跳转至内容
Merck
CN

ZRB2334

Anti-DYNLL1/PIN Antibody, clone 4B19 ZooMAb® Rabbit Monoclonal

greener alternative

recombinant, expressed in HEK 293 cells

别名:

8 kDa dynein light chain, DLC8, Dynein light chain 1, cytoplasmic, Dynein light chain LC8-type 1, PIN, Protein inhibitor of neuronal nitric oxide synthase

登录 查看组织和合同定价。

选择尺寸

变更视图

关于此项目

NACRES:
NA.43
UNSPSC Code:
12352203
Conjugate:
unconjugated
Clone:
4B19, recombinant monoclonal
Application:
ICC, IHC, WB, affinity binding assay
Citations:
-
技术服务
需要帮助?我们经验丰富的科学家团队随时乐意为您服务。
让我们为您提供帮助


Quality Level

biological source

rabbit

recombinant

expressed in HEK 293 cells

conjugate

unconjugated

antibody form

purified antibody

antibody product type

primary antibodies

clone

4B19, recombinant monoclonal

description

recombinant, expressed in HEK 293 cells

product line

ZooMAb® learn more

form

lyophilized

mol wt

calculated mol wt 10.37 kDa, observed mol wt ~24 kDa

purified by

using Protein A

species reactivity

human

species reactivity (predicted by homology)

rat, mouse

packaging

antibody small pack of 25 μL

greener alternative product characteristics

Waste Prevention
Designing Safer Chemicals
Design for Energy Efficiency
Learn more about the Principles of Green Chemistry.

enhanced validation

recombinant expression
Learn more about Antibody Enhanced Validation

sustainability

Greener Alternative Product

technique(s)

affinity binding assay: suitable, immunocytochemistry: suitable, immunohistochemistry: suitable, western blot: suitable

isotype

IgG

epitope sequence

N-terminal half

Protein ID accession no.

UniProt accession no.

greener alternative category

shipped in

ambient

storage temp.

2-8°C

Gene Information

human ... DYNLL1(8655)

General description

Dynein light chain 1, cytoplasmic (UniProt: P63167; also known as 8 kDa dynein light chain, DLC8, Dynein light chain LC8-type 1, Protein inhibitor of neuronal nitric oxide synthase, PIN) is encoded by the DYNLL1 (also known as DLC1, DNCL1, DNCLC1, HDLC1) gene (Gene ID: 8655) in human. The cytoplasmic dynein 1 complex consists of two catalytic heavy chains, and a number of non-catalytic subunits presented by intermediate chains, light intermediate chains, and light chains.  The heavy chain homodimer serves as a scaffold for the probable homodimeric assembly of the respective non-catalytic subunits. The intermediate and light intermediate chains bind directly to the heavy chain dimer and the light chains assemble on the intermediate dimer. Dynein light chain 1 (DYNLL1) is a ubiquitously expressed protein that can exist either as a homodimer or as a monomer. The monomeric form is shown to be incapable of binding to its target proteins. The transition from monomer to dimer is crucial for its function, and this process is regulated by p21-activated kinase 1 phosphorylation of serine 88. It acts as one of the several non-catalytic accessory components of the cytoplasmic dynein 1 complex that are thought to be involved in linking dynein to cargos and to adapter proteins to regulate dynein function. Its expression is observed in cytoplasm, nucleus, and mitochondria. Cytoplasmic DYNLL1 acts as a motor for the intracellular retrograde motility of vesicles and organelles along microtubules and may play a role in changing or maintaining the spatial distribution of cytoskeletal structures. Upon apoptotic stimuli the BCL2L11-DYNLL1 complex dissociates from cytoplasmic dynein and translocates to mitochondria and sequesters BCL2 thus neutralizing its anti-apoptotic activity. This ZooMAb® recombinant monoclonal antibody, generated by our propriety technology, offers significantly enhanced specificity, Affinity, reproducibility, and stability over conventional monoclonals. (Ref.: Valdamudi, RK., et al. (2004). Cancer Cell. 5(6); 575-585; Puthalakath, H., et al. (1999). Mol. Cell. 3(3); 287-296).
We are committed to bringing you greener alternative products, which adhere to one or more of The 12 Principles of Green Chemistry.This antibody is Preservative-free, produced without the harm or sacrifice of animals and exceptionally stable to allow for ambient shipping and storage if needed and thus aligns with "Waste Prevention", "Designing Safer Chemicals" and "Design for Energy Efficiency". Click here for more information.
ZooMAb® antibodies represent an entirely new generation of recombinant monoclonal antibodies. Each ZooMAb® antibody is manufactured using our proprietary recombinant expression system, purified to homogeneity, and precisely dispensed to produce robust and highly reproducible lot-to-lot consistency. Only top-performing clones are released for use by researchers. Each antibody is validated for high specificity and affinity across multiple applications, including its most commonly used application. ZooMAb® antibodies are reliably available and ready to ship when you need them.

Immunogen

KLH-conjugated linear peptide corresponding to 13 amino acids from the N-terminal half of human DYLL1.

Application

Quality Control Testing

Evaluated by Western Blotting with His/ABP-tagged recombinant fragment of Human DYNLL1.

Western Blotting Analysis: A 1:1,000 dilution of this antibody detected His/ABP-tagged recombinant fragment of Human DYNLL1.

Tested Applications

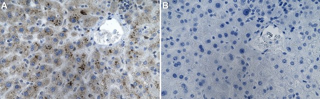
Immunohistochemistry (Paraffin) Analysis: A 1:100 dilution from a representative lot detected DYNLL1/PIN in Human liver tissue sections.

Immunocytochemistry Analysis: A 1:100 dilution from a representative lot detected DYNLL1/PIN in MCF-7 cells.

Affinity Binding Assay: A representative lot of this antibody bound recombinant fragment of DYNLL1/PIN with a KD of 2.8 x 10-7 in an affinity binding assay.

Note: Actual optimal working dilutions must be determined by end user as specimens, and experimental conditions may vary with the end user.

Biochem/physiol Actions

Clone 4B19 ZooMAb® rabbit recombinant monoclonal antibody that specifically detects DYNLL1. It targets an epitope within 13 amino acids from the N-terminal half.

Physical form

Purified recombinant rabbit monoclonal antibody IgG, lyophilized in PBS, 5% Trehalose, normal appearance a coarse or translucent resin. The PBS/trehalose components in the ZooMAb formulation can have the appearance of a semi-solid (bead like gel) after lyophilization. This is a normal phenomenon. Please follow the recommended reconstitution procedure in the data sheet to dissolve the semi-solid, bead-like, gel-appearing material. The resulting antibody solution is completely stable and functional as proven by full functional testing. Contains no biocide or preservatives, such as azide, or any animal by-products. Larger pack sizes provided as multiples of 25 µL.

Preparation Note

Recommend storage of lyophilized product at 2-8°C; Before reconstitution, micro-centrifuge vials briefly to spin down material to bottom of the vial; Reconstitute each vial by adding 25 µL of filtered lab grade water or PBS; Reconstituted antibodies can be stored at 2-8°C, or -20°C for long term storage. Avoid repeated freeze-thaws.
Reconstitute lyophilized antibody pellet with 25μL of ultrapure water or Phosphate Buffered Saline (PBS). Please refer to our reconstitution protocol and the specific application guidance on the suggested starting dilutions and sample type.

Legal Information

Affinity is a trademark of Mine Safety Appliances Co.
ZooMAb is a registered trademark of Merck KGaA, Darmstadt, Germany

Disclaimer

Unless otherwise stated in our catalog or other company documentation accompanying the product(s), our products are intended for research use only and are not to be used for any other purpose, which includes but is not limited to, unauthorized commercial uses, in vitro diagnostic uses, ex vivo or in vivo therapeutic uses or any type of consumption or application to humans or animals.


Still not finding the right product?

试用我们的 产品选型工具 工具缩小选择范围


存储类别

11 - Combustible Solids

wgk

WGK 1

flash_point_f

Not applicable

flash_point_c

Not applicable

法规信息

常规特殊物品

此项目有



历史批次信息供参考:

分析证书(COA)

Lot/Batch Number

It looks like we've run into a problem, but you can still download Certificates of Analysis from our 文件 section.

如需帮助,请联系 客户支持

已有该产品?

在文件库中查找您最近购买产品的文档。

访问文档库



全球贸易项目编号

货号GTIN
ZRB2334-4X25UL04065270179883
ZRB2334-25UL04065270179876