Skip to Content
Merck
CN

AB10557

Anti-Lhx2 Antibody

from rabbit, purified by affinity chromatography

Synonym(s):

Homeobox protein LH-2, LIM HOX gene 2, LIM homeobox 2, LIM homeobox protein 2

Sign In to View Organizational & Contract Pricing.

Select a Size

Change View

About This Item

UNSPSC Code:
12352203
NACRES:
NA.41
eCl@ss:
32160702
Conjugate:
unconjugated
Clone:
polyclonal
Application:
IHC
Citations:
3
Technical Service
Need help? Our team of experienced scientists is here for you.
Let Us Assist


biological source

rabbit

Quality Level

conjugate

unconjugated

antibody form

affinity purified immunoglobulin

antibody product type

primary antibodies

clone

polyclonal

purified by

affinity chromatography

species reactivity

human

species reactivity (predicted by homology)

horse, bovine (93%), dog

technique(s)

immunohistochemistry: suitable

NCBI accession no.

UniProt accession no.

shipped in

wet ice

target post-translational modification

unmodified

Gene Information

human ... LHX2(9355)

General description

Approx. 44 kDa
LIM homeobox 2, also known as LHX2, is a gene that belongs to the LIM homeobox family. These genes seem to play an important role in asymmetric cell division, tissue specification and differentiation of specific cell types. LHX2 is expressed in developing B-cells, the forebrain, liver, during embryonic development when limbs and organs are developing, in the optic stalk, and olfactory epithelia. Studies have shown that under-expression of LHX2 during embryonic development causes hepatic fibrosis.

Immunogen

This antibody is generated from rabbits immunized with a KLH conjugated linear peptide selected from residues of human LHX2.

Application

This Anti-Lhx2 Antibody is validated for use in IH for the detection of Lhx2.

Biochem/physiol Actions

Mouse (80%) homology.
This antibody recognizes LHX2.

Analysis Note

Control
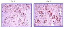
Human hippocampal and mouse cerebellum tissue.
Evaluated by Immunohistochemistry in human hippocampal and mouse cerebellum tissue.
Immunohistochemistry Analysis: 1:100-500 dilution of this lot detected LHX2 in human hippocampal tissue and mouse cerebellum.

Other Notes

Concentration: Please refer to the Certificate of Analysis for the lot-specific concentration.


Still not finding the right product?

Explore all of our products under Anti-Lhx2 Antibody

or

Try our Product Selector Tool to narrow your options


Storage Class

12 - Non Combustible Liquids

wgk

WGK 1

flash_point_f

Not applicable

flash_point_c

Not applicable



Certificates of Analysis (COA)

Search for Certificates of Analysis (COA) by entering the products Lot/Batch Number. Lot and Batch Numbers can be found on a product’s label following the words ‘Lot’ or ‘Batch’.

Already Own This Product?

Find documentation for the products that you have recently purchased in the Document Library.

Visit the Document Library



Development of retinal pigment epithelium from human parthenogenetic embryonic stem cells and microRNA signature.
Li, WB; Zhang, YS; Lu, ZY; Dong, LJ; Wang, FE; Dong, R; Li, XR
Investigative Ophthalmology & Visual Science null
Jin-Chong Xu et al.
Science translational medicine, 8(333), 333ra48-333ra48 (2016-04-08)
Translating neuroprotective treatments from discovery in cell and animal models to the clinic has proven challenging. To reduce the gap between basic studies of neurotoxicity and neuroprotection and clinically relevant therapies, we developed a human cortical neuron culture system from



Global Trade Item Number

SKUGTIN
AB1055704053252513855