biological source
rabbit
Quality Level
recombinant
expressed in HEK 293 cells
conjugate
unconjugated
antibody form
purified antibody
antibody product type
primary antibodies
clone
2E17, recombinant monoclonal
description
recombinant, expressed in HEK 293 cells
product line
ZooMAb® learn more
form
lyophilized
mol wt
calculated mol wt 41 kDa, observed mol wt ~40 kDa
purified by
using Protein A
species reactivity
human, rat, mouse
packaging
antibody small pack of 25
greener alternative product characteristics
Waste Prevention
Designing Safer Chemicals
Design for Energy Efficiency
Learn more about the Principles of Green Chemistry.
enhanced validation
recombinant expression
Learn more about Antibody Enhanced Validation
sustainability
Greener Alternative Product
technique(s)
affinity binding assay: suitable, immunocytochemistry: suitable, immunohistochemistry: suitable, western blot: suitable
isotype
IgG
epitope sequence
C-terminal
Protein ID accession no.
UniProt accession no.
greener alternative category
shipped in
ambient
storage temp.
2-8°C
Gene Information
human ... PRKACA(5566)
General description
We are committed to bringing you greener alternative products, which adhere to one or more of The 12 Principles of Green Chemistry.This antibody is Preservative-free, produced without the harm or sacrifice of animals and exceptionally stable to allow for ambient shipping and storage if needed and thus aligns with "Waste Prevention", "Designing Safer Chemicals" and "Design for Energy Efficiency". Click here for more information.
ZooMAb® antibodies represent an entirely new generation of recombinant monoclonal antibodies. Each ZooMAb® antibody is manufactured using our proprietary recombinant expression system, purified to homogeneity, and precisely dispensed to produce robust and highly reproducible lot-to-lot consistency. Only top-performing clones are released for use by researchers. Each antibody is validated for high specificity and affinity across multiple applications, including its most commonly used application. ZooMAb® antibodies are reliably available and ready to ship when you need them.
cAMP-dependent protein kinase catalytic subunit alpha (UniProt: P17612; also known as EC: 2.7.11.11, PKA C-alpha) is encoded by the PRKACA (also known as PKACA) gene (Gene ID: 5566) in human. PKA-C is the catalytic subunit of PKA, a member of the AGC serine/threonine protein kinase family that is detected in cytoplasm, nucleus, mitochondria, and membrane. The inactive holoenzyme is localized in the cytoplasm. A number of inactive tetrameric holoenzymes are produced by the combination of homo- or heterodimers of the different regulatory subunits associated with two catalytic subunits. It phosphorylates a large number of substrates in the cytoplasm and in the nucleus, Including Cdc25B, ABL1, NF-kB1, claudin 3, ryanodine receptor 2, and SOX9. Its protein kinase domain is localized in amino acids 44-298 and AGC-kinase C-terminal domain is in amino acids 299-351. It is allosterically activated by a variety of compounds, including ATP. It is activated by cAMP that acts as a dynamic and all
Immunogen
KLH-conjugated linear peptide corresponding to 17 amino acids from the C-terminal region from the catalytic subunit of human Protein Kinase A (PKA-C- ).
Application
Quality Control Testing
Evaluated by Western Blotting in MCF-7 cell lysate.
Western Blotting Analysis: A 1:10,000 dilution of this antibody detected PKA C- in MCF-7 cell lysate.
Tested Applications
Western Blotting Analysis: A 1:10,000 dilution from a representative lot detected PKA C- in lysates from A549 cells, and Mouse brain tissue and Rat testis tissue.
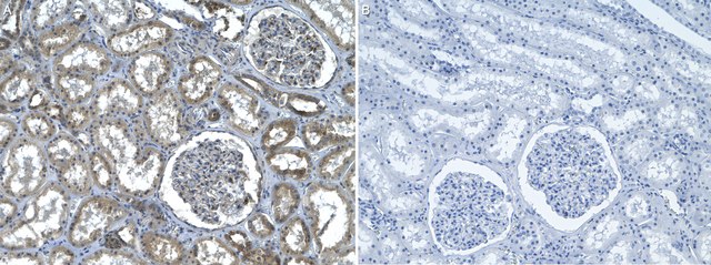
Immunohistochemistry (Paraffin) Analysis: A 1:1,000 dilution from a representative lot detected PKA C- in Human kidney tissue sections.
Affinity Binding Assay: A representative lot of this antibody bound PKA C- peptide with a KD of 1.9 x 10-7 in an affinity binding assay.
Immunocytochemistry Analysis: A 1:100 dilution from a representative lot detected PKA C- in MCF-7 cells.
Note: Actual optimal working dilutions must be determined by end user as specimens, and experimental conditions may vary with the end user.
Evaluated by Western Blotting in MCF-7 cell lysate.
Western Blotting Analysis: A 1:10,000 dilution of this antibody detected PKA C- in MCF-7 cell lysate.
Tested Applications
Western Blotting Analysis: A 1:10,000 dilution from a representative lot detected PKA C- in lysates from A549 cells, and Mouse brain tissue and Rat testis tissue.
Immunohistochemistry (Paraffin) Analysis: A 1:1,000 dilution from a representative lot detected PKA C- in Human kidney tissue sections.
Affinity Binding Assay: A representative lot of this antibody bound PKA C- peptide with a KD of 1.9 x 10-7 in an affinity binding assay.
Immunocytochemistry Analysis: A 1:100 dilution from a representative lot detected PKA C- in MCF-7 cells.
Note: Actual optimal working dilutions must be determined by end user as specimens, and experimental conditions may vary with the end user.
Biochem/physiol Actions
Clone 2E17 is a ZooMAb® rabbit recombinant monoclonal antibody that detects PKA C- . It targets an epitope within 17 amino acids from the C-terminal region.
Physical form
Purified recombinant rabbit monoclonal antibody IgG, lyophilized in PBS with 5% Trehalose, normal appearance a coarse or translucent resin. The PBS/trehalose components in the ZooMAb formulation can have the appearance of a semi-solid (bead like gel) after lyophilization. This is a normal phenomenon. Please follow the recommended reconstitution procedure in the data sheet to dissolve the semi-solid, bead-like, gel-appearing material. The resulting antibody solution is completely stable and functional as proven by full functional testing. Contains no biocide or preservatives, such as azide, or any animal by-products. Larger pack sizes provided as multiples of 25 µL.
Preparation Note
Recommend storage of lyophilized product at 2-8°C; Before reconstitution, micro-centrifuge vials briefly to spin down material to bottom of the vial; Reconstitute each vial by adding 25 µL of filtered lab grade water or PBS; Reconstituted antibodies can be stored at 2-8°C, or -20°C for long term storage. Avoid repeated freeze-thaws.
Reconstitute lyophilized antibody pellet with 25μL of ultrapure water or Phosphate Buffered Saline (PBS). Please refer to our reconstitution protocol and the specific application guidance on the suggested starting dilutions and sample type.
Legal Information
ZooMAb is a registered trademark of Merck KGaA, Darmstadt, Germany
Disclaimer
Unless otherwise stated in our catalog or other company documentation accompanying the product(s), our products are intended for research use only and are not to be used for any other purpose, which includes but is not limited to, unauthorized commercial uses, in vitro diagnostic uses, ex vivo or in vivo therapeutic uses or any type of consumption or application to humans or animals.
Still not finding the right product?
试用我们的 产品选型工具 工具缩小选择范围
存储类别
11 - Combustible Solids
wgk
WGK 1
flash_point_f
Not applicable
flash_point_c
Not applicable
法规信息
常规特殊物品
此项目有
全球贸易项目编号
| 货号 | GTIN |
|---|---|
| ZRB2698-25UL | 04065270332905 |
| ZRB2698-4X25UL | 04065270333414 |