Sign In to View Organizational & Contract Pricing.
Select a Size
Change View
About This Item
UNSPSC Code:
12352203
NACRES:
NA.41
eCl@ss:
32160702
Conjugate:
unconjugated
Clone:
polyclonal
Application:
IHC, RIA
Citations:
74
biological source
rabbit
Quality Level
conjugate
unconjugated
antibody form
serum
antibody product type
primary antibodies
clone
polyclonal
species reactivity
human, mouse, rat
manufacturer/tradename
Chemicon®
technique(s)
immunohistochemistry: suitable (paraffin), radioimmunoassay: suitable
NCBI accession no.
UniProt accession no.
shipped in
dry ice
target post-translational modification
unmodified
Gene Information
human ... TAC1(6863)
General description
Substance P is a tachykinin family neuropeptide that functions as a neurotransmitter and neuromodulator. In the CNS, Substance P is involved in the regulation of mood, anxiety, sleep, saiety, reinforcement, respiratory rhythm and pain processing. In nociception, the neuropeptide is released at local spinal cord synapse. Recent research now shows substance P is potentially involved in endothelial cell differentiation as well as diverse roles in neuroinflammatory response. The endogenous receptor for Substance P is neurokinin 1 receptor (NK1 receptor), which belongs to the tachykinin receptor sub-family of GPCRs.
Application
RIA:
1:10,000 dilution from a previous lot was used in radioimmunioassay. 80% binding detects at least 5 pg/mL.
Optimal working dilutions must be determined by the end user.
1:10,000 dilution from a previous lot was used in radioimmunioassay. 80% binding detects at least 5 pg/mL.
Optimal working dilutions must be determined by the end user.
Research Category
Neuroscience
Neuroscience
Research Sub Category
Neuroinflammation & Pain
Neuroinflammation & Pain
This Anti-Substance P Antibody, pain is validated for use in IH(P), RIA for the detection of Substance P.
Biochem/physiol Actions
Substance P
Physical form
Rabbit polyclonal serum containing 0.1% sodium azide.
Unpurified
Preparation Note
Stable for 1 year at -20ºC from date of receipt.
Analysis Note
Control
Spinal Cord.
Spinal Cord.
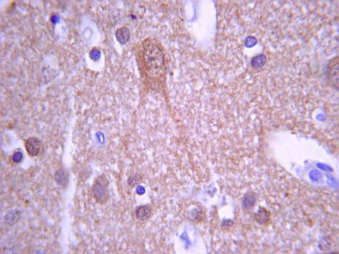
Immunohistochemistry(paraffin):
Substance P (AB1566) representative staining pattern/morphology in Alzheimer’s brain. Tissue pretreated with Citrate pH6.0, antigen retrieval. Antibody diluted to 1:100.
IHC-Paraffin Staining With Citrate pH 6.0 Epitope Retrieval: Alzheimer’s Brain.
Substance P (AB1566) representative staining pattern/morphology in Alzheimer’s brain. Tissue pretreated with Citrate pH6.0, antigen retrieval. Antibody diluted to 1:100.
IHC-Paraffin Staining With Citrate pH 6.0 Epitope Retrieval: Alzheimer’s Brain.
Other Notes
Concentration: Please refer to the Certificate of Analysis for the lot-specific concentration.
Legal Information
CHEMICON is a registered trademark of Merck KGaA, Darmstadt, Germany
Disclaimer
Unless otherwise stated in our catalog or other company documentation accompanying the product(s), our products are intended for research use only and are not to be used for any other purpose, which includes but is not limited to, unauthorized commercial uses, in vitro diagnostic uses, ex vivo or in vivo therapeutic uses or any type of consumption or application to humans or animals.
Still not finding the right product?
Try our Product Selector Tool to narrow your options
Storage Class
10 - Combustible liquids
wgk
WGK 1
Certificates of Analysis (COA)
Search for Certificates of Analysis (COA) by entering the products Lot/Batch Number. Lot and Batch Numbers can be found on a product’s label following the words ‘Lot’ or ‘Batch’.
Already Own This Product?
Find documentation for the products that you have recently purchased in the Document Library.
Aristea Sideri et al.
Cellular and molecular gastroenterology and hepatology, 1(4), 420-432 (2015-11-07)
Substance P (SP), neurokinin-1 receptors (NK-1Rs) are expressed in mesenteric preadipocytes and SP binding activates proinflammatory signalling in these cells. We evaluated the expression levels of SP (Tac-1), NK-1R (Tacr-1), and NK-2R (Tacr-2) mRNA in preadipocytes isolated from patients with
Distribution of Neuropeptides in Endocrine and Exocrine Pancreas of Long-Legged Buzzard (Buteo rufinus): An Immunohistochemical Study.
Bayrakdar A, Yaman M, Atalar O, Tarakci BG, Ceribasi S
Regulatory Peptides null
Immunoneutralization of substance P attenuates the reflex pressor response to muscular contraction.
Kaufman, M P, et al.
Brain Research, 377, 199-203 (1986)
Global Trade Item Number
| SKU | GTIN |
|---|---|
| AB1566 | 04053252371981 |