Skip to Content
Merck
CN

AB152

Anti-Tyrosine Hydroxylase Antibody

CHEMICON®, rabbit polyclonal

Synonym(s):

Tyrosine 3-hydroxylase, Tyrosine 3-monooxygenase, tyrosine hydroxylase, TH

Sign In to View Organizational & Contract Pricing.

Select a Size

Change View

About This Item

UNSPSC Code:
12352203
eCl@ss:
32160702
NACRES:
NA.41
Clone:
polyclonal
Species reactivity:
human, mollusk, feline, ferret, Aplysia (marine mollusc), rat, squid, Drosophila, mouse
Application:
ELISA, IF, IHC (p), IP, WB
Citations:
925
Technical Service
Need help? Our team of experienced scientists is here for you.
Let Us Assist


Product Name

Anti-Tyrosine Hydroxylase Antibody, Chemicon®, from rabbit

biological source

rabbit

Quality Level

antibody form

affinity isolated antibody

antibody product type

primary antibodies

clone

polyclonal

purified by

affinity chromatography

species reactivity

human, mollusk, feline, ferret, Aplysia (marine mollusc), rat, squid, Drosophila, mouse

manufacturer/tradename

Chemicon®

technique(s)

ELISA: suitable, immunofluorescence: suitable, immunohistochemistry (formalin-fixed, paraffin-embedded sections): suitable, immunoprecipitation (IP): suitable, western blot: suitable

NCBI accession no.

UniProt accession no.

shipped in

dry ice

target post-translational modification

unmodified

Gene Information

human ... TH(7054)
rat ... Th(25085)

General description

62 kDa
Tyrosine hydroxylase (also know as Tyrosine 3-hydroxylase and Tyrosine 3-monooxygenase) plays an important role in the physiology of adrenergic neurons. It is the first and rate-limiting enzyme involved in the biosynthesis of the catecholamines Dopamine and Norepinephrine from tyrosine. TH is, therefore, a useful marker for dopaminergic and noradrenergic neurons. The enzymatic activity of TH requires ferrous ions as cofactors and is believed to be regulated by phosphorylation. At least four isoforms of human TH have been identified which result from alternative splicing.

Immunogen

Denatured tyrosine hydroxylase from rat pheochromocytoma (denatured by sodium dodecyl sulfate).

Application

Anti-Tyrosine Hydroxylase Antibody detects level of TH and has been published and validated for use in ELISA, IF, IH, IH(P), IP and WB.
Immunohistochemistry:
A previous lot of this antibody was uesd at 1:100-1:1,000 dilution, 4°C, for 1-3 days. Stains both fresh frozen and paraffin embedded tissue samples by indirect immunofluorescence and immunoperoxidase.

Immunofluorescence:
A previous lot of this antibody was used at 1:100-1:1,000 dilution.

Immunoprecipitation:
A previous lot of this antibody was used on Immunoprecipitation.

ELISA:
A previous lot of this antibody was used in ELISA.

Optimal dilutions must be determined by the end user.
Research Category
Neuroscience
Research Sub Category
Neurotransmitters & Receptors

Neuronal & Glial Markers

Biochem/physiol Actions

Anti-Tyrosine Hydroxylase Antibodies react with most mammalian and many non-mammalian species. It has been reported that this antibody does not work on paraffin-embedded human tissue
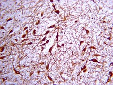
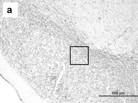
Tyrosine hydroxylase. By western blot, AB152 selective labels a single band at approximately 62kDa (reduced) corresponding to Tyrosine Hydroxylase. It is expected that the antibody will react with most mammalian and many non-mammalian species. It has been reported that this antibody does not work on paraffin embedded human tissue.

Physical form

Affinity purified
Purified rabbit polyclonal in buffer containing liquid in 10 mM HEPES (pH 7.5), 150 mM NaCl (pH 7.5), 100 ug/mL BSA and 50% glycerol.

Preparation Note

Maintain frozen at -20ºC to -70ºC in undiluted aliquots for up to 6 months after date of receipt. Avoid repeated freeze/thaw cycles. Do not store in a self defrosting freezer.

Analysis Note

Control
POSITIVE CONTROL: Brain (corpus striatum, sympathetic nerve terminals) and adrenal glands.
NEGATATIVE CONTROL: Liver.
Routinely evaluated by Western Blot on PC12 lysates.

Western Blot Analysis:
1:1000 dilution of this lot detected tyrosine hydroxylase on 10 μg of PC12 lysates.

Legal Information

CHEMICON is a registered trademark of Merck KGaA, Darmstadt, Germany

Disclaimer

Unless otherwise stated in our catalog or other company documentation accompanying the product(s), our products are intended for research use only and are not to be used for any other purpose, which includes but is not limited to, unauthorized commercial uses, in vitro diagnostic uses, ex vivo or in vivo therapeutic uses or any type of consumption or application to humans or animals.


Still not finding the right product?

Explore all of our products under Anti-Tyrosine Hydroxylase Antibody

or

Try our Product Selector Tool to narrow your options


Storage Class

10 - Combustible liquids



Certificates of Analysis (COA)

Search for Certificates of Analysis (COA) by entering the products Lot/Batch Number. Lot and Batch Numbers can be found on a product’s label following the words ‘Lot’ or ‘Batch’.

Already Own This Product?

Find documentation for the products that you have recently purchased in the Document Library.

Visit the Document Library


Protocols

Tips and troubleshooting for FFPE and frozen tissue immunohistochemistry (IHC) protocols using both brightfield analysis of chromogenic detection and fluorescent microscopy.

Articles

抗体可与特定的抗原结合,产生独特的抗体-抗原复合物。本文讨论这一连接键的性质,以及其作为分子标签的研究应用。

免疫荧光法(IF)通过在抗体标记上荧光分子,然后使用激光器激发荧光,包括蛋白质的定位、验证翻译后修饰或活化以及与其他蛋白质的邻近和复合等操作。

探索抗体处理基础知识,包括有关结构、类别和正常免疫球蛋白系列的技术信息。

View All Articles

Related Content

抗体的质量决定了整个免疫检测的成败, 是在选择抗体时首选的考虑因素。基于Sigma®、Chemicon®、Upstate®、Mil l ipore®、 Calbiochem®和Novagen®等子品牌的强强联合,默克在创新的 免疫原设计、免疫、挑选、筛选和验证等方面有着数十年的经验, 创造出许多被广泛使用的抗体,如4G10,Neun,组蛋白修饰等抗 体都是相关领域的“金标”抗体。 我们的技术和科研背景使默克成为高质量抗体的主要设计者和生产 者,而不仅仅是经销商。毋庸置疑,我们的每个小瓶中的抗体都包 含着大量的科学研究成果。


Splanchnic sympathectomy prevents translocation and spreading of E coli but not S aureus in liver cirrhosis.
Worlicek M, Knebel K, Linde HJ, Moleda L, Scholmerich J, Straub RH, Wiest R
Gut null
Axon guidance of mouse olfactory sensory neurons by odorant receptors and the beta2 adrenergic receptor.
Feinstein, P; Bozza, T; Rodriguez, I; Vassalli, A; Mombaerts, P
Cell null
Low density of sympathetic nerve fibers relative to substance P-positive nerve fibers in lesional skin of chronic pruritus and prurigo nodularis.
Haas S, Capellino S, Phan NQ, Bohm M, Luger TA, Straub RH, Stander S
Journal of Dermatological Science null



Global Trade Item Number

SKUGTIN
AB15204053252287138