跳转至内容
Merck
CN

SAB4501654

Anti-Keratin 8 antibody produced in rabbit

affinity isolated antibody

别名:

CK 8, CK8, CYK8, Cytokeratin endo A, K2C8

登录 查看组织和合同定价。

选择尺寸

变更视图

关于此项目

NACRES:
NA.41
UNSPSC Code:
12352203
Conjugate:
unconjugated
Clone:
polyclonal
Application:
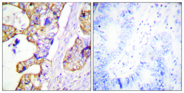
ELISA, IF, IHC, WB
Citations:
6
技术服务
需要帮助?我们经验丰富的科学家团队随时乐意为您服务。
让我们为您提供帮助


biological source

rabbit

Quality Level

conjugate

unconjugated

antibody form

affinity isolated antibody

antibody product type

primary antibodies

clone

polyclonal

form

buffered aqueous solution

mol wt

antigen 53 kDa

species reactivity

rat, human, mouse

concentration

~1 mg/mL

technique(s)

ELISA: 1:1000, immunofluorescence: 1:100-1:500, immunohistochemistry: 1:50-1:100, western blot: 1:500-1:1000

NCBI accession no.

UniProt accession no.

shipped in

wet ice

storage temp.

−20°C

target post-translational modification

unmodified

Gene Information

human ... KRT8(3856)

General description

Keratin 8 (KRT8) is an intermediate filaments protein, that is located on human chromosome 12q13.

Immunogen

The antiserum was produced against synthesized peptide derived from human Keratin 8.

Immunogen Range: 401-450

Application

Anti-Keratin 8, C-Terminal antibody has been used in immunofluorescence.

Biochem/physiol Actions

Keratins act as cytoprotective proteins. KRT8 plays an important role in the pathophysiology of RPE (retinal pigment epithelium). It plays a hepatoprotective role against mechanical and toxic injury.

Features and Benefits

Evaluate our antibodies with complete peace of mind. If the antibody does not perform in your application, we will issue a full credit or replacement antibody. Learn more.

Physical form

Rabbit IgG in phosphate buffered saline (without Mg2+ and Ca2+), pH 7.4, 150mM NaCl, 0.02% sodium azide and 50% glycerol.

Disclaimer

Unless otherwise stated in our catalog or other company documentation accompanying the product(s), our products are intended for research use only and are not to be used for any other purpose, which includes but is not limited to, unauthorized commercial uses, in vitro diagnostic uses, ex vivo or in vivo therapeutic uses or any type of consumption or application to humans or animals.


Still not finding the right product?

Explore all of our products under

或者

试用我们的 产品选型工具 工具缩小选择范围


存储类别

10 - Combustible liquids

wgk

nwg

flash_point_f

Not applicable

flash_point_c

Not applicable

法规信息

低风险生物材料
常规特殊物品

此项目有



历史批次信息供参考:

分析证书(COA)

Lot/Batch Number

没有发现合适的版本?

如果您需要特殊版本,可通过批号或批次号查找具体证书。

已有该产品?

在文件库中查找您最近购买产品的文档。

访问文档库



Marie Alexandra Albaret et al.
Cancers, 10(11) (2018-11-21)
Accumulating evidence supports the remarkable presence at the membrane surface of cancer cells of proteins, which are normally expressed in the intracellular compartment. Although these proteins, referred to as externalized proteins, represent a highly promising source of accessible and druggable
WNT10A mutation causes ectodermal dysplasia by impairing progenitor cell proliferation and KLF4-mediated differentiation
Xu M, et al.
Nature Communications (2017)
Loss of c-KIT expression in thyroid cancer cells
Franceschi S, et al.
PLoS ONE (2017)



全球贸易项目编号

货号GTIN
SAB4501654-100UG04061837187735