Skip to Content
Merck
CN

04-1557

Anti-SIRT1 Antibody, clone 10E4

clone 10-E-4, from mouse

Synonym(s):

SIR2-like protein 1, sir2-like 1, sirtuin (silent mating type information regulation 2 homolog) 1 (S. cerevisiae), sirtuin (silent mating type information regulation 2, S. cerevisiae, homolog) 1, sirtuin 1, sirtuin type 1

Sign In to View Organizational & Contract Pricing.

Select a Size

Change View

About This Item

UNSPSC Code:
12352203
NACRES:
NA.41
eCl@ss:
32160702
Conjugate:
unconjugated
Clone:
10-E-4, monoclonal
Application:
ChIP, ICC, IHC, IP, WB
Citations:
11
Technical Service
Need help? Our team of experienced scientists is here for you.
Let Us Assist


biological source

mouse

Quality Level

conjugate

unconjugated

antibody form

purified immunoglobulin

antibody product type

primary antibodies

clone

10-E-4, monoclonal

species reactivity

mouse, human

packaging

antibody small pack of 25 μL

technique(s)

ChIP: suitable, immunocytochemistry: suitable, immunohistochemistry: suitable, immunoprecipitation (IP): suitable, western blot: suitable

NCBI accession no.

UniProt accession no.

shipped in

ambient

target post-translational modification

unmodified

Gene Information

human ... SIRT1(23411)

General description

Sir2 is short for Silent mating type Information Regulation-2. Sir2 (whose homolog in mammals is known as SIRT1, SIR2L1 or Sir2α) is the namesake of a family of closely related enzymes, the sirtuins. Members of this family have been found in nearly all organisms studied. Sirtuins are hypothesized to play a key role in an organism′s response to stresses (such as heat or starvation) and to be responsible for the lifespan-extending effects of calorie restriction. Sirtuins act by removing acetyl groups from proteins in the presence of NAD+; they are thus classified as "NAD+-dependent deacetylases". In mammals, SIRT1 (the mammalian homolog of Sir2) has been shown to deacetylate and thereby deactivate the p53 protein.
~ 110 kDa

Immunogen

Epitope: Unknown
His-tagged recombinant protein corresponding to human SIRT1.

Application

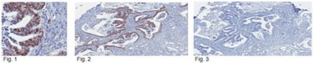
Does not react in mouse in IHC. Mouse sequence is 100% identical to immunogen, so it is predicted to work in western blotting.
Immunoprecipitation: Reported by independent researcher using representative lot.
Chromatin Immunopreiciptiation: Reported by independent researcher using representative lot.
Immunohistochemistry: Reported by independent researcher using representative lot.
Research Category
Epigenetics & Nuclear Function
Research Sub Category
Histones
Use Anti-SIRT1 Antibody, clone 10E4 (mouse monoclonal antibody) validated in WB, IP, ICC, IHC, ChIP to detect SIRT1 also known as sirtuin (silent mating type information regulation 2 homolog) 1, sirtuin 1.

Biochem/physiol Actions

This antibody recognizes SIRT1.

Physical form

Format: Purified
Protein G Purified
Purified mouse monoclonal IgGκ in buffer containing 0.1 M Tris-Glycine (pH 7.4, 150 mM NaCl) with 0.05% sodium azide.

Preparation Note

Stable for 1 year at 2-8°C from date of receipt.

Analysis Note

Control
HeLa cell lysate
Evaluated by Western Blot in HeLa cell lysate.

Western Blot Analysis: 0.5 µg/ml of this antibody detected SIRT1 on 10 µg of HeLa cell lysate.

Other Notes

Concentration: Please refer to the Certificate of Analysis for the lot-specific concentration.

Disclaimer

Unless otherwise stated in our catalog or other company documentation accompanying the product(s), our products are intended for research use only and are not to be used for any other purpose, which includes but is not limited to, unauthorized commercial uses, in vitro diagnostic uses, ex vivo or in vivo therapeutic uses or any type of consumption or application to humans or animals.


Still not finding the right product?

Try our Product Selector Tool to narrow your options


Regulatory Information

低风险生物材料
常规特殊物品

This item has



Certificates of Analysis (COA)

Search for Certificates of Analysis (COA) by entering the products Lot/Batch Number. Lot and Batch Numbers can be found on a product’s label following the words ‘Lot’ or ‘Batch’.

Already Own This Product?

Find documentation for the products that you have recently purchased in the Document Library.

Visit the Document Library



Zhenyu Li et al.
The Journal of biological chemistry, 284(16), 10361-10366 (2009-02-17)
SUV39H1 is a histone H3K9-specific methyltransferase important for heterochromatin formation, regulation of gene expression, and induction of senescence in premalignant cells. SUV39H1 forms a complex with SirT1, and its activity is stimulated by SirT1 binding. Here we present evidence that
Eva Höllmüller et al.
Nature communications, 12(1), 3497-3497 (2021-06-11)
Decoding the role of histone posttranslational modifications (PTMs) is key to understand the fundamental process of epigenetic regulation. This is well studied for PTMs of core histones but not for linker histone H1 in general and its ubiquitylation in particular
Lili Qin et al.
Molecules (Basel, Switzerland), 25(22) (2020-11-19)
Resveratrol (RSV) is a natural flavonoid polyphenol compound extracted from the plants which shows various biological activities. However, the clinical application of RSV is limited by its poor aqueous solubility, rapid metabolism and poor bioavailability. In this study, resveratrol-loaded solid