biological source
rabbit (recombinant)
Quality Level
recombinant
expressed in HEK 293 cells
conjugate
unconjugated
antibody form
purified antibody
antibody product type
primary antibodies
clone
3M12, monoclonal, recombinant monoclonal
description
3M12 Clone
product line
ZooMAb® learn more
form
lyophilized
mol wt
calculated mol wt 55.97 kDa, observed mol wt ~58 kDa
species reactivity
rat, mouse
species reactivity (predicted by homology)
human, bovine
packaging
antibody small pack of 25 μL
greener alternative product characteristics
Waste Prevention
Designing Safer Chemicals
Design for Energy Efficiency
Learn more about the Principles of Green Chemistry.
enhanced validation
recombinant expression
Learn more about Antibody Enhanced Validation
sustainability
Greener Alternative Product
technique(s)
immunocytochemistry: suitable using 1:100, immunofluorescence: 1:10-1:100, immunohistochemistry (formalin-fixed, paraffin-embedded sections): 1:100-1:1,000, western blot: suitable using 1:1,000
isotype
IgG
UniProt accession no.
greener alternative category
shipped in
ambient
storage temp.
2-8°C
target post-translational modification
unmodified
Gene Information
rat ... TH(25085)
General description
Each ZooMAb antibody is manufactured using our proprietary recombinant expression system, purified to homogeneity, and precisely dispensed to produce robust and highly reproducible lot-to-lot consistency. Only top-performing clones are released for use by researchers. Each antibody is validated for high specificity and affinity across multiple applications, including its most commonly used application. ZooMAb antibodies are reliably available and ready to ship when you need them.
Learn more about ZooMAb here.
Immunogen
Application
Immunocytochemistry Analysis: A 1:100 dilution from a representative lot detected Tyrosine Hydroxylase in PC12 cells.
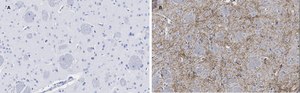
Immunohistochemistry (Paraffin) Analysis: A 1:100 dilution from a representative lot detected Tyrosine Hydroxylase in mouse brain tissue sections.
Biochem/physiol Actions
Physical form
Preparation Note
Legal Information
Disclaimer
Still not finding the right product?
试用我们的 产品选型工具 工具缩小选择范围
存储类别
11 - Combustible Solids
wgk
WGK 1
flash_point_f
Not applicable
flash_point_c
Not applicable
法规信息
此项目有
实验方案
Follow this short antibody reconstitution protocol and see how easy it is to reconstitute ZooMAb® recombinant antibodies.
相关内容
ZooMAb® Recombinant Antibody Technology