Skip to Content
Merck
CN

06-680

Anti-Androgen Receptor Antibody

from rabbit, purified by affinity chromatography

Synonym(s):

Androgen receptor, Dihydrotestosterone receptor, Nuclear receptor subfamily 3 group C member 4

Sign In to View Organizational & Contract Pricing.

Select a Size

Change View

About This Item

UNSPSC Code:
12352203
NACRES:
NA.41
eCl@ss:
32160702
Conjugate:
unconjugated
Clone:
polyclonal
Application:
ChIP, FACS, ICC, IHC, IP, WB
Citations:
132
Technical Service
Need help? Our team of experienced scientists is here for you.
Let Us Assist


biological source

rabbit

Quality Level

conjugate

unconjugated

antibody form

affinity isolated antibody

antibody product type

primary antibodies

clone

polyclonal

purified by

affinity chromatography

species reactivity

rat, human

species reactivity (predicted by homology)

bovine (based on 100% sequence homology), canine (based on 100% sequence homology), horse (based on 100% sequence homology), mouse (based on 100% sequence homology)

technique(s)

ChIP: suitable (ChIP-seq), flow cytometry: suitable, immunocytochemistry: suitable, immunohistochemistry: suitable, immunoprecipitation (IP): suitable, western blot: suitable

NCBI accession no.

UniProt accession no.

shipped in

wet ice

target post-translational modification

unmodified

Gene Information

bovine ... Ar(280675)
dog ... Ar(403588)
human ... AR(367)
mouse ... Ar(11835)
rat ... Ar(24208)

General description

The androgen receptor (AR) is a type of nuclear receptor which is activated by binding of either of the androgenic hormones testosterone or dihydrotestosterone. The main function of the androgen receptor is as a DNA binding transcription factor which regulates gene expression. However the androgen receptor also has additional functions independent of DNA binding. The androgen receptor is most closely related to the progesterone receptor, and progestins in higher dosages can block the androgen receptor.
~110 kDa observed

Immunogen

Epitope: This antibody recognizes the Modulation Region within the N-terminus of Androgen Receptor.
KLH-conjugated linear peptide corresponding to the N-terminus of rat Androgen Receptor.

Application

Anti-Androgen Receptor Antibody, PG-21 is a Rabbit Polyclonal Antibody for detection of Androgen Receptor also known as Dihydrotestosterone Receptor & has been tested in ICC, IHC, IP & WB.
Immunoprecipitation Analysis: 34 µL from a representative lot immunoprecipitated Androgen Receptor from 1000 µg of LNCaP cell lysate.

Flow Cytometry Analysis: A 1:300 dilution from a representative lot detected Androgen Receptor in 0.2X10E6 MCF-7 cells.

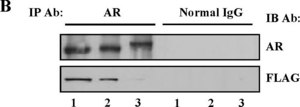
Chromatin Immunoprecipitation Analysis: A representative lot from an independent laboratory immunoprecipitated Androgen Receptor from DU145 cells stably transfected with a 7 kD-PSA promoter, different AR poly A lentiviral vectors, and a Flag-tagged hZMIZ1 vector (Li, X., et al. (2011). PLoS One. 6(9):e25040.).

Immunohistochemistry Analysis: A representative lot from an independent laboratory detected Androgen Receptor in embryonic rat tissue, neonatal rat testis tissue, and adult rat testis tissue (Nation, T., et al. (2010). J Pediatr Surg. 46(8): 1539-1543.).

Immunocytochemistry Analysis: A representative lot from an independent laboratory detected Androgen Receptor in MCF-7 cells stabily transfected with Androgen Receptor (Ghatge, R. P., et al. (2005). Breast Cancer Res. 7(6):R1036-1050.).

Chromatin Immunoprecipitaton-Sequence Analysis: A representative lot from an independent laboratory immunoprecipitated Androgen Receptor from LNCaP cell lysates under certain treated conditions (Zhao, J. C., et al. (2012). Genome Res. 22(2):322-331.).

Immunocytochemistry Analysis: A 1:1000 dilution from a representative lot detected Androgen Receptor in LNCaP cells.
Research Category
Epigenetics & Nuclear Function
Research Sub Category
Transcription Factors

Physical form

Affinity purified
Purified rabbit polyclonal in buffer containing 0.1 M Tris-Glycine (pH 7.4), 150 mM NaCl with 0.05% sodium azide.

Preparation Note

Stable for 1 year at 2-8°C from date of receipt.

Analysis Note

Evaluated by Western Blotting in LNCaP cell lysate.

Western Blotting Analysis: A 1:1,000 dilution of this antibody detected Androgen Receptor in 10 µg of LNCaP cell lysate.

Disclaimer

Unless otherwise stated in our catalog or other company documentation accompanying the product(s), our products are intended for research use only and are not to be used for any other purpose, which includes but is not limited to, unauthorized commercial uses, in vitro diagnostic uses, ex vivo or in vivo therapeutic uses or any type of consumption or application to humans or animals.


Still not finding the right product?

Try our Product Selector Tool to narrow your options


Storage Class

12 - Non Combustible Liquids

wgk

WGK 1

flash_point_f

Not applicable

flash_point_c

Not applicable



Certificates of Analysis (COA)

Search for Certificates of Analysis (COA) by entering the products Lot/Batch Number. Lot and Batch Numbers can be found on a product’s label following the words ‘Lot’ or ‘Batch’.

Already Own This Product?

Find documentation for the products that you have recently purchased in the Document Library.

Visit the Document Library



Hemostatic gelatin sponge is a superior matrix to matrigel for establishment of LNCaP human prostate cancer in nude mice.
Cui, L; Chen, P; Tan, Z; Li, W; Dong, Z
Prostate null
Androgen influence on prefrontal dopamine systems in adult male rats: localization of cognate intracellular receptors in medial prefrontal projections to the ventral tegmental area and effects of gonadectomy and hormone replacement on glutamate-stimulated extracellular dopamine level.
Aubele, T; Kritzer, MF
Cerebral Cortex (1991)
The chicken ovalbumin upstream promoter-transcription factor II negatively regulates the transactivation of androgen receptor in prostate cancer cells.
Song, CH; Lee, HJ; Park, E; Lee, K
Testing null



Global Trade Item Number

SKUGTIN
06-68008436037123856