Skip to Content
Merck
CN

374090

Anti-Heme Oxygenase-1 (1-30) Rabbit pAb

liquid, Calbiochem®

Synonym(s):

Anti-HO-1, Anti-Hsp32

Sign In to View Organizational & Contract Pricing.

Select a Size

Change View

About This Item

NACRES:
NA.41
UNSPSC Code:
12352203
Clone:
polyclonal
Species reactivity:
human, hamster, monkey, mouse, rat, canine
Application:
Citations:
2
Technical Service
Need help? Our team of experienced scientists is here for you.
Let Us Assist


biological source

rabbit

Quality Level

antibody form

purified antibody

antibody product type

primary antibodies

clone

polyclonal

form

liquid

contains

≤0.1% sodium azide as preservative

species reactivity

human, hamster, monkey, mouse, rat, canine

manufacturer/tradename

Calbiochem®

storage condition

OK to freeze, avoid repeated freeze/thaw cycles

dilution

(Immunoblotting (1:1000, chemiluminescence)
Immunoprecipitation (1:100))

isotype

IgG

shipped in

ambient

storage temp.

−20°C

target post-translational modification

unmodified

Gene Information

human ... HMOX1(3162)

General description

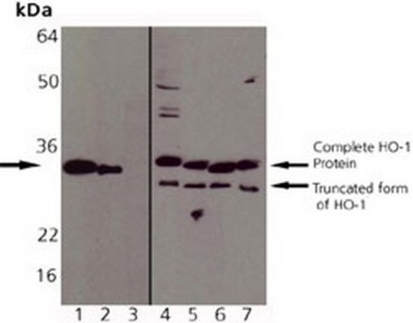
Anti-Heme Oxygenase-1 (1-30), rabbit polyclonal, recognizes the ~32 kDa HO-1 protein. Does not cross-react with HO-2. It is validated for use in Western blotting and immunoprecipitation.
Protein A purified rabbit polyclonal antibody. Recognizes the ~32 kDa HO-1 protein.
Recognizes the ~32 kDa HO-1 protein. Does not cross-react with HO-2.

Immunogen

Human
a synthetic peptide (MERPQPDSMPQDLSEALKEATKEVHTQAEN) corresponding to amino acids 1-30 of human HO-1 prepared as a four-branched multiple antigen peptide

Application

Immunoblotting (1:1000, chemiluminescence)

Immunoprecipitation (1:100)

Physical form

In PBS, 50% glycerol, pH 7.2.

Preparation Note

Following initial thaw, aliquot and freeze (-20°C).

Other Notes

Does not cross-react with HO-2. Variables associated with assay conditions will dictate the proper working dilution.
Maines, M.D. 1988 FASEB J.2, 2557.
Kutty, R.K., et al. 1994. J. Cell Physiol.159, 371.
Yoshida, T., et al. 1988. Eur. J. Biochem. 171, 457.
Trakshel, G.M., et al. 1986 J. Biol. Chem.261, 11131.

Legal Information

CALBIOCHEM is a registered trademark of Merck KGaA, Darmstadt, Germany

Disclaimer

Toxicity: Standard Handling (A)


Still not finding the right product?

Try our Product Selector Tool to narrow your options


Storage Class

10 - Combustible liquids

wgk

WGK 1



Certificates of Analysis (COA)

Search for Certificates of Analysis (COA) by entering the products Lot/Batch Number. Lot and Batch Numbers can be found on a product’s label following the words ‘Lot’ or ‘Batch’.

Already Own This Product?

Find documentation for the products that you have recently purchased in the Document Library.

Visit the Document Library



Cheol Park et al.
Marine drugs, 17(4) (2019-04-25)
Phloroglucinol (PG) is a component of phlorotannins, which are abundant in marine brown alga species. Recent studies have shown that PG is beneficial in protecting cells from oxidative stress. In this study, we evaluated the protective efficacy of PG in
Yun-Ta Liu et al.
Nutrients, 12(2) (2020-02-23)
14-Deoxy-11,12-didehydroandrographolide (deAND), a diterpenoid in Andrographis paniculata (Burm. f.) Nees, acts as a bioactive phytonutrient that can treat many diseases. To investigate the protective effects of deAND on reducing fatty liver disease, male mice were fed a high-fat and high-cholesterol



Global Trade Item Number

SKUGTIN
374090-100UL04055977191172