biological source
rabbit
Quality Level
recombinant
expressed in HEK 293 cells
conjugate
unconjugated
antibody form
purified antibody
antibody product type
primary antibodies
clone
1E7, recombinant monoclonal
description
1E7 Clone
product line
ZooMAb® learn more
form
lyophilized
mol wt
calculated mol wt 21.77 kDa, observed mol wt ~18 kDa
purified by
using Protein A
species reactivity
human, rat
packaging
antibody small pack of 25 μL
greener alternative product characteristics
Waste Prevention
Designing Safer Chemicals
Design for Energy Efficiency
Learn more about the Principles of Green Chemistry.
enhanced validation
recombinant expression
Learn more about Antibody Enhanced Validation
sustainability
Greener Alternative Product
technique(s)
affinity binding assay: suitable, immunocytochemistry: suitable, immunohistochemistry: suitable, western blot: suitable
isotype
IgG
epitope sequence
Internal
Protein ID accession no.
UniProt accession no.
greener alternative category
, Aligned
shipped in
ambient
storage temp.
2-8°C
target post-translational modification
unmodified
Gene Information
human ... NDUFB8(4714)
General description
NADH dehydrogenase [ubiquinone] 1 beta subcomplex subunit 8, mitochondrial (UniProt: O95169; also known as Complex I-ASHI, CI-ASHI, NADH-ubiquinone oxidoreductase ASHI subunit) is encoded by the NDUFB8 gene (Gene ID: 4714) in human. In order to efficiently produce energy for all anabolic and maintenance functions, mitochondria are endowed with five different enzyme complexes. Complexes I, II, III, and IV are the electron transfer complexes, whereas complex V is an energy-conserving complex. NDUFB8 is an accessory subunit of the mitochondrial membrane respiratory chain NADH dehydrogenase (Complex I), that is not involved in catalysis. Complex I, which is embedded in the mitochondrial inner membrane, is composed of 45 different subunits and functions in the transfer of electrons from NADH to the respiratory chain. The immediate electron acceptor for the enzyme is believed to be ubiquinone. NDUFB8 is a single-pass membrane protein that is synthesized with a transit peptide (aa 1-28), which is subsequently cleaved off. Its transmembrane domain is localized in amino acids 133-154. Mutations in NDUFB8 gene are known to cause mitochondrial complex ! deficiency of nuclear type 32. It is the most common biochemical signature of mitochondrial disorders that leads to defective oxidative phosphorylation. Reactive nitrogen species is shown to induce nitration of NDUFB8 in endothelial cells and leads to alterations in mitochondrial membrane potential and inhibition of mitochondrial bioenergetics. Three isoforms of NDUFB8 have been described that are produced by alternative splicing. This ZooMAbZooMAb® recombinant monoclonal antibody, generated by our propriety technology, offers significantly enhanced specificity, affinity, reproducibility, and stability over conventional monoclonals. (Ref.: Stroud, DA., et al. (2016). Nature. 538(7623); 123-126; Szklarczyk, R., et al. (2011). FEBS Lett. 585(5); 737-743; Davis, CW., et al. (2010). Free Radic. Biol. Med. 48(2); 306-317).
We are committed to bringing you greener alternative products, which adhere to one or more of The 12 Principles of Green Chemistry.This antibody is Preservative-free, produced without the harm or sacrifice of animals and exceptionally stable to allow for ambient shipping and storage if needed and thus aligns with "Waste Prevention", "Designing Safer Chemicals" and "Design for Energy Efficiency". Click here for more information.
ZooMAb® antibodies represent an entirely new generation of recombinant monoclonal antibodies.Each ZooMAb® antibody is manufactured using our proprietary recombinant expression system, purified to homogeneity, and precisely dispensed to produce robust and highly reproducible lot-to-lot consistency. Only top-performing clones are released for use by researchers. Each antibody is validated for high specificity and affinity across multiple applications, including its most commonly used application. ZooMAb® antibodies are reliably available and ready to ship when you need them.
Immunogen
KLH-conjugated linear peptide corresponding to 23 amino acids from the internal region of human NADH dehydrogenase [ubiquinone] 1 beta subcomplex subunit 8, mitochondrial (NDUFB8).
Application
Quality Control Testing
Evaluated by Western Blotting in A549 cell lysate.
Western Blotting Analysis: A 1:1,000 dilution of this antibody detected NDUFB8 in A549 cell lysate.
Tested applications
Western Blotting Analysis: A 1:1,000 dilution from a representative lot detected NDUFB8 in lysates from C6 and HEK293 cells and Human heart tissue.
Affinity Binding Assay: A representative lot of this antibody bound NDUFB8 peptide with a KD of 1.2 x 10-7 in an affinity binding assay.
Immunocytochemistry Analysis: A 1:100 dilution from a representative lot detected NDUFB8 in HepG2 cells.
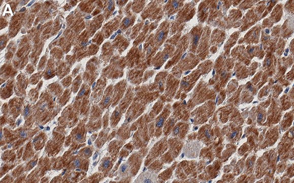
Immunohistochemistry (Paraffin) Analysis: A 1:100 dilution from a representative lot detected NDUFB8 in human heart tissue sections.
Note: Actual optimal working dilutions must be determined by end user as specimens, and experimental conditions may vary with the end user
Evaluated by Western Blotting in A549 cell lysate.
Western Blotting Analysis: A 1:1,000 dilution of this antibody detected NDUFB8 in A549 cell lysate.
Evaluated by Western Blotting in A549 cell lysate.
Western Blotting Analysis: A 1:1,000 dilution of this antibody detected NDUFB8 in A549 cell lysate.
Tested applications
Western Blotting Analysis: A 1:1,000 dilution from a representative lot detected NDUFB8 in lysates from C6 and HEK293 cells and Human heart tissue.
Affinity Binding Assay: A representative lot of this antibody bound NDUFB8 peptide with a KD of 1.2 x 10-7 in an affinity binding assay.
Immunocytochemistry Analysis: A 1:100 dilution from a representative lot detected NDUFB8 in HepG2 cells.
Immunohistochemistry (Paraffin) Analysis: A 1:100 dilution from a representative lot detected NDUFB8 in human heart tissue sections.
Note: Actual optimal working dilutions must be determined by end user as specimens, and experimental conditions may vary with the end user
Evaluated by Western Blotting in A549 cell lysate.
Western Blotting Analysis: A 1:1,000 dilution of this antibody detected NDUFB8 in A549 cell lysate.
Biochem/physiol Actions
Clone 1E7 is a ZooMAb® Rabbit recombinant monoclonal antibody that specifically detects NADH dehydrogenase [ubiquinone] 1 beta subcomplex subunit 8, mitochondrial (NDUFB8). It targets an epitope within 23 amino acids from the internal region.
Physical form
Purified recombinant rabbit monoclonal antibody IgG, lyophilized in PBS, 5% Trehalose, normal appearance a coarse or translucent resin. The PBS/trehalose components in the ZooMAb formulation can have the appearance of a semi-solid (bead like gel) after lyophilization. This is a normal phenomenon. Please follow the recommended reconstitution procedure in the data sheet to dissolve the semi-solid, bead-like, gel-appearing material. The resulting antibody solution is completely stable and functional as proven by full functional testing. Contains no biocide or preservatives, such as azide, or any animal by-products. Larger pack sizes provided as multiples of 25 μL.
Preparation Note
Recommend storage of lyophilized product at 2-8°C; Before reconstitution, micro-centrifuge vials briefly to spin down material to bottom of the vial; Reconstitute each vial by adding 25 μL of filtered lab grade water or PBS; Reconstituted antibodies can be stored at 2-8°C, or -20°C for long term storage. Avoid repeated freeze-thaws.
Reconstitute lyophilized antibody pellet with 25μL of ultrapure water or Phosphate Buffered Saline (PBS). Please refer to our reconstitution protocol and the specific application guidance on the suggested starting dilutions and sample type.
Legal Information
ZooMAb is a registered trademark of Merck KGaA, Darmstadt, Germany
Disclaimer
Unless otherwise stated in our catalog or other company documentation accompanying the product(s), our products are intended for research use only and are not to be used for any other purpose, which includes but is not limited to, unauthorized commercial uses, in vitro diagnostic uses, ex vivo or in vivo therapeutic uses or any type of consumption or application to humans or animals.
Still not finding the right product?
试用我们的 产品选型工具 工具缩小选择范围
存储类别
11 - Combustible Solids
wgk
WGK 1
flash_point_f
Not applicable
flash_point_c
Not applicable
法规信息
常规特殊物品
此项目有
全球贸易项目编号
| 货号 | GTIN |
|---|---|
| ZRB2138-25UL | 04065268764893 |
| ZRB2138-4X25UL | 04065268764909 |