Sign In to View Organizational & Contract Pricing.
Select a Size
Change View
About This Item
UNSPSC Code:
12352203
NACRES:
NA.41
eCl@ss:
32160702
Clone:
polyclonal
Species reactivity:
human, mouse
Application:
ICC, IHC, WB
Citations:
-
biological source
rabbit
Quality Level
antibody form
affinity isolated antibody
antibody product type
primary antibodies
clone
polyclonal
purified by
affinity chromatography
species reactivity
human, mouse
technique(s)
immunocytochemistry: suitable, immunohistochemistry: suitable (paraffin), western blot: suitable
NCBI accession no.
UniProt accession no.
shipped in
wet ice
target post-translational modification
unmodified
Gene Information
human ... XRCC2(7516)
General description
X-ray repair cross-complementing protein (XRCC2) is a member of the RecA family which is essential for DNA repair and maintenance. XRCC2 also belongs to the Rad51 subfamily of proteins involved in double stranded DNA break repair. XRCC2 is thought to encode a member of the RecA/Rad51 related protein family which maintains chromosome stability and repairs DNA damage. XRCC2 and RAD51 interact to form a multimeric ring in the absence of DNA. XRCC2 is thought to load Rad51 onto gapped DNA.
~32 kDa
Immunogen
A synthetic peptide corresponding to amino acids 206-217 of XRCC2.
Application
Immunocytochemistry:
Anti-XRCC2 polyclonal was used in immunocytochemistry to positively stain the nucleus on A431, NIH/3T3 and HeLa cells.
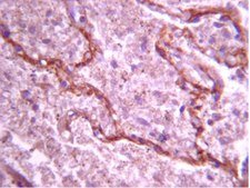
Immunohistochemistry(paraffin): Anti-XRCC2 antibody was used for immunohistochemistry on human lung tissue.
Formalin-fixed and paraffin-embedded Human lung tissue stained with anti-XRCC2 (1:100) with Citrate pH 6.0 (HIER).
Anti-XRCC2 polyclonal was used in immunocytochemistry to positively stain the nucleus on A431, NIH/3T3 and HeLa cells.
Immunohistochemistry(paraffin): Anti-XRCC2 antibody was used for immunohistochemistry on human lung tissue.
Formalin-fixed and paraffin-embedded Human lung tissue stained with anti-XRCC2 (1:100) with Citrate pH 6.0 (HIER).
Research Category
Epigenetics & Nuclear Function
Epigenetics & Nuclear Function
Research Sub Category
Cell Cycle, DNA Replication & Repair
Cell Cycle, DNA Replication & Repair
Use Anti-XRCC2 Antibody (rabbit polyclonal antibody) validated in IHC(P), WB, ICC to detect XRCC2 also known as DNA repair protein XRCC2, X-ray repair complementing defective repair in Chinese hamster cells 2.
Biochem/physiol Actions
This antibody recognizes XRCC2.
Physical form
Affinity purified polyclonal precipitated in ammonium sulfate.
Rabbit polyclonal precipitated antibody in a solution of 50% saturated ammonium sulfate and PBS containing no preservatives
Preparation Note
Stable for 1 year at -20°C from date of receipt.
Handling Recommendations: Upon first thaw, and prior to removing the cap, centrifuge the vial and gently mix the solution. Aliquot into microcentrifuge tubes and store at -20°C. Avoid repeated freeze/thaw cycles, which may damage IgG and affect product performance.
Handling Recommendations: Upon first thaw, and prior to removing the cap, centrifuge the vial and gently mix the solution. Aliquot into microcentrifuge tubes and store at -20°C. Avoid repeated freeze/thaw cycles, which may damage IgG and affect product performance.
Analysis Note
Control
Jurkat cell lysate, human lung, NIH/3T3, A431, HeLa cells.
Jurkat cell lysate, human lung, NIH/3T3, A431, HeLa cells.
Western Blot Analysis:
1:500 dilution of this antibody detected XRCC2 in 10 µg of a Jurkat cell lysate.
1:500 dilution of this antibody detected XRCC2 in 10 µg of a Jurkat cell lysate.
Other Notes
Replaces: MABE556
Disclaimer
Unless otherwise stated in our catalog or other company documentation accompanying the product(s), our products are intended for research use only and are not to be used for any other purpose, which includes but is not limited to, unauthorized commercial uses, in vitro diagnostic uses, ex vivo or in vivo therapeutic uses or any type of consumption or application to humans or animals.
Still not finding the right product?
Try our Product Selector Tool to narrow your options
Storage Class
12 - Non Combustible Liquids
wgk
WGK 2
flash_point_f
Not applicable
flash_point_c
Not applicable
Certificates of Analysis (COA)
Search for Certificates of Analysis (COA) by entering the products Lot/Batch Number. Lot and Batch Numbers can be found on a product’s label following the words ‘Lot’ or ‘Batch’.
Already Own This Product?
Find documentation for the products that you have recently purchased in the Document Library.
Global Trade Item Number
| SKU | GTIN |
|---|---|
| 07-1614 | 04053252404740 |