跳转至内容
Merck
CN

ZRB3193

Anti-CKII-α Antibody, clone 3K8 ZooMAb® Rabbit Monoclonal

greener alternative

recombinant, expressed in HEK 293 cells

别名:

CK2A1, Casein kinase II subunit alpha, EC:2.7.11.1

登录 查看组织和合同定价。

选择尺寸

变更视图

关于此项目

UNSPSC Code:
12352203
NACRES:
NA.41
Conjugate:
unconjugated
Clone:
3K8, recombinant monoclonal
Application:
ICC, IHC, WB, affinity binding assay
Citations:
-
技术服务
需要帮助?我们经验丰富的科学家团队随时乐意为您服务。
让我们为您提供帮助


biological source

rabbit

Quality Level

recombinant

expressed in HEK 293 cells

conjugate

unconjugated

antibody form

purified antibody

antibody product type

primary antibodies

clone

3K8, recombinant monoclonal

description

recombinant, expressed in HEK 293 cells

product line

ZooMAb® learn more

form

lyophilized

mol wt

calculated mol wt 45.14 kDa, observed mol wt ~45 kDa

purified by

using Protein A

species reactivity

human, rat, mouse

species reactivity (predicted by homology)

porcine, Xenopus, monkey, avian

packaging

antibody small pack of 25

greener alternative product characteristics

Waste Prevention
Designing Safer Chemicals
Design for Energy Efficiency
Learn more about the Principles of Green Chemistry.

enhanced validation

recombinant expression
Learn more about Antibody Enhanced Validation

sustainability

Greener Alternative Product

technique(s)

affinity binding assay: suitable, immunocytochemistry: suitable, immunohistochemistry: suitable, western blot: suitable

isotype

IgG

epitope sequence

N-terminal

Protein ID accession no.

UniProt accession no.

greener alternative category

shipped in

ambient

storage temp.

2-8°C

Gene Information

human ... CSNK2A1(1457)

General description

Casein kinase II subunit alpha (UniProt: P68400; EC:2.7.11.1; also known as CK II alpha, CKII- ) is encoded by the CSNK2A1 (also known as CK2A1) gene (Gene ID: 1457) in human. CKII- is the catalytic subunit of casein kinase II (CK2), a serine/threonine-selective protein kinase. It forms a tetrameric complex composed of two catalytic subunits (alpha and/or alpha′) and two regulatory beta subunits. The alpha subunit contains a kinase domain responsible for its enzymatic activity, characterized by an ATP-binding site and a substrate recognition site. The beta subunit stabilizes the enzyme and plays an important role in substrate selection. CKII- plays a crucial role in various cellular processes, including cell cycle regulation, apoptosis, DNA repair, and transcription. It phosphorylates a wide array of substrates, influencing their activity, stability, and interaction with other proteins. CK2 is known for its constitutive activity, meaning it does not require activation by external signals, allowing it to participate in the regulation of numerous cellular pathways. CSNK2A1 is ubiquitously expressed in various tissues. It is particularly abundant in rapidly dividing cells, such as those found in tumors, which aligns with its involvement in cell proliferation and survival pathways. CKII- is predominantly localized in the cytoplasm and nucleus, but it can also be found in other cellular compartments depending on the cell type and physiological conditions. Its nuclear presence is linked to its role in regulating transcription and DNA-related processes. Overexpression or dysregulation of CKII- activity has been associated with cancer, as it can promote oncogenic signaling pathways and inhibit apoptotic mechanisms. Additionally, mutations in CSNK2A1 have been linked to neurodevelopmental disorders such as Okur-Chung neurodevelopmental syndrome. Its involvement in various signaling pathways makes it a target for therapeutic interventions in cancer and other diseases. This ZooMAb® recombinant monoclonal antibody, generated by our proprietary technology, offers significantly enhanced specificity, affinity, reproducibility, and stability over conventional monoclonals. (Ref: Bruserud, O., and Reikvam, H., (2023), Cancers, 15(14), 3711)
We are committed to bringing you greener alternative products, which adhere to one or more of the 12 Principles of Green Chemistry. This antibody is preservative-free, produced without the harm or sacrifice of animals and exceptionally stable to allow for ambient shipping and storage if needed, and thus aligns with "Waste Prevention", "Designing Safer Chemicals" and "Design for Energy Efficiency". Click here for more information.
ZooMAb® antibodies represent an entirely new generation of recombinant monoclonal antibodies. Each ZooMAb® antibody is manufactured using our proprietary recombinant expression system, purified to homogeneity, and precisely dispensed to produce robust and highly reproducible lot-to-lot consistency. Only top-performing clones are released for use by researchers. Each antibody is validated for high specificity and affinity across multiple applications, including its most commonly used application. ZooMAb® antibodies are reliably available and ready to ship when you need them.

Immunogen

KLH-conjugated linear peptide corresponding to 24 amino acids from the N-terminal region of human CKII- .

Application

Quality Control Testing

Evaluated by Western Blotting in NIH/3T3 cell lysate.

Western Blotting Analysis: A 1:10,000 dilution of this antibody detected CKII- in NIH/3T3 cell lysate.

Tested Applications

Western Blotting Analysis: A 1:1,000-10,000 dilution from a representative lot detected CKII- in lysates from A-431, C6, and HepG2 cells.

Affinity Binding Assay: A representative lot of this antibody bound with CKII- peptide with at least one thousand-fold (1,000X) higher than with non-specific control peptide.

Immunocytochemistry Analysis: A 1:100 dilution from a representative lot detected CKII- in HepG2 cells.

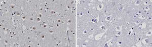
Immunohistochemistry (Paraffin) Analysis: A 1:100 dilution from a representative lot detected CKII- in human cerebral cortex and human testis tissue sections.

Note: Actual optimal working dilutions must be determined by end user as specimens, and experimental conditions may vary with the end user.

Biochem/physiol Actions

Clone 3K8 is a ZooMAb® rabbit recombinant monoclonal antibody that detects CKII- . It targets an epitope within 24 amino acids from the N-terminal region.

Physical form

Purified recombinant rabbit monoclonal antibody IgG, lyophilized in PBS with 5% Trehalose, normal appearance a coarse or translucent resin. The PBS/trehalose components in the ZooMAb formulation can have the appearance of a semi-solid (bead like gel) after lyophilization. This is a normal phenomenon. Please follow the recommended reconstitution procedure in the data sheet to dissolve the semi-solid, bead-like, gel-appearing material. The resulting antibody solution is completely stable and functional as proven by full functional testing. Contains no biocide or preservatives, such as azide, or any animal by-products. Larger pack sizes provided as multiples of 25 µL.

Preparation Note

300 µg/mL after reconstitution at 25 µL per vial. Please refer to guidance on suggested starting dilutions and/or titers per application and sample type.
Recommend storage of lyophilized product at 2-8°C; Before reconstitution, micro-centrifuge vials briefly to spin down material to bottom of the vial; Reconstitute each vial by adding 25 µL of filtered lab grade water or PBS; Reconstituted antibodies can be stored at 2-8°C, or -20°C for long term storage. Avoid repeated freeze-thaws.

Legal Information

ZooMAb is a registered trademark of Merck KGaA, Darmstadt, Germany

Disclaimer

Unless otherwise stated in our catalog or other company documentation accompanying the product(s), our products are intended for research use only and are not to be used for any other purpose, which includes but is not limited to, unauthorized commercial uses, in vitro diagnostic uses, ex vivo or in vivo therapeutic uses or any type of consumption or application to humans or animals.


Still not finding the right product?

试用我们的 产品选型工具 工具缩小选择范围


存储类别

11 - Combustible Solids

wgk

WGK 2

flash_point_f

Not applicable

flash_point_c

Not applicable

法规信息

常规特殊物品

此项目有



历史批次信息供参考:

分析证书(COA)

Lot/Batch Number

It looks like we've run into a problem, but you can still download Certificates of Analysis from our 文件 section.

如需帮助,请联系 客户支持

已有该产品?

在文件库中查找您最近购买产品的文档。

访问文档库



全球贸易项目编号

货号GTIN
ZRB3193-25UL04065272492300
ZRB3193-4X25UL04065272492911