biological source
rabbit
Quality Level
recombinant
expressed in HEK 293 cells
conjugate
unconjugated
antibody form
purified antibody
antibody product type
primary antibodies
clone
1M11, recombinant monoclonal
description
recombinant, expressed in HEK 293 cells
product line
ZooMAb® learn more
form
lyophilized
mol wt
calculated mol wt 59.09 kDa, observed mol wt ~54 kDa
purified by
using Protein A
species reactivity
human
packaging
antibody small pack of 25
greener alternative product characteristics
Waste Prevention
Designing Safer Chemicals
Design for Energy Efficiency
Learn more about the Principles of Green Chemistry.
enhanced validation
recombinant expression
Learn more about Antibody Enhanced Validation
sustainability
Greener Alternative Product
technique(s)
affinity binding assay: suitable, immunocytochemistry: suitable, immunohistochemistry: suitable, western blot: suitable
isotype
IgG
epitope sequence
C-terminal half
Protein ID accession no.
UniProt accession no.
greener alternative category
shipped in
ambient
storage temp.
2-8°C
Gene Information
human ... CDC25A(993)
General description
M-phase inducer phosphatase 1 (UniProt: P30304; also known as EC:3.1.3.48, Dual specificity phosphatase Cdc25A) is encoded by the CDC25A gene (Gene ID: 993) in human. The Cdc25 dual phosphatase family has three members: Cdc25A, Cdc25B, and Cdc25C that contain well conserved catalytic domains, but differ in their regulatory domains. Cdc25A is a dual-specificity protein tyrosine phosphatase that plays a crucial role in cell cycle regulation. It removes the inhibitory phosphorylation in various cyclin-dependent kinases (CDKs) and positively regulates CDK activities leading to cell cycle progression. The regulatory domain of Cdc25A is localized in the N-terminal region and its catalytic domain resides in the C-terminal region. The regulatory domain contains a series of phosphorylation sites that are involved in maintaining its stability and in protein-protein interaction. The N-terminal region also contains the nuclear localization sequence (NLS) and the nuclear export sequence (NES) that determine its subcellular location. Cdc25A plays a role in assisting both G1/S and G2/M progression by dephosphorylating CDK4 at tyrosine 17, CDK6 at tyrosine 24, and CDK2 and CDK1 at threonine 14/tyrosine 15. Its phosphorylation on serine 76, 124, 178, 279, and 293 and threonine 507 by CHEK1 and on serine 124 and 293 by CHEK2 mediates cell cycle arrest. Overexpression of Cdc25A is reported to promote tumorigenesis and is frequently observed in various types of cancer. Two isoforms of Cdc25A have been described that are produced by alternative splicing. This ZooMAb® recombinant monoclonal antibody, generated by our propriety technology, offers significantly enhanced specificity, affinity, reproducibility, and stability over conventional monoclonals. (Ref.: Shen, T., and Huang, S. (2012). Anticancer Agents Med. Chem. 12(6); 631-639; Boutros, R., et al. (2007). Nat. Rev. Cancer. 7(7); 495-507).
We are committed to bringing you greener alternative products, which adhere to one or more of the 12 Principles of Green Chemistry. This antibody is preservative-free, produced without the harm or sacrifice of animals and exceptionally stable to allow for ambient shipping and storage if needed, and thus aligns with "Waste Prevention", "Designing Safer Chemicals" and "Design for Energy Efficiency". Click here for more information.
ZooMAb® antibodies represent an entirely new generation of recombinant monoclonal antibodies. Each ZooMAb® antibody is manufactured using our proprietary recombinant expression system, purified to homogeneity, and precisely dispensed to produce robust and highly reproducible lot-to-lot consistency. Only top-performing clones are released for use by researchers. Each antibody is validated for high specificity and affinity across multiple applications, including its most commonly used application. ZooMAb® antibodies are reliably available and ready to ship when you need them.
Immunogen
KLH-conjugated linear peptide corresponding to 24 amino acids from the C-terminal half of human Cdc25A.
Application
Quality Control Testing
Evaluated by Western Blotting in HeLa cell nuclear extract.
Western Blotting Analysis: A 1:1,000 dilution of this antibody detected Cdc25A in HeLa cell nuclear extract.
Tested Applications
Western Blotting Analysis: A 1:1,000 dilution from a representative lot detected Cdc25A in HEK293 cell nuclear extract and 1:10,000 dilution in HepG2 cell lysate.
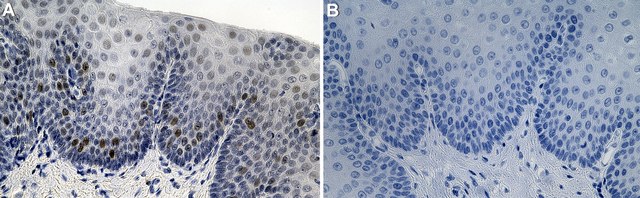
Immunohistochemistry (Paraffin) Analysis: A 1:100 dilution from a representative lot detected Cdc25A in Human esophagus tissue sections.
Affinity Binding Assay: A representative lot of this antibody bound Cdc25A peptide with a KD of 5.5 x 10-6 in an affinity binding assay.
Immunocytochemistry Analysis: A 1:100 dilution from a representative lot detected Cdc25A in A431, HeLa, and HepG2 cells.
Note: Actual optimal working dilutions must be determined by end user as specimens, and experimental conditions may vary with the end user.
Evaluated by Western Blotting in HeLa cell nuclear extract.
Western Blotting Analysis: A 1:1,000 dilution of this antibody detected Cdc25A in HeLa cell nuclear extract.
Tested Applications
Western Blotting Analysis: A 1:1,000 dilution from a representative lot detected Cdc25A in HEK293 cell nuclear extract and 1:10,000 dilution in HepG2 cell lysate.
Immunohistochemistry (Paraffin) Analysis: A 1:100 dilution from a representative lot detected Cdc25A in Human esophagus tissue sections.
Affinity Binding Assay: A representative lot of this antibody bound Cdc25A peptide with a KD of 5.5 x 10-6 in an affinity binding assay.
Immunocytochemistry Analysis: A 1:100 dilution from a representative lot detected Cdc25A in A431, HeLa, and HepG2 cells.
Note: Actual optimal working dilutions must be determined by end user as specimens, and experimental conditions may vary with the end user.
Biochem/physiol Actions
Clone 1M11 is a ZooMAb® rabbit recombinant monoclonal antibody that specifically detects Cdc25A. It targets an epitope within 24 amino acids from the C-terminal half.
Physical form
Purified recombinant rabbit monoclonal antibody IgG, lyophilized in PBS with 5% Trehalose, normal appearance a coarse or translucent resin. The PBS/trehalose components in the ZooMAb formulation can have the appearance of a semi-solid (bead like gel) after lyophilization. This is a normal phenomenon. Please follow the recommended reconstitution procedure in the data sheet to dissolve the semi-solid, bead-like, gel-appearing material. The resulting antibody solution is completely stable and functional as proven by full functional testing. Contains no biocide or preservatives, such as azide, or any animal by-products. Larger pack sizes provided as multiples of 25 µL.
Preparation Note
Recommend storage of lyophilized product at 2-8°C; Before reconstitution, micro-centrifuge vials briefly to spin down material to bottom of the vial; Reconstitute each vial by adding 25 µL of filtered lab grade water or PBS; Reconstituted antibodies can be stored at 2-8°C, or -20°C for long term storage. Avoid repeated freeze-thaws.
Reconstitute lyophilized antibody pellet with 25μL of ultrapure water or Phosphate Buffered Saline (PBS). Please refer to our reconstitution protocol and the specific application guidance on the suggested starting dilutions and sample type.
Legal Information
ZooMAb is a registered trademark of Merck KGaA, Darmstadt, Germany
Disclaimer
Unless otherwise stated in our catalog or other company documentation accompanying the product(s), our products are intended for research use only and are not to be used for any other purpose, which includes but is not limited to, unauthorized commercial uses, in vitro diagnostic uses, ex vivo or in vivo therapeutic uses or any type of consumption or application to humans or animals.
Still not finding the right product?
试用我们的 产品选型工具 工具缩小选择范围
存储类别
11 - Combustible Solids
wgk
WGK 1
flash_point_f
Not applicable
flash_point_c
Not applicable
法规信息
常规特殊物品
此项目有
全球贸易项目编号
| 货号 | GTIN |
|---|---|
| ZRB2211-4X25UL | 04065270941794 |
| ZRB2211-25UL | 04065270941787 |