跳转至内容
Merck
CN

ZRB2621

Anti-Collagen α-4 Antibody, clone 1F3 ZooMAb® Rabbit Monoclonal

greener alternative

recombinant, expressed in HEK 293 cells

登录 查看组织和合同定价。

选择尺寸

变更视图

关于此项目

UNSPSC Code:
12352203
NACRES:
NA.46
Conjugate:
unconjugated
Clone:
1F3, recombinant monoclonal
Application:
ICC, IF, IHC, WB, affinity binding assay
Citations:
-
技术服务
需要帮助?我们经验丰富的科学家团队随时乐意为您服务。
让我们为您提供帮助


biological source

rabbit

Quality Level

recombinant

expressed in HEK 293 cells

conjugate

unconjugated

antibody form

purified antibody

antibody product type

primary antibodies

clone

1F3, recombinant monoclonal

description

recombinant, expressed in HEK 293 cells

product line

ZooMAb® learn more

form

lyophilized

mol wt

calculated mol wt 164 kDa, observed mol wt ~250 kDa

purified by

using Protein A

species reactivity

human, canine

species reactivity (predicted by homology)

monkey

packaging

antibody small pack of 25

greener alternative product characteristics

Waste Prevention
Designing Safer Chemicals
Design for Energy Efficiency
Learn more about the Principles of Green Chemistry.

enhanced validation

recombinant expression
Learn more about Antibody Enhanced Validation

sustainability

Greener Alternative Product

technique(s)

affinity binding assay: suitable, immunocytochemistry: suitable, immunofluorescence: suitable, immunohistochemistry: suitable, western blot: suitable

isotype

IgG

epitope sequence

N-terminal half

Protein ID accession no.

UniProt accession no.

greener alternative category

shipped in

ambient

storage temp.

2-8°C

Gene Information

human ... COL4A4(1286)

General description

Collagen alpha-4(IV) chain (UniProt: P53420; also known as Collagen -4) is encoded by the gene COL4A4 (Gene ID: 1286) in human. Type IV collagen is the major structural component of glomerular basement membranes (GBM). Together with laminins, proteoglycans and entactin/nidogen it forms a network in the basement membrane, which is a specialized extracellular matrix structure that supports and separates different tissue compartments. COL4A4 is essential for maintaining the structural integrity and function of various tissues, particularly the basement membranes of the kidney glomerulus and inner ear. It contributes to the stability and filtration properties of the glomerular basement membrane, which is critical for normal kidney function. COL4A4 is predominantly expressed in tissues rich in basement membranes, such as the kidney, the cochlea, and the lung. Mutations in the COL4A4 gene disrupt the structure and function of the collagen IV network, leading to the deterioration of basement membranes in the kidneys and other affected organs. This ZooMAb® recombinant monoclonal antibody, generated by our propriety technology, offers significantly enhanced specificity, affinity, reproducibility, and stability over conventional monoclonals.
We are committed to bringing you greener alternative products, which adhere to one or more of the 12 Principles of Green Chemistry. This antibody is preservative-free, produced without the harm or sacrifice of animals and exceptionally stable to allow for ambient shipping and storage if needed, and thus aligns with "Waste Prevention", "Designing Safer Chemicals" and "Design for Energy Efficiency". Click here for more information.
ZooMAb® antibodies represent an entirely new generation of recombinant monoclonal antibodies. Each ZooMAb® antibody is manufactured using our proprietary recombinant expression system, purified to homogeneity, and precisely dispensed to produce robust and highly reproducible lot-to-lot consistency. Only top-performing clones are released for use by researchers. Each antibody is validated for high specificity and affinity across multiple applications, including its most commonly used application. ZooMAb® antibodies are reliably available and ready to ship when you need them.

Immunogen

KLH-conjugated linear peptide corresponding to 25 amino acids from the N-terminal half of human Collagen -4.

Application

Quality Control Testing

Evaluated by Western Blotting in MDCK cell lysate.

Western Blotting Analysis: A 1:1,000 dilution of this antibody detected Collagen -4 in MDCK cell lysate.

Tested Applications

Western Blotting Analysis: A 1:1,000 dilution from a representative lot detected Collagen -4 in Human Kidney lysates.

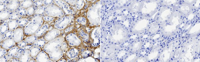
Immunohistochemistry (Paraffin) Analysis: A 1:100 dilution from a representative lot detected Collagen -4 in human kidney tissue sections.

Affinity Binding Assay Analysis: The binding affinity of this antibody to Collagen -4 chain peptide was at least ten thousand-fold (10,000X) higher than that obtained with the non-specific control peptide.

Immunocytochemistry Analysis: A 1:100 dilution from a representative lot detected Collagen -4 in HeLa cells.

Immunofluorescence Analysis: A 1:100 dilution from a representative lot detected Collagen -4 in human kidney tissue sections.

Note: Actual optimal working dilutions must be determined by end user as specimens, and experimental conditions may vary with the end user

Biochem/physiol Actions

Clone 1F3 is a ZooMAb® rabbit recombinant monoclonal antibody that detects Collagen -4. It targets an epitope within 25 amino acids from the N-terminal half of the protein.

Physical form

Purified recombinant rabbit monoclonal antibody IgG, lyophilized in PBS with 5% Trehalose, normal appearance a coarse or translucent resin. The PBS/trehalose components in the ZooMAb formulation can have the appearance of a semi-solid (bead like gel) after lyophilization. This is a normal phenomenon. Please follow the recommended reconstitution procedure in the data sheet to dissolve the semi-solid, bead-like, gel-appearing material. The resulting antibody solution is completely stable and functional as proven by full functional testing. Contains no biocide or preservatives, such as azide, or any animal by-products. Larger pack sizes provided as multiples of 25 µL.

Preparation Note

Recommend storage of lyophilized product at 2-8°C; Before reconstitution, micro-centrifuge vials briefly to spin down material to bottom of the vial; Reconstitute each vial by adding 25 µL of filtered lab grade water or PBS; Reconstituted antibodies can be stored at 2-8°C, or -20°C for long term storage. Avoid repeated freeze-thaws.
Reconstitute lyophilized antibody pellet with 25μL of ultrapure water or Phosphate Buffered Saline (PBS). Please refer to our reconstitution protocol and the specific application guidance on the suggested starting dilutions and sample type.

Legal Information

ZooMAb is a registered trademark of Merck KGaA, Darmstadt, Germany

Disclaimer

Unless otherwise stated in our catalog or other company documentation accompanying the product(s), our products are intended for research use only and are not to be used for any other purpose, which includes but is not limited to, unauthorized commercial uses, in vitro diagnostic uses, ex vivo or in vivo therapeutic uses or any type of consumption or application to humans or animals.


Still not finding the right product?

试用我们的 产品选型工具 工具缩小选择范围


存储类别

11 - Combustible Solids

wgk

WGK 2

flash_point_f

Not applicable

flash_point_c

Not applicable

法规信息

常规特殊物品

此项目有



历史批次信息供参考:

分析证书(COA)

Lot/Batch Number

It looks like we've run into a problem, but you can still download Certificates of Analysis from our 文件 section.

如需帮助,请联系 客户支持

已有该产品?

在文件库中查找您最近购买产品的文档。

访问文档库



全球贸易项目编号

货号GTIN
ZRB2621-25UL04065271186170
ZRB2621-4X25UL04065271186187