Sign In to View Organizational & Contract Pricing.
Select a Size
Change View
About This Item
UNSPSC Code:
12352203
NACRES:
NA.41
eCl@ss:
32160702
Conjugate:
unconjugated
Clone:
polyclonal
Application:
ELISA, Neutral, WB
Citations:
3
biological source
rabbit
Quality Level
conjugate
unconjugated
antibody form
affinity purified immunoglobulin
antibody product type
primary antibodies
clone
polyclonal
purified by
affinity chromatography
species reactivity
human
technique(s)
ELISA: suitable, neutralization: suitable, western blot: suitable
isotype
IgG
NCBI accession no.
UniProt accession no.
shipped in
dry ice
target post-translational modification
unmodified
Gene Information
human ... PDGFB(5155)
General description
28 kDa
Platelet-Derived Growth Factor (PDGF) is a dimer of A (17 kDa) and B (14 kDa) chains (AA, AB, or BB). Its receptors are transmembrane receptor tyrosine kinases, PDGF Receptors type A and B. The type A PDGF receptor binds all three PDGFs with high affinity, whereas the type B PDGF receptor is selective for PDGF-BB. PDGF signals as a growth and survival factor, as it is a potent activator of the PI3 Kinase pathway. PDGF signaling appears to play an essential role in the development of tumors of glial origin.
Immunogen
Highly purified (>98%) recombinant human PDGF-BB
Application
Anti-PDGF-BB Antibody detects level of PDGF-BB & has been published & validated for use in WB, ELISA, NEUT.
ELISA: 0.5 μg/mL dilution of a previous lot will allow detection (in direct ELISA) of
0.2-0.4 ng/well when human PDGF-BB is used to coat the plate.
Neutralization: To yield ½ maximal inhibition (ND50) of the biological activity of hPDGF-BB (2.5
ng/mL), a concentration of 0.03-0.04 μg/mL of a previous lot of this antibody was required.
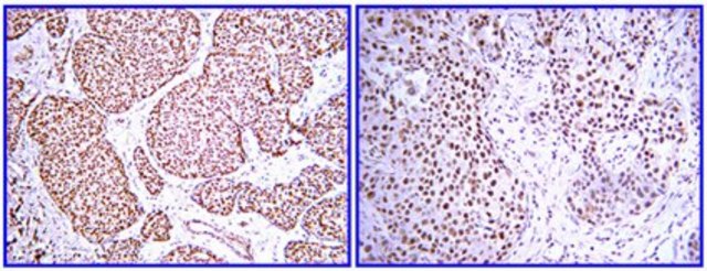
Immunohistochemistry(paraffin): Anti-IGF-1R, representative staining-pattern and morphology on ductal breast carcinoma. Tissue was pretreated with EDTA, pH 8.0 for Epitope retrieval. A previous lot of this antibody was diluted to 1:200 (RT incubation), using IHC-Select Detection with HRP-DAB.
Optimal working dilutions must be determined by the end user.
0.2-0.4 ng/well when human PDGF-BB is used to coat the plate.
Neutralization: To yield ½ maximal inhibition (ND50) of the biological activity of hPDGF-BB (2.5
ng/mL), a concentration of 0.03-0.04 μg/mL of a previous lot of this antibody was required.
Immunohistochemistry(paraffin): Anti-IGF-1R, representative staining-pattern and morphology on ductal breast carcinoma. Tissue was pretreated with EDTA, pH 8.0 for Epitope retrieval. A previous lot of this antibody was diluted to 1:200 (RT incubation), using IHC-Select Detection with HRP-DAB.
Optimal working dilutions must be determined by the end user.
Research Category
Signaling
Signaling
Research Sub Category
Growth Factors & Receptors
Growth Factors & Receptors
Biochem/physiol Actions
Reacts with human PDGF-BB.
Physical form
Affinity purified
Purified rabbit polyclonal IgG lyophilized from 0.5X PBS, pH 7.4. Reconstitute with sterile distilled water.
Preparation Note
Maintain lyophilized material desiccated below 0°C. After reconstitution maintain at -20°C in convenient undiluted aliquots for up to 6 months from date of receipt.
Handling Recommendations: Upon first thaw, and prior to removing the cap, centrifuge the vial and gently mix the solution. Aliquot into microcentrifuge tubes and store at -20°C. Avoid repeated freeze/thaw cycles, which may damage IgG and affect product performance.
Handling Recommendations: Upon first thaw, and prior to removing the cap, centrifuge the vial and gently mix the solution. Aliquot into microcentrifuge tubes and store at -20°C. Avoid repeated freeze/thaw cycles, which may damage IgG and affect product performance.
Analysis Note
Routinely evaluated by Western Blot on Huvec lysates.
Western Blot Analysis:
1:500 dilution of this lot detected PDGF-BB on 10 μg of Huvec lysates.
Western Blot Analysis:
1:500 dilution of this lot detected PDGF-BB on 10 μg of Huvec lysates.
Other Notes
Replaces: AB1487P
Disclaimer
Unless otherwise stated in our catalog or other company documentation accompanying the product(s), our products are intended for research use only and are not to be used for any other purpose, which includes but is not limited to, unauthorized commercial uses, in vitro diagnostic uses, ex vivo or in vivo therapeutic uses or any type of consumption or application to humans or animals.
Still not finding the right product?
Try our Product Selector Tool to narrow your options
Storage Class
13 - Non Combustible Solids
wgk
WGK 1
flash_point_f
Not applicable
flash_point_c
Not applicable
Certificates of Analysis (COA)
Search for Certificates of Analysis (COA) by entering the products Lot/Batch Number. Lot and Batch Numbers can be found on a product’s label following the words ‘Lot’ or ‘Batch’.
Already Own This Product?
Find documentation for the products that you have recently purchased in the Document Library.
Gesine Paul et al.
The Journal of clinical investigation, 125(3), 1339-1346 (2015-02-18)
BACKGROUND. Recombinant human PDGF-BB (rhPDGF-BB) reduces Parkinsonian symptoms and increases dopamine transporter (DAT) binding in several animal models of Parkinson's disease (PD). Effects of rhPDGF-BB are the result of proliferation of ventricular wall progenitor cells and reversed by blocking mitosis.
Jin-Woo Lee et al.
Journal of hematology & oncology, 14(1), 148-148 (2021-09-18)
Little is known about endogenous inhibitors of angiogenic growth factors. In this study, we identified a novel endogenous anti-angiogenic factor expressed in pericytes and clarified its underlying mechanism and clinical significance. Herein, we found Kai1 knockout mice showed significantly enhanced
Global Trade Item Number
| SKU | GTIN |
|---|---|
| 07-1437 | 04053252337048 |