Skip to Content
Merck
CN

AB15282

Anti-Cone Arrestin Antibody

Chemicon®, from rabbit

Synonym(s):

Anti-Arrestin-C

Sign In to View Organizational & Contract Pricing.

Select a Size

Change View

About This Item

UNSPSC Code:
12352203
NACRES:
NA.41
eCl@ss:
32160702
Conjugate:
unconjugated
Clone:
polyclonal
Application:
IHC, WB
Citations:
95
Technical Service
Need help? Our team of experienced scientists is here for you.
Let Us Assist


biological source

rabbit

Quality Level

conjugate

unconjugated

antibody form

affinity isolated antibody

antibody product type

primary antibodies

clone

polyclonal

mol wt

antibody estimated mol wt ~46 kDa

purified by

affinity chromatography

species reactivity

rat, mouse

manufacturer/tradename

Chemicon®

technique(s)

immunohistochemistry: suitable (paraffin), western blot: suitable

isotype

IgG

NCBI accession no.

UniProt accession no.

shipped in

wet ice

target post-translational modification

unmodified

Gene Information

mouse ... Arr3(170735)
rat ... Arr3(171107)

General description

Arrestin-C (UniProt: Q9EQP6; also known as Cone arrestin, cArr, Retinal cone arrestin-3) is encoded by the Arr3 gene (Gene ID: 170735) in murine species. Arrestins are a superfamily of multi-functional proteins that regulate signaling and trafficking of the majority of G-protein-coupled receptors (GPCRs), as well as sub-cellular localization and activity of many other signaling proteins. Arrestin-C, a disulfide-linked, homodimeric protein, is predominantly found in inner and outer segments, and the inner plexiform regions of the retina. It is expressed in cone photoreceptors and pinealocytes and may contribute to the shut-off mechanisms associated with high acuity color vision. Arrestin-C is an elongated two-domain molecule with overall fold and key inter-domain interactions that hold the free protein in the basal conformation similar to the other subtypes. Several structural elements are reported to contribute to arrestin binding. The C-terminal acidic region serves as a regulatory role in controlling arrestin binding selectivity toward the phosphorylated and activated form of a receptor. The basic N-terminal domain directly participates in receptor interaction and serves a regulatory role via intramolecular interaction with the C-terminal acidic region. Also, two centrally localized domains are directly involved in determining receptor binding specificity and selectivity. Mutations in ARR3 gene in humans have been linked to X-lined myopia 26 that is characterized by typical tigroid fundus changes commonly seen in early onset high myopia. (Ref.: Gurevich, VV., et al. (2018). Protein Cell. 9; 986-1003; Xiao, X., et al. (2016). Mol. Vis. 22; 1257-1266).
Target molecular weight ~50 kDa observed. 41.92 kDa calculated. Uncharacterized bands may be observed in some lysate(s).

Immunogen

Epitope: C-terminus
KLH-conjugated linear peptide corresponding to 12 amino acids from the C-terminal region of mouse Cone Arrestin.

Application

Anti-Cone Arrestin , Cat. No. AB15282, is a rabbit polyclonal antibody that detects Arrestin-C and is tested for use in Western Blotting and Immunohistochemistry (Paraffin).
Research Category
Neuroscience
Research Sub Category
Sensory & PNS
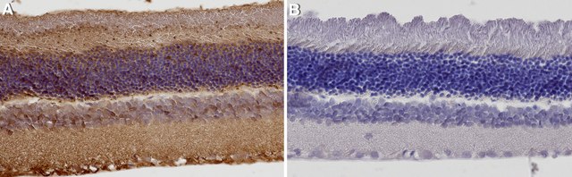
Tested Applications Immunohistochemistry (Paraffin) Analysis: A 1:250 dilution from a representative lot detected Cone Arrestin in mouse cerebellum, rat retina, and mouse retina tissue sections. Note: Actual optimal working dilutions must be determined by end user as specimens, and experimental conditions may vary with the end user

Biochem/physiol Actions

This rabbit polyclonal antibody detects Arrestin-C. It targets an epitope within 12 amino acids from the C-terminal region.

Physical form

ImmunoAffinity Purified
Purified rabbit polyclonal antibody in buffer containing 0.02 M phosphate buffer, pH 7.6, 0.25 M NaCl, and 0.1% sodium azide.

Preparation Note

Recommended storage: +2°C to +8°C.

Analysis Note

Evaluated by Western Blotting in Mouse Retina tissue lysate. Western Blotting Analysis: A 1:500 dilution of this antibody detected Arrestin-C in Mouse Retina tissue lysate.

Other Notes

Concentration: Please refer to lot specific datasheet.

Legal Information

CHEMICON is a registered trademark of Merck KGaA, Darmstadt, Germany

Disclaimer

Unless otherwise stated in our catalog or other company documentation accompanying the product(s), our products are intended for research use only and are not to be used for any other purpose, which includes but is not limited to, unauthorized commercial uses, in vitro diagnostic uses, ex vivo or in vivo therapeutic uses or any type of consumption or application to humans or animals.


Still not finding the right product?

Try our Product Selector Tool to narrow your options


wgk

WGK 2

flash_point_f

Not applicable

flash_point_c

Not applicable

Storage Class

12 - Non Combustible Liquids



Certificates of Analysis (COA)

Search for Certificates of Analysis (COA) by entering the products Lot/Batch Number. Lot and Batch Numbers can be found on a product’s label following the words ‘Lot’ or ‘Batch’.

Already Own This Product?

Find documentation for the products that you have recently purchased in the Document Library.

Visit the Document Library



Phospholipid flippase ATP8A2 is required for normal visual and auditory function and photoreceptor and spiral ganglion cell survival.
Coleman, JA; Zhu, X; Djajadi, HR; Molday, LL; Smith, RS; Libby, RT; John, SW; Molday, RS
Journal of Cell Science null
Assessment of tropism and effectiveness of new primate-derived hybrid recombinant AAV serotypes in the mouse and primate retina.
Charbel Issa, P; De Silva, SR; Lipinski, DM; Singh, MS; Mouravlev, A; You, Q; Barnard et al.
Testing null
Sensitivity and kinetics of signal transmission at the first visual synapse differentially impact visually-guided behavior.
Sarria, I; Pahlberg, J; Cao, Y; Kolesnikov, AV; Kefalov, VJ; Sampath, AP; Martemyanov, KA
eLife null



Global Trade Item Number

SKUGTIN
AB1528204053252283796