biological source
rabbit
Quality Level
recombinant
expressed in HEK 293 cells
conjugate
unconjugated
antibody form
purified antibody
antibody product type
primary antibodies
clone
1I3, recombinant monoclonal
description
1I3 Clone
product line
ZooMAb® learn more
form
lyophilized
mol wt
calculated mol wt 42.78 kDa, observed mol wt ~43 kDa
purified by
using Protein A
species reactivity
human
species reactivity (predicted by homology)
monkey
packaging
antibody small pack of 25 μL
greener alternative product characteristics
Waste Prevention
Designing Safer Chemicals
Design for Energy Efficiency
Learn more about the Principles of Green Chemistry.
enhanced validation
recombinant expression
Learn more about Antibody Enhanced Validation
sustainability
Greener Alternative Product
technique(s)
affinity binding assay: suitable, immunocytochemistry: suitable, immunohistochemistry: suitable, western blot: suitable
isotype
IgG
epitope sequence
C-terminal
Protein ID accession no.
UniProt accession no.
greener alternative category
, Aligned
shipped in
ambient
storage temp.
2-8°C
target post-translational modification
unmodified
Gene Information
human ... ARR3(407)
General description
Arrestin-C (UniProt: P36575; also known as Cone arrestin, C-arrestin, cArr, Retinal cone arrestin-3, X-arrestin) is encoded by the ARR3 (also known as ARRX, CAR) gene (Gene ID: 407) in human. Arrestins are a superfamily of multi-functional proteins that that regulate signaling and trafficking of the majority of G-protein-coupled receptors (GPCRs), as well as sub-cellular localization and activity of many other signaling proteins. Arrestin-C, a disulfide-linked, homodimeric protein, is predominantly found in Inner and outer segments, and the inner plexiform regions of the retina. It is expressed in cone photoreceptors and pinealocytes and may contribute to the shut-off mechanisms associated with high acuity color vision. Arrestin-C is an elongated two-domain molecule with overall fold and key inter-domain interactions that hold the free protein in the basal conformation similar to the other subtypes. Several structural elements are reported to contribute to arrestin binding. The C-terminal acidic region serves a regulatory role in controlling arrestin binding selectivity toward the phosphorylated and activated form of a receptor. The basic N-terminal domain directly participates in receptor interaction and serves a regulatory role via intramolecular interaction with the C-terminal acidic region. Also, two centrally localized domains are directly involved in determining receptor binding specificity and selectivity. Mutations in ARR3 gene have been linked to X-lined myopia 26 that is characterized by typical tigroid fundus changes commonly seen in early onset high myopia. This ZooMAb® recombinant monoclonal antibody, generated by our propriety technology, offers significantly enhanced specificity, affinity, reproducibility, and stability over conventional monoclonals. (Ref.: Gurevich, VV., et al. (2018). Protein Cell. 9; 986-1003; Xiao, X., et al. (2016). Mol. Vis. 22; 1257-1266).
We are committed to bringing you greener alternative products, which adhere to one or more of The 12 Principles of Green Chemistry.This antibody is Preservative-free, produced without the harm or sacrifice of animals and exceptionally stable to allow for ambient shipping and storage if needed and thus aligns with "Waste Prevention", "Designing Safer Chemicals" and "Design for Energy Efficiency". Click here for more information.
ZooMAb® antibodies represent an entirely new generation of recombinant monoclonal antibodies. Each ZooMAb® antibody is manufactured using our proprietary recombinant expression system, purified to homogeneity, and precisely dispensed to produce robust and highly reproducible lot-to-lot consistency. Only top-performing clones are released for use by researchers. Each antibody is validated for high specificity and affinity across multiple applications, including its most commonly used application. ZooMAb® antibodies are reliably available and ready to ship when you need them.
Immunogen
KLH-conjugated linear peptide corresponding to 14 amino acids from the C-terminal region of human Arrestin-C.
Application
Quality Control Testing
Evaluated by Western Blotting in Human retina tissue lysate.
Western Blotting Analysis: A 1:1,000 dilution of this antibody detected Arrestin-C in Human retina tissue lysate.
Tested Applications
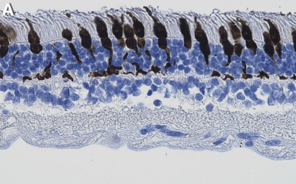
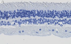
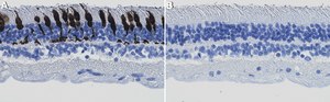
Immunohistochemistry (Paraffin) Analysis: A 1:1,000 dilution from a representative lot detected Arrestin-C in human retina tissue sections.
Affinity Binding Assay: A representative lot of this antibody bound Arrestin-C peptide with a KD of 3.9 x 10-6 in an affinity binding assay.
Immunocytochemistry Analysis: A 1:100 dilution from a representative lot detected Arrestin-C in HEK293 cells.
Note: Actual optimal working dilutions must be determined by end user as specimens, and experimental conditions may vary with the end user.
Evaluated by Western Blotting in Human retina tissue lysate.
Western Blotting Analysis: A 1:1,000 dilution of this antibody detected Arrestin-C in Human retina tissue lysate.
Tested Applications
Immunohistochemistry (Paraffin) Analysis: A 1:1,000 dilution from a representative lot detected Arrestin-C in human retina tissue sections.
Affinity Binding Assay: A representative lot of this antibody bound Arrestin-C peptide with a KD of 3.9 x 10-6 in an affinity binding assay.
Immunocytochemistry Analysis: A 1:100 dilution from a representative lot detected Arrestin-C in HEK293 cells.
Note: Actual optimal working dilutions must be determined by end user as specimens, and experimental conditions may vary with the end user.
Biochem/physiol Actions
Clone 1I3 is a ZooMAb® Rabbit recombinant monoclonal antibody that specifically detects Arrestin-C. It targets an epitope within 14 amino acids from the C-terminal region.
Physical form
Purified recombinant rabbit monoclonal antibody IgG, lyophilized in PBS, 5% Trehalose, normal appearance a coarse or translucent resin. The PBS/trehalose components in the ZooMAb formulation can have the appearance of a semi-solid (bead like gel) after lyophilization. This is a normal phenomenon. Please follow the recommended reconstitution procedure in the data sheet to dissolve the semi-solid, bead-like, gel-appearing material. The resulting antibody solution is completely stable and functional as proven by full functional testing. Contains no biocide or preservatives, such as azide, or any animal by-products. Larger pack sizes provided as multiples of 25 µL.
Preparation Note
Recommend storage of lyophilized product at 2-8°C; Before reconstitution, micro-centrifuge vials briefly to spin down material to bottom of the vial; Reconstitute each vial by adding 25 µL of filtered lab grade water or PBS; Reconstituted antibodies can be stored at 2-8°C, or -20°C for long term storage. Avoid repeated freeze-thaws.
Reconstitute lyophilized antibody pellet with 25μL of ultrapure water or Phosphate Buffered Saline (PBS). Please refer to our reconstitution protocol and the specific application guidance on the suggested starting dilutions and sample type.
Legal Information
ZooMAb is a registered trademark of Merck KGaA, Darmstadt, Germany
Disclaimer
Unless otherwise stated in our catalog or other company documentation accompanying the product(s), our products are intended for research use only and are not to be used for any other purpose, which includes but is not limited to, unauthorized commercial uses, in vitro diagnostic uses, ex vivo or in vivo therapeutic uses or any type of consumption or application to humans or animals.
Still not finding the right product?
试用我们的 产品选型工具 工具缩小选择范围
存储类别
11 - Combustible Solids
wgk
WGK 1
flash_point_f
Not applicable
flash_point_c
Not applicable
法规信息
常规特殊物品
此项目有
全球贸易项目编号
| 货号 | GTIN |
|---|---|
| ZRB2336-25UL | 04065269127222 |
| ZRB2336-4X25UL | 04065269127239 |