Skip to Content
Merck
CN

AB5078P

Anti-Beta (β)-Amyloid antibody

CHEMICON®, rabbit polyclonal

Synonym(s):

Anti-AAA, Anti-ABETA, Anti-ABPP, Anti-AD1, Anti-APPI, Anti-CTFgamma, Anti-CVAP, Anti-PN-II, Anti-PN2, Anti-alpha-sAPP, Anti-preA4

Sign In to View Organizational & Contract Pricing.

Select a Size

Change View

About This Item

UNSPSC Code:
12352203
eCl@ss:
32160702
NACRES:
NA.41
Clone:
polyclonal
Species reactivity:
chicken, mouse, human
Application:
ELISA, IHC (p), WB
Citations:
86
Technical Service
Need help? Our team of experienced scientists is here for you.
Let Us Assist


Product Name

Anti-Beta-Amyloid 1-42 Antibody, Chemicon®, from rabbit

biological source

rabbit

Quality Level

antibody form

affinity purified immunoglobulin

antibody product type

primary antibodies

clone

polyclonal

purified by

affinity chromatography

species reactivity

chicken, mouse, human

manufacturer/tradename

Chemicon®

technique(s)

ELISA: suitable, immunohistochemistry (formalin-fixed, paraffin-embedded sections): suitable, western blot: suitable

NCBI accession no.

UniProt accession no.

shipped in

wet ice

target post-translational modification

unmodified

Gene Information

human ... APP(351)

General description

The cerebral and vascular plaques associated with Alzheimer′s disease (AD) are mainly composed of amyloid beta peptides (Ab). Ab is derived from cleavage of the amyloid precursor protein (APP) and varies in length from 39 to 43 amino acids. Ab [1-40], Ab [1-42], and Ab [1-43] peptides result from cleavage of APP after residues 40, 42, and 43, respectively. The cleavage takes place by gamma-secretase during the last APP processing step. Ab [1-40], [1-42] and [1-43] peptides are major constituents of the plaques and tangles that occur in AD. Ab antibodies and peptides have been developed as tools for elucidating the biology of AD.

Immunogen

A six amino acid peptide sequence from the C-terminal of human beta-amyloid 1-42.
Epitope: C-terminus

Application

Anti-Beta-Amyloid 1-42 Antibody is an antibody against Beta-Amyloid 1-42 for use in ELISA, IH, IH(P) & WB.
Immunohistochemistry (Paraffin) Analysis:

Western Blot:
1-10 µg/mL of a previous lot was used. (Chemiluminescence technique).

ELISA:
1:10,000-1:100,000 of a previous lot was used using 50-100 ng immunogen peptide/well.

Optimal working dilutions must be determined by the end user.
Research Category
Neuroscience
Research Sub Category
Neurodegenerative Diseases

Biochem/physiol Actions

Recognizes beta-amyloid 1-42. Antibody does not show appreciable reactivity with beta amyloid 1-40 as detected by ELISA.
One of the most important and initial steps which causes loss of memory and cognition in Alzheimer’s Disease (AD) involves proteolytic cleavage of amyloid precursor protein (APP, chromosome 21) releasing short 40, 42 & 43 amino acid peptides (beta amyloid 1-40, 1-42 and 1-43). Polymerization of beta-amyloid and subsequent neuronal deposit (amyloid) leads to the degeneration of neurons involved in memory and cognition.

Physical form

ImmunoAffinity Purified
Purified rabbit polyclonal in liquid buffer containing PBS with 0.1% BSA.

Preparation Note

Stable for 1 year at -20ºC from date of receipt.

Analysis Note

Control
Alzheimer′s disease brain tissue, whole tissue extracts from mouse brain. C03-801.
Routinely evaluated by immunohistochemistry (paraffin) on Alzheimer’s Disease-Brain.

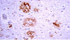
Immunohistochemistry (Paraffin) Analysis:
Beta-Amyloid (cat. # AB5078P) staining on Alzheimer’s Disease-Brain. Tissue pretreated with Citrate, pH 6.0. The antibody was diluted to 1:35, using IHC-Select Detection with HRP-DAB. Immunoreactivity is seen as staining on plaque deposits (brown) or as cerebral vascular amyloid deposition in the walls of blood vessels (brown).

Other Notes

Concentration: Please refer to the Certificate of Analysis for the lot-specific concentration.

Legal Information

CHEMICON is a registered trademark of Merck KGaA, Darmstadt, Germany

Disclaimer

Unless otherwise stated in our catalog or other company documentation accompanying the product(s), our products are intended for research use only and are not to be used for any other purpose, which includes but is not limited to, unauthorized commercial uses, in vitro diagnostic uses, ex vivo or in vivo therapeutic uses or any type of consumption or application to humans or animals.


Still not finding the right product?

Explore all of our products under Anti-Beta-Amyloid 1-42 Antibody

or

Try our Product Selector Tool to narrow your options


Storage Class

12 - Non Combustible Liquids

wgk

WGK 2

flash_point_f

Not applicable

flash_point_c

Not applicable



Certificates of Analysis (COA)

Search for Certificates of Analysis (COA) by entering the products Lot/Batch Number. Lot and Batch Numbers can be found on a product’s label following the words ‘Lot’ or ‘Batch’.

Already Own This Product?

Find documentation for the products that you have recently purchased in the Document Library.

Visit the Document Library


Related Content

Alzheimer’s Disease: Amyloid Cascade and Beyond Product Focus


Mitochondrial dihydrolipoyl succinyltransferase deficiency accelerates amyloid pathology and memory deficit in a transgenic mouse model of amyloid deposition.
M Dumont, DJ Ho, NY Calingasan, H Xu, G Gibson, MF Beal
Free radical biology & medicine null
Neuroglobin attenuates beta-amyloid neurotoxicity in vitro and transgenic Alzheimer phenotype in vivo.
Khan, AA; Mao, XO; Banwait, S; Jin, K; Greenberg, DA
Proceedings of the National Academy of Sciences of the USA null
N-iminoethyl-L-lysine improves memory and reduces amyloid pathology in a transgenic mouse model of amyloid deposition.
M Dumont, E Wille, NY Calingasan, C Nathan, M Flint Beal, MT Lin
Neurochemistry International null



Global Trade Item Number

SKUGTIN
AB5078P04053252329883