跳转至内容
Merck
CN

ZRB2180

Anti-Maxi K/BK channel Antibody, clone 3D15 ZooMAb® Rabbit Monoclonal

greener alternative

recombinant, expressed in HEK 293 cells

别名:

Calcium-activated potassium channel subunit alpha-1;BK channel;BKCA alpha;Calcium-activated potassium channel subfamily M subunit alpha-1;K(VCA)alpha;KCa1.1;Maxi K channel;MaxiK;Slo-alpha;Slo1;Slowpoke homolog;Slo homolog;hSlo

登录 查看组织和合同定价。

选择尺寸

变更视图

关于此项目

NACRES:
NA.43
UNSPSC Code:
12352203
Conjugate:
unconjugated
Clone:
3D15, recombinant monoclonal
Application:
ICC, IHC, WB, affinity binding assay
Citations:
-
技术服务
需要帮助?我们经验丰富的科学家团队随时乐意为您服务。
让我们为您提供帮助


biological source

rabbit

Quality Level

recombinant

expressed in HEK 293 cells

conjugate

unconjugated

antibody form

purified antibody

antibody product type

primary antibodies

clone

3D15, recombinant monoclonal

description

3D15 Clone

product line

ZooMAb® learn more

form

lyophilized

mol wt

calculated mol wt 137.56 kDa, observed mol wt ~140 kDa

purified by

using Protein A

species reactivity

rat, human, mouse

species reactivity (predicted by homology)

sheep, horse, bovine, feline, monkey

packaging

antibody small pack of 25 μL

greener alternative product characteristics

Waste Prevention
Designing Safer Chemicals
Design for Energy Efficiency
Learn more about the Principles of Green Chemistry.

enhanced validation

recombinant expression
Learn more about Antibody Enhanced Validation

sustainability

Greener Alternative Product

technique(s)

affinity binding assay: suitable, immunocytochemistry: suitable, immunohistochemistry: suitable, western blot: suitable

isotype

IgG

epitope sequence

C-terminal half

Protein ID accession no.

UniProt accession no.

greener alternative category

shipped in

ambient

storage temp.

2-8°C

target post-translational modification

unmodified

Gene Information

human ... KCNMA1(3778)

General description

Calcium-activated potassium channel subunit alpha-1 (UniProt: Q12791; also known as BK channel, BKCA alpha, Calcium-activated potassium channel subfamily M subunit alpha-1, K(VCA)alpha, KCa1.1, Maxi K channel, MaxiK, Slo-alpha, Slo1, Slowpoke homolog, Slo homolog, hSlo) is encoded by the KCNMA1 (also known as KCNMA, SLO) gene (Gene ID: 3778) in human. Maxi K is a homotetrameric, multi-pass membrane protein that contains five extracellular domains, seven transmembrane domains (S0-S6), four cytoplasmic domains, and one pore forming region (aa 336-358). With the exception of monocytes, it is widely expressed. It serves as the large-conductance Ca2+- and voltage-activated K+ channel that plays a role in cell signalling by interacting with a multiplicity of proteins at plasma membrane and intracellular organelles including the endoplasmic reticulum, nucleus, and mitochondria. Its structure consists of four -subunits, each formed by 7 transmembrane segments and a large C-terminus that constitutes about two thirds of the protein. The S4 segment (aa 265-285) that contains a series of positively charged amino acids at every third position serves as the voltage-sensor. Maxi K channel plays a key role in controlling excitability in a number of systems, such as regulation of the contraction of smooth muscle, the tuning of hair cells in the cochlea, regulation of transmitter release, and innate immunity. In smooth muscles, its activation by high level of Ca2+, caused by ryanodine receptors in the sarcoplasmic reticulum, regulates the membrane potential. In cochlea cells, its number and kinetic properties partly determine the characteristic frequency of each hair cell and thereby helps to establish a tonotopic map. Maxi K is reported to be highly sensitive to iberiotoxin and charybdotoxin. This ZooMAbZooMAb® recombinant monoclonal antibody, generated by our propriety technology, offers significantly enhanced specificity, affinity, reproducibility, and stability over conventional monoclonals. (Ref.: Toro, L., et al. (2014). Pflugers Arch. 466(5); 875-886).
We are committed to bringing you greener alternative products, which adhere to one or more of The 12 Principles of Green Chemistry.This antibody is Preservative-free, produced without the harm or sacrifice of animals and exceptionally stable to allow for ambient shipping and storage if needed and thus aligns with "Waste Prevention", "Designing Safer Chemicals" and "Design for Energy Efficiency". Click here for more information.
ZooMAb® antibodies represent an entirely new generation of recombinant monoclonal antibodies.Each ZooMAb® antibody is manufactured using our proprietary recombinant expression system, purified to homogeneity, and precisely dispensed to produce robust and highly reproducible lot-to-lot consistency. Only top-performing clones are released for use by researchers. Each antibody is validated for high specificity and affinity across multiple applications, including its most commonly used application. ZooMAb® antibodies are reliably available and ready to ship when you need them.

Immunogen

KLH-conjugated linear peptide corresponding to 19 amino acids from the C-terminal half of human Calcium-activated potassium channel subunit alpha-1 (Maxi K/BK channel).

Application

Quality Control Testing

Evaluated by Western Blotting in Mouse brain tissue lysate.

Western Blotting Analysis: A 1:10,000 dilution of this antibody detected Maxi K/BK channel in Mouse brain tissue lysate.

Tested applications

Western Blotting Analysis: A 1:10,000 dilution from a representative lot detected Maxi K/BK channel in Human brain and Rat brain tissue lysates.

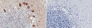
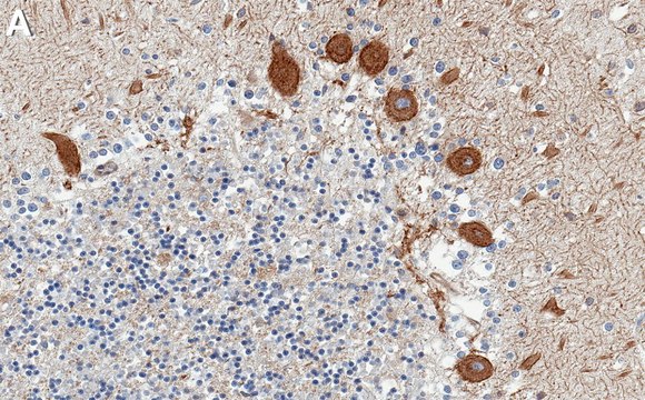
Immunohistochemistry (Paraffin) Analysis: A 1:1,000 dilution from a representative lot detected Maxi K/BK channel in human cerebellum tissue sections.

Affinity Binding Assay: A representative lot of this antibody bound Maxi K/BK channel peptide with a KD of 1.2 x 10-7 in an affinity binding assay.

Immunocytochemistry Analysis: A 1:100 dilution from a representative lot detected Maxi K/BK channel in A549 and C6 cells.

Note: Actual optimal working dilutions must be determined by end user as specimens, and experimental conditions may vary with the end user

Evaluated by Western Blotting in Mouse brain tissue lysate.

Western Blotting Analysis: A 1:10,000 dilution of this antibody detected Maxi K/BK channel in Mouse brain tissue lysate.

Biochem/physiol Actions

Clone 3D15 is a ZooMAb® Rabbit recombinant monoclonal antibody that specifically detects Calcium-activated potassium channel subunit alpha-1 (Maxi K/BK channel). It targets an epitope within 19 amino acids from the C-terminal half.

Physical form

Purified recombinant rabbit monoclonal antibody IgG, lyophilized in PBS, 5% Trehalose, normal appearance a coarse or translucent resin. The PBS/trehalose components in the ZooMAb formulation can have the appearance of a semi-solid (bead like gel) after lyophilization. This is a normal phenomenon. Please follow the recommended reconstitution procedure in the data sheet to dissolve the semi-solid, bead-like, gel-appearing material. The resulting antibody solution is completely stable and functional as proven by full functional testing. Contains no biocide or preservatives, such as azide, or any animal by-products. Larger pack sizes provided as multiples of 25 μL.

Preparation Note

Recommend storage of lyophilized product at 2-8°C; Before reconstitution, micro-centrifuge vials briefly to spin down material to bottom of the vial; Reconstitute each vial by adding 25 μL of filtered lab grade water or PBS; Reconstituted antibodies can be stored at 2-8°C, or -20°C for long term storage. Avoid repeated freeze-thaws.
Reconstitute lyophilized antibody pellet with 25μL of ultrapure water or Phosphate Buffered Saline (PBS). Please refer to our reconstitution protocol and the specific application guidance on the suggested starting dilutions and sample type.

Legal Information

ZooMAb is a registered trademark of Merck KGaA, Darmstadt, Germany

Disclaimer

Unless otherwise stated in our catalog or other company documentation accompanying the product(s), our products are intended for research use only and are not to be used for any other purpose, which includes but is not limited to, unauthorized commercial uses, in vitro diagnostic uses, ex vivo or in vivo therapeutic uses or any type of consumption or application to humans or animals.


Still not finding the right product?

试用我们的 产品选型工具 工具缩小选择范围


wgk

WGK 1

存储类别

11 - Combustible Solids

flash_point_f

Not applicable

flash_point_c

Not applicable

法规信息

常规特殊物品
常规特殊物品

此项目有



历史批次信息供参考:

分析证书(COA)

Lot/Batch Number

没有发现合适的版本?

如果您需要特殊版本,可通过批号或批次号查找具体证书。

已有该产品?

在文件库中查找您最近购买产品的文档。

访问文档库



全球贸易项目编号

货号GTIN
ZRB2180-4X25UL04065268792001
ZRB2180-25UL04065268791998