跳转至内容
Merck
CN

ZRB2165

Anti-PRRX1 Antibody, clone 1L16 ZooMAb® Rabbit Monoclonal

greener alternative

recombinant, expressed in HEK 293 cells

别名:

Paired mesoderm homeobox protein 1;Homeobox protein PHOX1;Paired-related homeobox protein 1;PRX-1

登录 查看组织和合同定价。

选择尺寸

变更视图

关于此项目

NACRES:
NA.43
UNSPSC Code:
12352203
Conjugate:
unconjugated
Clone:
1L16, recombinant monoclonal
Application:
ICC, IHC, WB
Citations:
-
技术服务
需要帮助?我们经验丰富的科学家团队随时乐意为您服务。
让我们为您提供帮助


biological source

rabbit

Quality Level

recombinant

expressed in HEK 293 cells

conjugate

unconjugated

antibody form

purified antibody

antibody product type

primary antibodies

clone

1L16, recombinant monoclonal

description

1L16 Clone

product line

ZooMAb® learn more

form

lyophilized

mol wt

calculated mol wt 24.3 kDa, observed mol wt ~30-33 kDa

purified by

using Protein A

species reactivity

rat, human

species reactivity (predicted by homology)

mouse

packaging

antibody small pack of 25 μL

greener alternative product characteristics

Waste Prevention
Designing Safer Chemicals
Design for Energy Efficiency
Learn more about the Principles of Green Chemistry.

enhanced validation

recombinant expression
Learn more about Antibody Enhanced Validation

sustainability

Greener Alternative Product

technique(s)

immunocytochemistry: suitable, immunohistochemistry: suitable, western blot: suitable

isotype

IgG

epitope sequence

N-terminal half

Protein ID accession no.

UniProt accession no.

greener alternative category

shipped in

ambient

storage temp.

2-8°C

target post-translational modification

unmodified

Gene Information

human ... PRRX1(5396)

General description

Paired mesoderm homeobox protein 1 (UniProt: P54821; also known as Homeobox protein PHOX1, Paired-related homeobox protein 1, PRX-1) is encoded by the PRRX1 (also known as PMX1) gene (Gene ID: 5396) in human. PRRX1 is considered as a master transcription factor in mesenchymal cells in embryos and in certain cancer types. It can serve as a transcription co-activator, enhancing the DNA-binding activity of serum response factor that is required for the induction of genes by growth and differentiation factors. PRRX1 acts as a transcriptional regulator of muscle creatine kinase and has a role in the establishment of diverse mesodermal muscle types. It binds to an A/T-rich element in the muscle creatine enhancer. PRRX1 is reported to orchestrates the functional drift of fibroblasts into myofibroblastic phenotype via TGF-β signaling. These reprogrammed fibroblasts have myofibroblastic functions that result in enhanced tumorigenicity and aggressiveness of cancer. PRRX1 expression in cancer-associated fibroblast (CAF) is reported to have an unfavorable prognosis in multiple cancer types. Fibroblast-specific PRRX1 depletion can induce long-term and sustained complete remission of chemotherapy-resistant cancer in murine models. PRRX1 expression is also observed in quiescent human oligodendrocyte progenitor cells (OPCs) where it induces cell-cycle arrest and inhibits migration. Enforced PRRX1 expression can result in reversible G1/0 arrest. Two isoforms of PRRX1 have been described that are produced by alternative splicing. Although both isoforms are known to reduce OPCs proliferation, only PRRX1a reduces migration. This ZooMAb® recombinant monoclonal antibody, generated by our propriety technology, offers significantly enhanced specificity, affinity, reproducibility, and stability over conventional monoclonals. (Ref.: Lee, KW., et al. (2022). Nat. Commun. 13; Article 2793; Wang, J., et al. (2018). Cell Reports 25; 3435-3450).
We are committed to bringing you greener alternative products, which adhere to one or more of The 12 Principles of Green Chemistry.This antibody is Preservative-free, produced without the harm or sacrifice of animals and exceptionally stable to allow for ambient shipping and storage if needed and thus aligns with "Waste Prevention", "Designing Safer Chemicals" and "Design for Energy Efficiency". Click here for more information.
ZooMAb® antibodies represent an entirely new generation of recombinant monoclonal antibodies.Each ZooMAb® antibody is manufactured using our proprietary recombinant expression system, purified to homogeneity, and precisely dispensed to produce robust and highly reproducible lot-to-lot consistency. Only top-performing clones are released for use by researchers. Each antibody is validated for high specificity and affinity across multiple applications, including its most commonly used application. ZooMAb® antibodies are reliably available and ready to ship when you need them.

Immunogen

KLH-conjugated linear peptide corresponding to 21 amino acids from the N-terminal half of human Paired mesoderm homeobox protein 1 (PRRX1).

Application

Quality Control Testing

Evaluated by Western Blotting in C6 cell lysate.

Western Blotting Analysis: 1:10,000 of this antibody detected PRRX1 in C6 cell lysate.

Tested Applications

Immunocytochemistry Analysis: A 1:100 dilution from a representative lot detected PRRX1 in C6 cells.

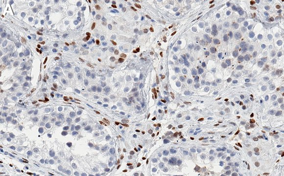
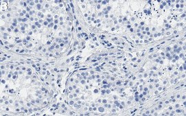
Immunohistochemistry (Paraffin) Analysis: A 1:100 dilution from a representative lot detected PRRX1 in human testis tissue sections.

Western Blotting Analysis: A representative lot detected PRRX1 in Western Blotting applications (Data Courtesy of Dr Takarada from Okayama University).

Note: Actual optimal working dilutions must be determined by end user as specimens, and experimental conditions may vary with the end user

Biochem/physiol Actions

Clone 1L16 is a ZooMAb® Rabbit recombinant monoclonal antibody that specifically detects Paired mesoderm homeobox protein 1 (PRRX1). It targets an epitope within 21 amino acids from the N-terminal half. Predicted to react with both isoforms.

Physical form

Purified recombinant rabbit monoclonal antibody IgG, lyophilized in PBS, 5% Trehalose, normal appearance a coarse or translucent resin. The PBS/trehalose components in the ZooMAb formulation can have the appearance of a semi-solid (bead like gel) after lyophilization. This is a normal phenomenon. Please follow the recommended reconstitution procedure in the data sheet to dissolve the semi-solid, bead-like, gel-appearing material. The resulting antibody solution is completely stable and functional as proven by full functional testing. Contains no biocide or preservatives, such as azide, or any animal by-products. Larger pack sizes provided as multiples of 25 μL.

Preparation Note

Recommend storage of lyophilized product at 2-8°C; Before reconstitution, micro-centrifuge vials briefly to spin down material to bottom of the vial; Reconstitute each vial by adding 25 μL of filtered lab grade water or PBS; Reconstituted antibodies can be stored at 2-8°C, or -20°C for long term storage. Avoid repeated freeze-thaws.
Reconstitute lyophilized antibody pellet with 25μL of ultrapure water or Phosphate Buffered Saline (PBS). Please refer to our reconstitution protocol and the specific application guidance on the suggested starting dilutions and sample type.

Legal Information

ZooMAb is a registered trademark of Merck KGaA, Darmstadt, Germany

Disclaimer

Unless otherwise stated in our catalog or other company documentation accompanying the product(s), our products are intended for research use only and are not to be used for any other purpose, which includes but is not limited to, unauthorized commercial uses, in vitro diagnostic uses, ex vivo or in vivo therapeutic uses or any type of consumption or application to humans or animals.


Still not finding the right product?

试用我们的 产品选型工具 工具缩小选择范围


存储类别

11 - Combustible Solids

wgk

WGK 1

法规信息

常规特殊物品

此项目有



历史批次信息供参考:

分析证书(COA)

Lot/Batch Number

It looks like we've run into a problem, but you can still download Certificates of Analysis from our 文件 section.

如需帮助,请联系 客户支持

已有该产品?

在文件库中查找您最近购买产品的文档。

访问文档库



全球贸易项目编号

货号GTIN
ZRB2165-25UL04065268837658
ZRB2165-4X25UL04065268837665