Skip to Content
Merck
CN

05-1075

Anti-FOXO1 Antibody, clone 2H8.2

clone 2H8.2, from mouse

Synonym(s):

Forkhead box protein O1A, Forkhead in rhabdomyosarcoma, forkhead box O1, forkhead box O1A (rhabdomyosarcoma), forkhead homolog in rhabdomyosarcoma

Sign In to View Organizational & Contract Pricing.

Select a Size

Change View

About This Item

UNSPSC Code:
12352203
NACRES:
NA.41
eCl@ss:
32160702
Conjugate:
unconjugated
Clone:
2H8.2, monoclonal
Application:
ICC, IHC, WB
Citations:
7
Technical Service
Need help? Our team of experienced scientists is here for you.
Let Us Assist


biological source

mouse

Quality Level

conjugate

unconjugated

antibody form

purified antibody

antibody product type

primary antibodies

clone

2H8.2, monoclonal

species reactivity

rat, human, mouse

packaging

antibody small pack of 25 μg

technique(s)

immunocytochemistry: suitable, immunohistochemistry: suitable (paraffin), western blot: suitable

isotype

IgG1κ

NCBI accession no.

UniProt accession no.

shipped in

ambient

target post-translational modification

unmodified

Gene Information

human ... FOXO1(2308)
mouse ... Foxo1(56458)

General description

Forkhead box O (FOXO) transcription factors play an important role in modulating metabolic functions. Given the relatively high expression of FOXO1 in insulin-responsive tissues, this transcription factor is highly poised to regulate energy metabolism. When nutrient and insulin levels are low, FOXO1 promotes expression of gluconeogenic enzymes. Conversely, in the fed state, insulin levels rise and stimulate uptake of glucose primarily into skeletal muscle and other organs, including adipose tissue. Under certain pathophysiologic conditions, including insulin resistance, negative signaling to FOXO1 is compromised. (Gross, D.N., 2009).
~78-82 kDa

Immunogen

GST-tagged recombinant protein corresponding to full length FOXO1.

Application

Immunocytochemistry: A 1:500 dilution of a previous lot was used.

Immunocytochemistry: Representative lot data.
A 1:500 dilution of a previous lot was used.

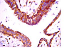
Immunohistochemistry (Paraffin): Representative lot data.
Optimal Staining With Epitope Retrieval: Ductal Carcinoma In Situ.
Research Category
Epigenetics & Nuclear Function
Research Sub Category
Transcription Factors
Use Anti-FOXO1 Antibody, clone 2H8.2 (Mouse Monoclonal Antibody) validated in WB, ICC, IHC(P) to detect FOXO1 also known as Forkhead box protein O1A, Forkhead in rhabdomyosarcoma.

Biochem/physiol Actions

This antibody detects FOXO1.
FOXO1 shuttles between the nucleus and the cytosol.

Physical form

Format: Purified
Protein G Purified
Purified mouse monoclonal in buffer containing 0.1M Tris-Glycine (pH 7.4), 150mM NaCl with 0.05% sodium azide.

Preparation Note

Stable for 1 year at 2-8ºC from date of receipt.

Analysis Note

Control
HEK293 cell lysate
Evaluated by western blot on HEK293 cell lysate.
Western Blot Analysis: 2 µg/mL of this antibody detected FOXO1 in HEK293 cell lysate.

Other Notes

Concentration: Please refer to the Certificate of Analysis for the lot-specific concentration.
Replaces: 04-1005

Disclaimer

Unless otherwise stated in our catalog or other company documentation accompanying the product(s), our products are intended for research use only and are not to be used for any other purpose, which includes but is not limited to, unauthorized commercial uses, in vitro diagnostic uses, ex vivo or in vivo therapeutic uses or any type of consumption or application to humans or animals.


Still not finding the right product?

Try our Product Selector Tool to narrow your options


Storage Class

12 - Non Combustible Liquids

wgk

WGK 1

flash_point_f

Not applicable

flash_point_c

Not applicable



Certificates of Analysis (COA)

Search for Certificates of Analysis (COA) by entering the products Lot/Batch Number. Lot and Batch Numbers can be found on a product’s label following the words ‘Lot’ or ‘Batch’.

Already Own This Product?

Find documentation for the products that you have recently purchased in the Document Library.

Visit the Document Library



Dongjie Liu et al.
Oncology letters, 17(1), 450-455 (2019-01-19)
According to global cancer statistics in 2012, lung cancer (LC) was the most frequently diagnosed cancer and the leading cause of cancer-associated mortality among males worldwide. Owing to the limited therapeutic approaches available, novel methods for treating LC are required.
Kevin Dessalle et al.
PloS one, 7(11), e50878-e50878 (2012-12-12)
SREBP-1 are ubiquitously expressed transcription factors, strongly expressed in lipogenic tissues where they regulate several metabolic processes like fatty acid synthesis. In skeletal muscle, SREBP-1 proteins regulate the expression of hundreds of genes, and we previously showed that their overexpression
Jitendra Kumar et al.
Biological trace element research, 196(2), 552-564 (2019-12-13)
The excess fluoride intake has been shown to adversely affect male reproductive health. The aim of the present study was to investigate the key mechanism underlying fluoride-induced testicular dysfunction and the role of melatonin as a modulator of testicular metabolic



Global Trade Item Number

SKUGTIN
05-1075-25UG04054839350153