Skip to Content
Merck
CN

AB2257

Anti-Vesicular GABA Transporter Antibody

serum, from rabbit

Synonym(s):

GABA and glycine transporter, Solute carrier family 32 member 1, Vesicular GABA transporter, solute carrier family 32 (GABA vesicular transporter), member 1, solute carrier family 32, member 1, vesicular inhibitory amino acid transporter

Sign In to View Organizational & Contract Pricing.

Select a Size

Change View

About This Item

UNSPSC Code:
12352203
NACRES:
NA.41
eCl@ss:
32160702
Conjugate:
unconjugated
Clone:
polyclonal
Application:
IHC, WB
Citations:
4
Technical Service
Need help? Our team of experienced scientists is here for you.
Let Us Assist


biological source

rabbit

Quality Level

conjugate

unconjugated

antibody form

serum

antibody product type

primary antibodies

clone

polyclonal

species reactivity

rat

species reactivity (predicted by homology)

monkey, human

technique(s)

immunohistochemistry: suitable, western blot: suitable

NCBI accession no.

UniProt accession no.

shipped in

wet ice

target post-translational modification

unmodified

Gene Information

human ... SLC32A1(140679)
mouse ... Slc32A1(22348)

General description

Approx. 57 kDa
Vesicular GABA transporter (VGAT), the first vesicular amino acid transporter to be molecularly identified, differs in structure from previously cloned vesicular neurotransmitter transporters and defines a novel gene family. VGAT is highly concentrated in the nerve endings of GABAergic neurons in the brain and spinal cord but also in glycinergic nerve endings. In contrast, hippocampal mossy fiber boutons, which are glutamatergic but known to contain GABA, lack VGAT immunoreactivity. Although the great majority of nerve terminals containing GABA or glycine are immunopositive for VGAT, subpopulations of nerve endings rich in GABA or glycine appear to lack the protein. Additional vesicular transporters or alternative modes of release may therefore contribute to the inhibitory neurotransmission mediated by these two amino acids.

Immunogen

Epitope: C-terminus
KLH conjugated Vesicular GABA Transporter corresponding to the C-terminus.

Application

Anti-Vesicular GABA Transporter Antibody is an antibody against Vesicular GABA Transporter for use in WB, IH.
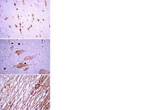
Immunohistochemistry Analysis:
1:50 - 1:500 dilution from a previous lot detected vesiluar GABA transporter using IHC-Select Detection with HRP-DAB.
Research Category
Neuroscience
Research Sub Category
Ion Channels & Transporters

Biochem/physiol Actions

Cat. # AB2257 recognizes VGAT.

Physical form

Antigen Affinity Purified
Rabbit polyclonal serum in buffer containing 0.1M Tris-Glycine (pH7.4) 15mM NaCl with 0.05% NaN3.

Preparation Note

Stable for 1 year at 2-8ºC from date of receipt.

Analysis Note

Control
Rat brain lysate.
Routinely evaluated by Western Blot on rat brain lysates.

Western Blot Analysis:
1:500 - 1:1,000 dilution of this lot detected vesicular GABA transporter on 10 µg of rat brain lysate.

Other Notes

Concentration: Please refer to the Certificate of Analysis for the lot-specific concentration.

Disclaimer

Unless otherwise stated in our catalog or other company documentation accompanying the product(s), our products are intended for research use only and are not to be used for any other purpose, which includes but is not limited to, unauthorized commercial uses, in vitro diagnostic uses, ex vivo or in vivo therapeutic uses or any type of consumption or application to humans or animals.


Still not finding the right product?

Try our Product Selector Tool to narrow your options


Storage Class

12 - Non Combustible Liquids

wgk

WGK 1

flash_point_f

Not applicable

flash_point_c

Not applicable



Certificates of Analysis (COA)

Search for Certificates of Analysis (COA) by entering the products Lot/Batch Number. Lot and Batch Numbers can be found on a product’s label following the words ‘Lot’ or ‘Batch’.

Already Own This Product?

Find documentation for the products that you have recently purchased in the Document Library.

Visit the Document Library



In vivo imaging of intersynaptic vesicle exchange using VGLUT1 Venus knock-in mice.
Herzog, E; Nadrigny, F; Silm, K; Biesemann, C; Helling, I; Bersot, T; Steffens et al.
The Journal of Neuroscience null
Christina M Ragan et al.
Frontiers in global women's health, 2, 746518-746518 (2022-02-26)
Upregulation of the inhibitory neurotransmitter, GABA, is involved in many of the behavioral differences between postpartum and nulliparous female rodents. This is evidenced by studies showing that pharmacological blockade of GABAergic activity impairs maternal caregiving and postpartum affective behaviors. However
Gisella Vetere et al.
Nature neuroscience, 24(5), 685-693 (2021-03-31)
Memories are supported by distributed hippocampal-thalamic-cortical networks, but the brain regions that contribute to network activity may vary with memory age. This process of reorganization is referred to as systems consolidation, and previous studies have examined the relationship between the



Global Trade Item Number

SKUGTIN
AB225704053252327384