biological source
rabbit
Quality Level
recombinant
expressed in HEK 293 cells
conjugate
unconjugated
antibody form
purified antibody
antibody product type
primary antibodies
clone
4G22, recombinant monoclonal
description
4G22 Clone
product line
ZooMAb® learn more
form
lyophilized
mol wt
calculated mol wt 52.23 kDa, observed mol wt ~55 kDa
purified by
using Protein A
species reactivity
rat, human
species reactivity (predicted by homology)
feline, mouse, monkey, canine, porcine, bovine
packaging
antibody small pack of 25 μL
greener alternative product characteristics
Waste Prevention
Designing Safer Chemicals
Design for Energy Efficiency
Learn more about the Principles of Green Chemistry.
enhanced validation
recombinant expression
Learn more about Antibody Enhanced Validation
technique(s)
affinity binding assay: suitable, immunocytochemistry: suitable, immunohistochemistry: suitable, western blot: suitable
isotype
IgG
epitope sequence
N-terminal half
Protein ID accession no.
UniProt accession no.
greener alternative category
shipped in
ambient
storage temp.
2-8°C
Gene Information
human ... PPARA(5465)
General description
Peroxisome proliferator-activated receptor alpha (UniProt: Q07869; also known as PPAR-alpha, Nuclear receptor subfamily 1 group C member 1) is encoded by the PPARA (also known as NR1C1, PPAR) gene (Gene ID: 5465) in human. PPARs are members of the nuclear hormone receptor family of transcription factors that mediate a variety of cellular processes, including glucose and lipid metabolism, inflammatory responses, and regulation of apoptotic cell death. They act by binding to specific peroxisome proliferator-response elements (PPREs) on target genes. Three forms of PPARs have been described, which are designated as α, β, and δ forms. PPARα is expressed in skeletal muscle, liver, kidney, and endothelial cells and regulates lipoprotein metabolism. Its transcriptional activity is enhanced in the presence of insulin. It contains a DNA binding domain (aa 99-173) and a ligand-binding domain. It also has two NR C-4 type of zinc finger regions (aa 102-122 and 139-161) that bind to the regulator region of DNA when the receptor is activated. The ligand-binding domain has an extensive secondary structure of several α- helices and β-sheets. PPARα heterodimerizes with RXRA and this heterodimerization is required for its DNA binding and transactivation activity. Leukotriene B4 (LTB4) is shown to bind to PPARα and induce transcription of genes of the ψ- and β-oxidation pathways and clofibrate that binds to PPAR alpha accelerates catabolism of LTB4 in granulocytes and macrophages. PPARα deficient mice show a prolonged inflammatory response when exposed to LTB4. GSK3-β is reported to phosphorylate serine 73 on PPARα alpha, which in turn increases ubiquitination and protein turnover and reduces its activity. Two isoforms of PPARα have been described that are produced by alternative splicing. This ZooMAb® recombinant monoclonal antibody, generated by our propriety technology, offers significantly enhanced specificity, affinity, reproducibility, and stability over conventional monoclonals. (Ref.: Rakhshandehroo, M., et al. (2010). PPAR Research. 2010; Article ID 612089; Van Raalte, DH., et al. (2004).Pharm. Res. 321(9); 1531-1538).
We are committed to bringing you greener alternative products, which adhere to one or more of The 12 Principles of Green Chemistry. This antibody is Preservative-free, produced without the harm or sacrifice of animals and exceptionally stable to allow for ambient shipping and storage if needed and thus aligns with "Waste Prevention", "Designing Safer Chemicals" and "Design for Energy Efficiency". Click here for more information.
ZooMAb® antibodies represent an entirely new generation of recombinant monoclonal antibodies. Each ZooMAb® antibody is manufactured using our proprietary recombinant expression system, purified to homogeneity, and precisely dispensed to produce robust and highly reproducible lot-to-lot consistency. Only top-performing clones are released for use by researchers. Each antibody is validated for high specificity and affinity across multiple applications, including its most commonly used application. ZooMAb® antibodies are reliably available and ready to ship when you need them.
Immunogen
KLH-conjugated linear peptide corresponding to 18 amino acids from the N-terminal half of human Peroxisome proliferator-activated receptor . ( PPAR )
Application
Quality Control Testing
Evaluated by Western Blotting in C6 cell nuclear extract.
Western Blotting Analysis: A 1:1,000 dilution of this antibody detected PPAR in C6 cell nuclear extract.
Tested Applications
Western Blotting Analysis: A 1:10,000 dilution from a representative lot detected PPAR in Human Skeletal muscle tissue lysate..
Immunocytochemistry Analysis: A 1:100 dilution from a representative lot detected PPAR in HEK293 cells.
Affinity Binding Assay: A representative lot of this antibody bound PPAR peptide with a KD of 7.3 x 10-6 in an affinity binding assay.
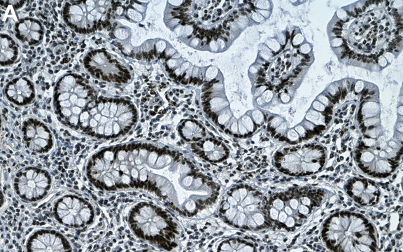
Immunohistochemistry (Paraffin) Analysis: A 1:100 dilution from a representative lot detected PPAR in Human small intestine tissue sections.
Note: Actual optimal working dilutions must be determined by end user as specimens, and experimental conditions may vary with the end user.
Evaluated by Western Blotting in C6 cell nuclear extract.
Western Blotting Analysis: A 1:1,000 dilution of this antibody detected PPAR in C6 cell nuclear extract.
Tested Applications
Western Blotting Analysis: A 1:10,000 dilution from a representative lot detected PPAR in Human Skeletal muscle tissue lysate..
Immunocytochemistry Analysis: A 1:100 dilution from a representative lot detected PPAR in HEK293 cells.
Affinity Binding Assay: A representative lot of this antibody bound PPAR peptide with a KD of 7.3 x 10-6 in an affinity binding assay.
Immunohistochemistry (Paraffin) Analysis: A 1:100 dilution from a representative lot detected PPAR in Human small intestine tissue sections.
Note: Actual optimal working dilutions must be determined by end user as specimens, and experimental conditions may vary with the end user.
Biochem/physiol Actions
Clone 4G22 is a ZooMAb® rabbit recombinant monoclonal antibody that specifically detects PPAR . It targets an epitope within 18 amino acids from the N-terminal half.
Physical form
Purified recombinant rabbit monoclonal antibody IgG, lyophilized in PBS, 5% Trehalose, normal appearance a coarse or translucent resin. The PBS/trehalose components in the ZooMAb formulation can have the appearance of a semi-solid (bead like gel) after lyophilization. This is a normal phenomenon. Please follow the recommended reconstitution procedure in the data sheet to dissolve the semi-solid, bead-like, gel-appearing material. The resulting antibody solution is completely stable and functional as proven by full functional testing. Contains no biocide or preservatives, such as azide, or any animal by-products. Larger pack sizes provided as multiples of 25 µL.
Preparation Note
Recommend storage of lyophilized product at 2-8°C; Before reconstitution, micro-centrifuge vials briefly to spin down material to bottom of the vial; Reconstitute each vial by adding 25 µL of filtered lab grade water or PBS; Reconstituted antibodies can be stored at 2-8°C, or -20°C for long term storage. Avoid repeated freeze-thaws.
Reconstitute lyophilized antibody pellet with 25μL of ultrapure water or Phosphate Buffered Saline (PBS). Please refer to our reconstitution protocol and the specific application guidance on the suggested starting dilutions and sample type.
Other Notes
Concentration: Please refer to the Certificate of Analysis for the lot-specific concentration.
Legal Information
ZooMAb is a registered trademark of Merck KGaA, Darmstadt, Germany
Disclaimer
Unless otherwise stated in our catalog or other company documentation accompanying the product(s), our products are intended for research use only and are not to be used for any other purpose, which includes but is not limited to, unauthorized commercial uses, in vitro diagnostic uses, ex vivo or in vivo therapeutic uses or any type of consumption or application to humans or animals.
Still not finding the right product?
试用我们的 产品选型工具 工具缩小选择范围
存储类别
11 - Combustible Solids
wgk
WGK 1
flash_point_f
Not applicable
flash_point_c
Not applicable
法规信息
常规特殊物品
此项目有
全球贸易项目编号
| 货号 | GTIN |
|---|---|
| ZRB2372-25UL | 04065269092407 |
| ZRB2372-4X25UL | 04065269092414 |