跳转至内容
Merck
CN

ZRB3409

Anti-EGF Antibody, clone 2G3 ZooMAb® Rabbit Monoclonal

greener alternative

recombinant, expressed in HEK 293 cells

别名:

Pro-epidermal growth factor

登录 查看组织和合同定价。

选择尺寸

变更视图

关于此项目

UNSPSC Code:
12352203
NACRES:
NA.46
Technique(s):
ELISA: suitable, immunohistochemistry: suitable, western blot: suitable
Uniprot accession no.:
Application:
ELISA, IHC, WB
Citations:
-
技术服务
需要帮助?我们经验丰富的科学家团队随时乐意为您服务。
让我们为您提供帮助


biological source

rabbit

Quality Level

recombinant

expressed in HEK 293 cells

conjugate

unconjugated

antibody form

purified antibody

antibody product type

primary antibodies

clone

2G3, recombinant monoclonal

description

recombinant, expressed in HEK 293 cells

product line

ZooMAb® learn more

form

lyophilized

mol wt

calculated mol wt 133.99 kDa, observed mol wt ~7 kDa

purified by

using Protein A

species reactivity

human

packaging

antibody small pack of 25

greener alternative product characteristics

Waste Prevention
Designing Safer Chemicals
Design for Energy Efficiency
Learn more about the Principles of Green Chemistry.

enhanced validation

recombinant expression
Learn more about Antibody Enhanced Validation

sustainability

Greener Alternative Product

technique(s)

ELISA: suitable, immunohistochemistry: suitable, western blot: suitable

isotype

IgG

epitope sequence

Internal

Protein ID accession no.

UniProt accession no.

greener alternative category

shipped in

ambient

storage temp.

2-8°C

Gene Information

human ... EGF(1950)

General description

ZooMAb® antibodies represent an entirely new generation of recombinant monoclonal antibodies. Each ZooMAb® antibody is manufactured using our proprietary recombinant expression system, purified to homogeneity, and precisely dispensed to produce robust and highly reproducible lot-to-lot consistency. Only top-performing clones are released for use by researchers. Each antibody is validated for high specificity and affinity across multiple applications, including its most commonly used application. ZooMAb® antibodies are reliably available and ready to ship when you need them.
Pro-epidermal growth factor (UniProt: P01133; also known as EGF, Urogastrone) is encoded by the EGF gene (Gene ID: 1950) in human. Epidermal Growth Factor (EGF) is a single-pass type I membrane protein that plays a pivotal role in regulating cell proliferation, differentiation, survival, and tissue regeneration. It binds primarily Epidermal Growth Factor Receptor (EGFR), a transmembrane tyrosine kinase receptor. Upon ligand binding, EGFR undergoes dimerization and autophosphorylation, activating a cascade of downstream signaling pathways such as the RAS-RAF-MEK-ERK, PI3K-Akt, and STAT pathways. These pathways are essential for processes like wound healing, organ development, and tissue homeostasis. EGF′s anti-inflammatory properties, particularly in keratinocytes, suggests its immunomodulatory role in skin physiology. Dysregulation of EGF-EGFR signaling, however, is implicated in various cancers, including lung, breast, and colorectal cancers, due to mutations or overexpression of EGFR, which leads to uncontrolled cell growth and tumor progression. This ZooMAb® recombinant monoclonal antibody, generated by our proprietary technology, offers significantly enhanced specificity, affinity, reproducibility, and stability over conventional monoclonals. (Ref.: Lee, S.J., et al., (2024), Sci Rep 14, 22601; Tito C, et al., (2025), J Biomed Sci. 32(1):24).

Immunogen

KLH-conjugated linear peptide corresponding to 19 amino acids from the internal region of human EGF.

Application

Quality Control Testing

Evaluated by Western Blotting in recombinant fragment of human EGF.

Western Blotting Analysis: A 1:10,000 dilution of this antibody detected recombinant fragment of human EGF.

Tested Applications

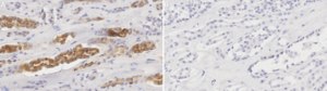
Immunohistochemistry (Paraffin) Analysis: A 1:100 dilution from a representative lot detected EGF in human kidney tissue sections.

Enzyme Immunoassay: A representative lot of this antibody detected EGF protein in ELISA application.

Note: Actual optimal working dilutions must be determined by end user as specimens, and experimental conditions may vary with the end user.

Biochem/physiol Actions

Clone 2G3 is a ZooMAb® rabbit recombinant monoclonal antibody that detects EGF. It targets an epitope within 19 amino acids from the internal region.

Physical form

Purified recombinant rabbit monoclonal antibody IgG, lyophilized in PBS with 5% Trehalose, normal appearance a coarse or translucent resin. The PBS/trehalose components in the ZooMAb formulation can have the appearance of a semi-solid (bead like gel) after lyophilization. This is a normal phenomenon. Please follow the recommended reconstitution procedure in the data sheet to dissolve the semi-solid, bead-like, gel-appearing material. The resulting antibody solution is completely stable and functional as proven by full functional testing. Contains no biocide or preservatives, such as azide, or any animal by-products. Larger pack sizes provided as multiples of 25 µL.

Preparation Note

300 µg/mL after reconstitution at 25 µL per vial. Please refer to guidance on suggested starting dilutions and/or titers per application and sample type.
Recommend storage of lyophilized product at 2-8°C; Before reconstitution, micro-centrifuge vials briefly to spin down material to bottom of the vial; Reconstitute each vial by adding 25 µL of filtered lab grade water or PBS; Reconstituted antibodies can be stored at 2-8°C, or -20°C for long term storage. Avoid repeated freeze-thaws.

Other Notes

We are committed to bringing you greener alternative products, which adhere to one or more of the 12 Principles of Green Chemistry. This antibody is preservative-free, produced without the harm or sacrifice of animals and exceptionally stable to allow for ambient shipping and storage if needed, and thus aligns with "Waste Prevention", "Designing Safer Chemicals" and "Design for Energy Efficiency". Click here for more information.

Legal Information

ZooMAb is a registered trademark of Merck KGaA, Darmstadt, Germany

Disclaimer

Unless otherwise stated in our catalog or other company documentation accompanying the product(s), our products are intended for research use only and are not to be used for any other purpose, which includes but is not limited to, unauthorized commercial uses, in vitro diagnostic uses, ex vivo or in vivo therapeutic uses or any type of consumption or application to humans or animals.


Still not finding the right product?

试用我们的 产品选型工具 工具缩小选择范围


存储类别

11 - Combustible Solids

wgk

WGK 1

flash_point_f

Not applicable

flash_point_c

Not applicable

法规信息

新产品

此项目有



历史批次信息供参考:

分析证书(COA)

Lot/Batch Number

It looks like we've run into a problem, but you can still download Certificates of Analysis from our 文件 section.

如需帮助,请联系 客户支持

已有该产品?

在文件库中查找您最近购买产品的文档。

访问文档库



全球贸易项目编号

货号GTIN
ZRB3409-25UL04065273207217
ZRB3409-4X25UL04065273207224