跳转至内容
CN
ZH
产品
应用
服务
资源
支持
分析化学
细胞培养与分析
化学与生物化学
临床与诊断
过滤
绿色替代产品
工业微生物学
实验室自动化
实验室器皿
材料科学
分子生物学与功能基因组学
mAbs 开发与制造
mRNA 开发与制造
制药和生物制药生产
蛋白质生物学
水纯化系统
分析化学
细胞培养与分析
化学与合成
临床与诊断
环境与大麻测试
食品和饮料测试与制造
基因组学
材料科学与工程
微生物测试
mAbs 开发与制造
mRNA 开发与制造
制药和生物制药生产
蛋白质生物学
研究与疾病领域
水纯化系统
合同制造
合同测试
定制产品
生命科学数字解决方案
IVD 开发与制造
产品服务
支持
文件
学习中心
新建
客户支持
联系我们
网站智能化
常见问题
质量与监管
计算器和应用程序
网络研讨会
返回
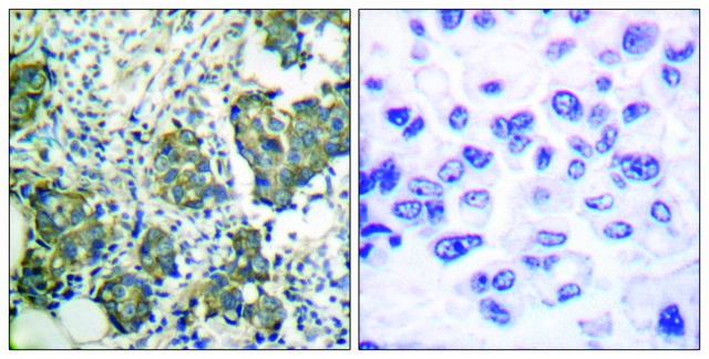
Anti-Keratin 8 antibody produced in rabbit
别名:
CK 8, CK8, CYK8, Cytokeratin endo A, K2C8
Products
产品分类
antibodies
primary antibodies
品牌
Sigma-Aldrich
生物来源
克隆
基因别名
物质形态
抗体形式
研究领域
共轭
质量水平
翻译后修饰
物种反应
技术
筛选产品
Showing 1-2 of 2
比较
产品编号
说明
价格
SAB4501654
Anti-Keratin 8 antibody produced in rabbit,
affinity isolated antibody
展开
查看定价
SAB4501653
Anti-Keratin 8 antibody produced in rabbit,
affinity isolated antibody
展开
查看定价