Skip to Content
Merck
CN

07-471

Anti-Daxx Antibody

serum, Upstate®

Synonym(s):

Anti-BING2, Anti-DAP6, Anti-EAP1, Anti-SMIM40

Sign In to View Organizational & Contract Pricing.

Select a Size

Change View

About This Item

UNSPSC Code:
12352203
NACRES:
NA.41
eCl@ss:
32160702
Conjugate:
unconjugated
Clone:
polyclonal
Application:
ICC, IP, WB
Citations:
43
Technical Service
Need help? Our team of experienced scientists is here for you.
Let Us Assist


biological source

rabbit

Quality Level

conjugate

unconjugated

antibody form

serum

antibody product type

primary antibodies

clone

polyclonal

species reactivity

human, rat, mouse, hamster

manufacturer/tradename

Upstate®

technique(s)

immunocytochemistry: suitable, immunoprecipitation (IP): suitable, western blot: suitable

isotype

IgG

NCBI accession no.

UniProt accession no.

shipped in

dry ice

target post-translational modification

unmodified

Gene Information

hamster ... Daxx(101836409)
human ... DAXX(1616)
mouse ... Daxx(13163)
rat ... Daxx(140926)

General description

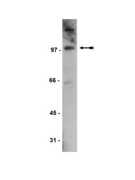
110 kDa

Immunogen

GST fusion protein corresponding to residues 472-740 of human Daxx.

Application

Anti-Daxx Antibody is an antibody against Daxx for use in IP, WB & IC.

Biochem/physiol Actions

Daxx

Analysis Note

Control
Positive Antigen Control: Catalog #12-309, Hela cell nuclear extract. Add an equal volume of Laemmli reducing sample buffer to 10 μL of extract and boil for 5 minutes to reduce the preparation. Load 20 μg of reduced extract per lane for minigels.
routinely evaluated by immunoblot in HeLa nuclear extract

Other Notes

Replaces: 04-445

Legal Information

UPSTATE is a registered trademark of Merck KGaA, Darmstadt, Germany


Still not finding the right product?

Try our Product Selector Tool to narrow your options


Storage Class

10 - Combustible liquids

wgk

WGK 1



Certificates of Analysis (COA)

Search for Certificates of Analysis (COA) by entering the products Lot/Batch Number. Lot and Batch Numbers can be found on a product’s label following the words ‘Lot’ or ‘Batch’.

Already Own This Product?

Find documentation for the products that you have recently purchased in the Document Library.

Visit the Document Library



SUMO pathway dependent recruitment of cellular repressors to herpes simplex virus type 1 genomes.
Cuchet-Lourenco, D; Boutell, C; Lukashchuk, V; Grant, K; Sykes, A; Murray, J; Orr, A; Everett, RD
PLoS Pathogens null
Control of human adenovirus type 5 gene expression by cellular Daxx/ATRX chromatin-associated complexes.
Schreiner, S; Burck, C; Glass, M; Groitl, P; Wimmer, P; Kinkley, S; Mund, A; Everett, RD; Dobner, T
Nucleic Acids Research null
Roger D Everett
Journal of virology, 90(1), 167-179 (2015-10-16)
Intrinsic immunity is an aspect of antiviral defense that operates through diverse mechanisms at the intracellular level through a wide range of constitutively expressed cellular proteins. In the case of herpesviruses, intrinsic resistance involves the repression of viral gene expression



Global Trade Item Number

SKUGTIN
07-47104053252734441