近购买产品的文档。

访问文档库



全球贸易项目编号

货号GTIN
ZRB2129-25UL04065272142342
ZRB2129-4X25UL04065272142359