Skip to Content
Merck
CN

AB755P

Anti-Collagen Type I (COL1A1) Antibody

CHEMICON®, rabbit polyclonal

Synonym(s):

Anti-CAFYD, Anti-EDSC, Anti-OI1, Anti-OI2, Anti-OI3, Anti-OI4

Sign In to View Organizational & Contract Pricing.

Select a Size

Change View

About This Item

UNSPSC Code:
12352203
eCl@ss:
32160702
NACRES:
NA.41
Clone:
polyclonal
Species reactivity:
rat
Application:
ELISA, ICC, IHC, RIA
Citations:
56
Technical Service
Need help? Our team of experienced scientists is here for you.
Let Us Assist


Product Name

Anti-Rat Collagen Type I Antibody, Chemicon®, from rabbit

biological source

rabbit

Quality Level

antibody form

affinity isolated antibody

antibody product type

primary antibodies

clone

polyclonal

purified by

affinity chromatography

species reactivity

rat

manufacturer/tradename

Chemicon®

technique(s)

ELISA: suitable, immunocytochemistry: suitable, immunohistochemistry: suitable (paraffin), radioimmunoassay: suitable

isotype

IgG

suitability

not suitable for Western blot

NCBI accession no.

UniProt accession no.

shipped in

wet ice

target post-translational modification

unmodified

Gene Information

human ... COL1A1(1277)

General description

Collagen Type I extracted and purified from rat skin. Antibody shows less than 0.1% reactivity with human, mouse, chicken Collagen Type I, rat Collagen Types II, III and V and rat Elastin.

Immunogen

Collagen Type I extracted and purified from rat skin.

Application

Anti-Rat Collagen Type I Antibody is an antibody against Collagen Type I for use in ELISA, IC, IH(P), RIA.
ELISA:
A 1:200 dilution of a previous lot was used in ELISA.

RIA:
A previous lot of this antibody was used in RIA.

Immunocytochemistry:
A 1:40-1:80 dilution of a previous lot was used for immunofluorescent staining of frozen rat skin and liver tissues.
Can also be used for acetone-fixed cells.

Immunohistochemistry:
1:40-1:80 dilution for immunofluorescent staining of frozen rat skin and liver tissues. The antibody is also reactive on paraffin embedded rat tissues (skin, liver) at a tdilution of 1:500 using an ABC detection system.

Not recommended for Western blots.
Optimal working dilutions must be determined by the end user.

Biochem/physiol Actions

Recognizes Rat Collagen Type I
The antibody shows less than 0.1% reactivity with human, mouse, chicken Collagen Type I, rat Collagen Types II, III and V and rat Elastin.

Physical form

The purified antibody is supplied in a buffer containing a mixture of 0.1M Citrate, 0.1M potassium phosphate, at a pH of 7.2-7.4 and 10µl/ml of antibiotics and antimycotics.

Analysis Note

Control
Rat hepatic stellate cell lysate
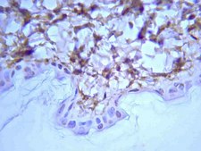
Immunohistochemistry(paraffin):
Collagen Type I (cat. # AB755P) staining pattern/morphology in rat skin. Tissue is pre-treated with Citrate pH 6.0, antigen retrieval. This lot of antibody is diluted to 1:1000, using IHC-Select reagents used with HRP-DAB. Immunoreactivity is seen fiber-staining on paraffin section. Note that the staining pattern is as expected.

IHC-Paraffin Staining With Epitope Retrieval: Rat Skin

Other Notes

Concentration: Please refer to the Certificate of Analysis for the lot-specific concentration.

Legal Information

CHEMICON is a registered trademark of Merck KGaA, Darmstadt, Germany


Still not finding the right product?

Explore all of our products under Anti-Rat Collagen Type I Antibody

or

Try our Product Selector Tool to narrow your options


Storage Class

13 - Non Combustible Solids

wgk

WGK 1

flash_point_f

Not applicable

flash_point_c

Not applicable



Certificates of Analysis (COA)

Search for Certificates of Analysis (COA) by entering the products Lot/Batch Number. Lot and Batch Numbers can be found on a product’s label following the words ‘Lot’ or ‘Batch’.

Already Own This Product?

Find documentation for the products that you have recently purchased in the Document Library.

Visit the Document Library



Thy-1 expression by cardiac fibroblasts: lack of association with myofibroblast contractile markers.
Francois Hudon-David,Fatiha Bouzeghrane,Patrick Couture,Gaetan Thibault
Journal of Molecular and Cellular Cardiology null
CCN3/CCN2 regulation and the fibrosis of diabetic renal disease.
Riser BL, Najmabadi F, Perbal B, Rambow JA, Riser ML, Sukowski E, Yeger H, Riser SC, Peterson DR
Journal of Cell Communication and Signaling null
Intraglomerular pressure and mesangial stretching stimulate extracellular matrix formation in the rat.
Riser, B L, et al.
The Journal of Clinical Investigation, 90, 1932-1943 (1992)



Global Trade Item Number

SKUGTIN
AB755P04053252339028