Skip to Content
Merck
CN

AB5411

Anti-Nitrotyrosine Antibody

Chemicon®, from rabbit

Synonym(s):

Nitrotyrosine antibody

Sign In to View Organizational & Contract Pricing.

Select a Size

Change View

About This Item

UNSPSC Code:
12352203
NACRES:
NA.41
eCl@ss:
32160702
Clone:
polyclonal
Species reactivity:
mouse, human
Application:
IHC, WB
Citations:
95
Technical Service
Need help? Our team of experienced scientists is here for you.
Let Us Assist


biological source

rabbit

Quality Level

antibody form

purified immunoglobulin

antibody product type

primary antibodies

clone

polyclonal

species reactivity

mouse, human

species reactivity (predicted by homology)

all

manufacturer/tradename

Chemicon®

technique(s)

immunohistochemistry: suitable (paraffin), western blot: suitable

shipped in

wet ice

target post-translational modification

unmodified

Gene Information

human ... NOS1(4842)

General description

The cellular production of highly reactive nitrogen species derived from nitric oxide, such as peroxynitrite, nitrogen dioxide and nitryl chloride, leads to the nitration of tyrosine resides in tissue proteins. The extent of protein nitrotyrosine formation provides an index of the production of reactive nitrogen species and potential cell damage over a period of time. Nitrotyrosine can be measured by amino-acid analysis of protein hydrolysates and detected, estimated semi-quantitatively and located in cells and tissues by immunocytochemical techniques using antibodies directed against the nitrotyrosine hapten.

Immunogen

Nitrated KLH.

Application

Detect Nitrotyrosine using this Anti-Nitrotyrosine Antibody validated for use in IH(P) & WB.
Research Category
Neuroscience
Research Sub Category
Oxidative Stress
Western Blot:
1:100-1:1,000 dilution of a previous lot was used sucessfully in western blot when tested against nitrated BSA and nitrated ovalbumin.

Immunohistochemistry:
1:50-1:100 on paraffin embedded, 10% neutral buffer formalin fixed mouse liver (animal treated with Zymosan) and normal human cerebellum tissues. The tissues must be pretreated with heat induced epitope retrieval (HIER). Incubation with the AB5411 was for 10 minutes and the reaction was developed with the Chemicon IHCSelect, HRP-DAB kit (Catalog number DAB150).

Optimal working dilutions must be determined by end user.

Biochem/physiol Actions

Reactivity with other species has not been determined.
Recognizes nitrated tyrosine residues.

Physical form

Format: Purified
Protein A purified
Purified rabbit polyclonal in buffer containing 0.1% sodium azide.

Preparation Note

Stable for 1 year at 2-8ºC from date of receipt.

Analysis Note

Control
POSITIVE CONTROL: Tyrosine residues can be nitrated directly in situ on tissue sections using peroxynitrite (catalog # 20-107) to create a positive control. After the tissue section is deparaffinized, the slide is covered with a drop of PBS, pH 7.4 into which 10 microliters of peroxynitrite solution are mixed. Care should be taken that the solution maintains a pH of 7.4.
Immunohistochemistry(paraffin) Analysis:
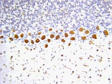
Nitrotyrosine (AB5411) staining of Mouse Brain (Zymosan), tissue pretreated with citrate buffer, pH 6.0. Polyclonal antibody was diluted to 1:500, using IHC-Select Detection with HRP-DAB. Immunoreactivity is seen in here in hippocampus.
Optimal Staining of Nitrotyrosine Monoclonal: Mouse Brain Treated With Zymosan.

Other Notes

Concentration: Please refer to the Certificate of Analysis for the lot-specific concentration.
Replaces: AB5386

Legal Information

CHEMICON is a registered trademark of Merck KGaA, Darmstadt, Germany

Disclaimer

Unless otherwise stated in our catalog or other company documentation accompanying the product(s), our products are intended for research use only and are not to be used for any other purpose, which includes but is not limited to, unauthorized commercial uses, in vitro diagnostic uses, ex vivo or in vivo therapeutic uses or any type of consumption or application to humans or animals.


Still not finding the right product?

Explore all of our products under Anti-Nitrotyrosine Antibody

or

Try our Product Selector Tool to narrow your options


Storage Class

12 - Non Combustible Liquids

wgk

WGK 2

flash_point_f

Not applicable

flash_point_c

Not applicable



Certificates of Analysis (COA)

Search for Certificates of Analysis (COA) by entering the products Lot/Batch Number. Lot and Batch Numbers can be found on a product’s label following the words ‘Lot’ or ‘Batch’.

Already Own This Product?

Find documentation for the products that you have recently purchased in the Document Library.

Visit the Document Library


Related Content

"Redox reactions are powerful chemical processes that involve the reduction and oxidation of proteins and metabolites found in living things. The mechanisms that regulate them are key to maintaining homeostasis and the balance between good health and disease pathology. Oxidative stress is the state where the delicate balance of redox biology is upset, and the pathology of oxidative stress are the cellular consequences to such an imbalance."

View All Related Content

Mardjaneh Karbalaei Sadegh et al.
British journal of pharmacology, 162(5), 1156-1170 (2010-11-26)
Caveolin-1-deficiency is associated with substantial urogenital alterations. Here, a mechanical, histological and biochemical characterization of female detrusors from wild-type and caveolin-1-deficient (KO) mice was made to increase the understanding of detrusor changes caused by lack of caveolae. Length-tension relationships were
Selective inactivation of NF-kappaB in the liver using NF-kappaB decoy suppresses CCl4-induced liver injury and fibrosis.
Son, G; Iimuro, Y; Seki, E; Hirano, T; Kaneda, Y; Fujimoto, J
American Journal of Physiology: Gastrointestinal and Liver Physiology null
Hyperglycemia accelerates apparent diffusion coefficient-defined lesion growth after focal cerebral ischemia in rats with and without features of metabolic syndrome.
Tarr, D; Graham, D; Roy, LA; Holmes, WM; McCabe, C; Mhairi Macrae, I; Muir, KW; Dewar, D
Journal of Cerebral Blood Flow and Metabolism null



Global Trade Item Number

SKUGTIN
AB541104053252284434