biological source
rabbit
Quality Level
recombinant
expressed in HEK 293 cells
conjugate
unconjugated
antibody form
purified antibody
antibody product type
primary antibodies
clone
1J12, recombinant monoclonal
description
recombinant, expressed in HEK 293 cells
product line
ZooMAb® learn more
form
lyophilized
purified by
using Protein A
species reactivity
mouse, human
packaging
antibody small pack of 25 μL
greener alternative product characteristics
Waste Prevention
Designing Safer Chemicals
Design for Energy Efficiency
Learn more about the Principles of Green Chemistry.
enhanced validation
recombinant expression
Learn more about Antibody Enhanced Validation
sustainability
Greener Alternative Product
technique(s)
immunocytochemistry: suitable, immunohistochemistry: suitable, western blot: suitable
isotype
IgG
epitope sequence
N-terminal half
Protein ID accession no.
UniProt accession no.
greener alternative category
shipped in
ambient
storage temp.
2-8°C
Gene Information
human ... NRXN1(9378)
General description
Neurexin-1 (UniProt: Q9ULB1; also known as Neurexin I-alpha, Neurexin-1-alpha) is encoded by the NRXN1 (also known as KIAA0578) gene (Gene ID: 9378) in human. Neurexins are cell surface protein involved in cell-cell-interactions, exocytosis of secretory granules, and regulation of signal transmission. Their function is shown to be isoform specific. Neurexin-1 is a presynaptic, single-pass type I membrane protein that is synthesized with signal peptide (aa 1-30), which is subsequently cleaved off to produce the mature protein that contains an extracellular domain (aa 31-1401), a transmembrane domain (aa 1402-1422), and a cytoplasmic domain (aa 1423-1477). It also has 6 Laminin G-like domains. It plays an important role in synaptic signal transmission and is involved in the regulation of calcium channel activity and calcium-triggered neurotransmitter release at synapses and at neuromuscular junctions. It also plays a role in Ca2+-triggered exocytosis of secretory granules in pituitary gland. The α-isoform is reported to play a role in regulating the activity of postsynaptic NMDA receptors. Both α and β isoforms are involved in the formation or maintenance of synaptic junctions via their calcium-dependent interactions with neuroligin family members CBLN1 and CBLN2. Six isoforms of Neurexin-1 have been described that are produced by alternative promoter usage and alternative splicing. Neurexin-1 has been implicated in several neurodevelopmental disorders characterized by synaptic dysfunction including autism, intellectual disability, and schizophrenia. Mutations in NRXN1 gene have been linked to Pitt-Hopkins-like syndrome 2 that is characterized by severe intellectual disability, autistic behavior, and impaired speech development. This ZooMAb® recombinant monoclonal antibody, generated by our propriety technology, offers significantly enhanced specificity, Affinity™, reproducibility, and stability over conventional monoclonals. (Ref.: Jenkins, AK., et al. (2016). Mol. Psychiatry. 21(5); 701-706; Zweier, C., et al. (2009). Am. J. Hum. Genet. 85(5); 655-666).
We are committed to bringing you greener alternative products, which adhere to one or more of The 12 Principles of Green Chemistry.This antibody is Preservative-free, produced without the harm or sacrifice of animals and exceptionally stable to allow for ambient shipping and storage if needed and thus aligns with "Waste Prevention", "Designing Safer Chemicals" and "Design for Energy Efficiency". Click here for more information.
ZooMAb® antibodies represent an entirely new generation of recombinant monoclonal antibodies. Each ZooMAb® antibody is manufactured using our proprietary recombinant expression system, purified to homogeneity, and precisely dispensed to produce robust and highly reproducible lot-to-lot consistency. Only top-performing clones are released for use by researchers. Each antibody is validated for high specificity and affinity across multiple applications, including its most commonly used application. ZooMAb® antibodies are reliably available and ready to ship when you need them.
Immunogen
KLH-conjugated linear peptide corresponding to 15 amino acids from the N-terminal half of human Neurexin-1.
Application
Quality Control Testing
Evaluated by Western Blotting in Human Brain tissue lysate.
Western Blotting Analysis: A 1:1,000 dilution of this antibody detected Neurexin-1 in Human brain tissue lysate.
Tested Applications
Western Blotting Analysis (WB): A 1:1,000 dilution of this antibody detected His-tagged recombinant Rat Neurexin-1.
Immunocytochemistry Analysis: A 1:100 dilution from a representative lot detected Neurexin-1 in Neuro2A cells.
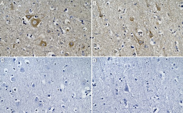
Immunohistochemistry (Paraffin) Analysis: A 1:100 dilution from a representative lot detected Neurexin-1 in Human cerebral cortex tissue sections.
Note: Actual optimal working dilutions must be determined by end user as specimens, and experimental conditions may vary with the end user.
Evaluated by Western Blotting in Human Brain tissue lysate.
Western Blotting Analysis: A 1:1,000 dilution of this antibody detected Neurexin-1 in Human brain tissue lysate.
Tested Applications
Western Blotting Analysis (WB): A 1:1,000 dilution of this antibody detected His-tagged recombinant Rat Neurexin-1.
Immunocytochemistry Analysis: A 1:100 dilution from a representative lot detected Neurexin-1 in Neuro2A cells.
Immunohistochemistry (Paraffin) Analysis: A 1:100 dilution from a representative lot detected Neurexin-1 in Human cerebral cortex tissue sections.
Note: Actual optimal working dilutions must be determined by end user as specimens, and experimental conditions may vary with the end user.
Biochem/physiol Actions
Clone 1J12 is a ZooMAb® rabbit recombinant monoclonal antibody that specifically detects Neurexin-1. It targets an epitope within 15 amino acids from the N-terminal half.
Physical form
Purified recombinant rabbit monoclonal antibody IgG, lyophilized in PBS, 5% Trehalose, normal appearance a coarse or translucent resin. The PBS/trehalose components in the ZooMAb formulation can have the appearance of a semi-solid (bead like gel) after lyophilization. This is a normal phenomenon. Please follow the recommended reconstitution procedure in the data sheet to dissolve the semi-solid, bead-like, gel-appearing material. The resulting antibody solution is completely stable and functional as proven by full functional testing. Contains no biocide or preservatives, such as azide, or any animal by-products. Larger pack sizes provided as multiples of 25 µL.
Preparation Note
Recommend storage of lyophilized product at 2-8°C; Before reconstitution, micro-centrifuge vials briefly to spin down material to bottom of the vial; Reconstitute each vial by adding 25 µL of filtered lab grade water or PBS; Reconstituted antibodies can be stored at 2-8°C, or -20°C for long term storage. Avoid repeated freeze-thaws.
Reconstitute lyophilized antibody pellet with 25μL of ultrapure water or Phosphate Buffered Saline (PBS). Please refer to our reconstitution protocol and the specific application guidance on the suggested starting dilutions and sample type.
Other Notes
Concentration: Please refer to the Certificate of Analysis for the lot-specific concentration.
Legal Information
Affinity is a trademark of Mine Safety Appliances Co.
ZooMAb is a registered trademark of Merck KGaA, Darmstadt, Germany
Disclaimer
Unless otherwise stated in our catalog or other company documentation accompanying the product(s), our products are intended for research use only and are not to be used for any other purpose, which includes but is not limited to, unauthorized commercial uses, in vitro diagnostic uses, ex vivo or in vivo therapeutic uses or any type of consumption or application to humans or animals.
Still not finding the right product?
试用我们的 产品选型工具 工具缩小选择范围
存储类别
11 - Combustible Solids
wgk
WGK 1
flash_point_f
Not applicable
flash_point_c
Not applicable
法规信息
常规特殊物品
此项目有
全球贸易项目编号
| 货号 | GTIN |
|---|---|
| ZRB2215-25UL | 04065269366379 |
| ZRB2215-4X25UL | 04065269366386 |