Sign In to View Organizational & Contract Pricing.
Select a Size
Change View
About This Item
UNSPSC Code:
12352203
NACRES:
NA.41
eCl@ss:
32160702
Conjugate:
unconjugated
Clone:
polyclonal
Application:
ICC, IHC, WB
Citations:
4
biological source
rabbit
Quality Level
conjugate
unconjugated
antibody form
affinity isolated antibody
antibody product type
primary antibodies
clone
polyclonal
purified by
affinity chromatography
species reactivity
rat, human, mouse
technique(s)
immunocytochemistry: suitable, immunohistochemistry: suitable, western blot: suitable
NCBI accession no.
UniProt accession no.
shipped in
wet ice
target post-translational modification
unmodified
Gene Information
human ... FZD7(8324)
General description
Frizzled 7 is a multi-pass membrane protein belonging to the G-protein coupled receptor Fz/Smo family. It is a receptor for Wnt signaling, predominantly Wnt11, a crucial factor in the regulation of cellular migration and polarization during vertebrate gastrulation. Highest reported expression is in fetal kidney tissue and adult heart tissue. Lower levels have been observed in brain, placenta, adult heart, fetal lung, and squamous cell esophageal carcinomas.
The calculated molecular weight is 64 kDa Observed at ~83 kDa, most likely due to multiple glycosolation sites.
Immunogen
Epitope: Unknown
KLH-conjugated linear peptide corresponding to human Frizzled-7.
Application
Research Category
Signaling
Signaling
Research Sub Category
Developmental Signaling
Developmental Signaling
This Anti-Frizzled-7 Antibody is validated for use in WB, IH, IC for the detection of Frizzled-7.
Western Blot Analysis: A previous lot detected Frizzled-7 on 10 µg of HEK293 cell lysate and rat brain microsomal fraction tissue lysate.
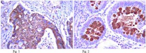
Immunohistochemistry Analysis: 1:300 dilution from a previous lot detected Frizzled-7 in human ductal in situ and GI tract tissue.
Immunocytochemistry Analysis: 1:500 dilution from a previous lot detected Frizzled-7 in A431 cells.
Immunohistochemistry Analysis: 1:300 dilution from a previous lot detected Frizzled-7 in human ductal in situ and GI tract tissue.
Immunocytochemistry Analysis: 1:500 dilution from a previous lot detected Frizzled-7 in A431 cells.
Biochem/physiol Actions
Recognizes Frizzled-7
Physical form
Affinity purified
Purified rabbit polyclonal in buffer containing 0.1 M Tris-Glycine (pH 7.4, 150 mM NaCl) with 0.05% sodium azide.
Preparation Note
Stable for 1 year at 2-8°C from date of receipt.
Analysis Note
Control
Mouse brain microsomal fraction tissue lysate
Mouse brain microsomal fraction tissue lysate
Evaluated by Western Blot in mouse brain microsomal fraction tissue lysate.
Western Blot Analysis: 1 µg/mL of this antibody detected Frizzled-7 on 10 µg of mouse brain microsomal fraction tissue lysate.
Western Blot Analysis: 1 µg/mL of this antibody detected Frizzled-7 on 10 µg of mouse brain microsomal fraction tissue lysate.
Other Notes
Concentration: Please refer to the Certificate of Analysis for the lot-specific concentration.
Disclaimer
Unless otherwise stated in our catalog or other company documentation accompanying the product(s), our products are intended for research use only and are not to be used for any other purpose, which includes but is not limited to, unauthorized commercial uses, in vitro diagnostic uses, ex vivo or in vivo therapeutic uses or any type of consumption or application to humans or animals.
Still not finding the right product?
Try our Product Selector Tool to narrow your options
Storage Class
12 - Non Combustible Liquids
wgk
WGK 1
flash_point_f
Not applicable
flash_point_c
Not applicable
Certificates of Analysis (COA)
Search for Certificates of Analysis (COA) by entering the products Lot/Batch Number. Lot and Batch Numbers can be found on a product’s label following the words ‘Lot’ or ‘Batch’.
Already Own This Product?
Find documentation for the products that you have recently purchased in the Document Library.
Taybor W Parker et al.
Scientific reports, 10(1), 2957-2957 (2020-02-23)
Wnt/β-catenin signaling is essential for intestinal homeostasis and is aberrantly activated in most colorectal cancers (CRC) through mutation of the tumor suppressor Adenomatous Polyposis Coli (APC). APC is an essential component of a cytoplasmic protein complex that targets β-catenin for
Bovine induced pluripotent stem cells are more resistant to apoptosis than testicular cells in response to mono-(2-ethylhexyl) phthalate.
Lin, YC; Kuo, KK; Wuputra, K; Lin, SH; Ku, CC; Yang, YH; Wang, SW; Wang, SW; Wu, DC; Wu et al.
International Journal of Molecular Sciences null
María E Ferrari et al.
Journal of cell science, 131(13) (2018-06-15)
The formation of complex dendritic arbors is crucial for the assembly of functional networks as abnormal dendrite formation underlies several neurodevelopmental and psychiatric disorders. Many extracellular factors have been postulated as regulators of dendritic growth. Wnt proteins play a critical
Global Trade Item Number
| SKU | GTIN |
|---|---|
| 06-1063 | 04053252376115 |