Sign In to View Organizational & Contract Pricing.
Select a Size
Change View
About This Item
UNSPSC Code:
12352203
NACRES:
NA.41
eCl@ss:
32160702
Conjugate:
unconjugated
Clone:
polyclonal
Application:
IHC, WB
Citations:
146
biological source
rabbit
Quality Level
conjugate
unconjugated
antibody form
affinity isolated antibody
antibody product type
primary antibodies
clone
polyclonal
purified by
affinity chromatography
species reactivity
mouse, human
species reactivity (predicted by homology)
rat
manufacturer/tradename
Chemicon®
technique(s)
immunohistochemistry: suitable (paraffin), western blot: suitable
NCBI accession no.
UniProt accession no.
shipped in
wet ice
target post-translational modification
unmodified
Gene Information
human ... MKI67(4288)
mouse ... Mki67(17345)
rat ... Mki67(291234)
General description
Ki67 antigen is the prototypic cell cycle related nuclear protein, expressed by proliferating cells in all phases of the active cell cycle (G1, S, G2 and M phase). It is absent in resting (G0) cells. Ki67 antibodies are useful in establishing the cell growing fraction in neoplasms (immunohistochemically quantified by determining the number of Ki67 positive cells among the total number of resting cells = Ki67 index). In neoplastic tissues the prognostic value is comparable to the tritiated thymidine labelling index. The correlation between low Ki67 index and histologically low grade tumours is strong. Ki67 is routinely used as a neuronal marker of cell cycling and proliferation.
Predicted: 359 kDa MW may be observed at ~345 or 395 kDa
Immunogen
Synthetic peptide from human Ki-67
Application
Detect Ki-67 with Anti-Ki-67 Antibody (Rabbit Polyclonal Antibody), that has been shown to work in IHC(P) & WB.
Immunocytochemistry:
Confolcal fluorescent analysis of A431 cells using AB9260 rabbit pAB. Actin filaments were labeled with Alexa Fluor 488 -Phalloidin. Nuclear is stained with DAPI. (Nuclear staining).
Western Blot Analysis:
A previous lot of this antibody was used in western blot.
Optimal working dilutions must be determined by the end user.
Confolcal fluorescent analysis of A431 cells using AB9260 rabbit pAB. Actin filaments were labeled with Alexa Fluor 488 -Phalloidin. Nuclear is stained with DAPI. (Nuclear staining).
Western Blot Analysis:
A previous lot of this antibody was used in western blot.
Optimal working dilutions must be determined by the end user.
Biochem/physiol Actions
Recognizes Ki-67
Physical form
Purified rabbit polyclonal in buffer containing 10 mM PBS, pH 7.4 containing BSA and sodium azide.
Analysis Note
Control
Positive Control: Breast carcinoma, lymph node tissue, normal tonsil.
Positive Control: Breast carcinoma, lymph node tissue, normal tonsil.
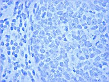
Immunohistochemistry(paraffin):
Representative lot data.
This antibody was used on formalin fixed, paraffin embedded tissue at 1:300 dilution for 10 minutes at room temperature. Staining of formalin-fixed tissues requires boiling of tissues in 10 mM citrate buffer, pH 6.0 for 10 minutes followed by cooling at room temperature for 20 minutes.
Representative lot data.
This antibody was used on formalin fixed, paraffin embedded tissue at 1:300 dilution for 10 minutes at room temperature. Staining of formalin-fixed tissues requires boiling of tissues in 10 mM citrate buffer, pH 6.0 for 10 minutes followed by cooling at room temperature for 20 minutes.
Other Notes
Concentration: Please refer to the Certificate of Analysis for the lot-specific concentration.
Legal Information
CHEMICON is a registered trademark of Merck KGaA, Darmstadt, Germany
Still not finding the right product?
Try our Product Selector Tool to narrow your options
Storage Class
12 - Non Combustible Liquids
wgk
WGK 2
flash_point_f
Not applicable
flash_point_c
Not applicable
Certificates of Analysis (COA)
Search for Certificates of Analysis (COA) by entering the products Lot/Batch Number. Lot and Batch Numbers can be found on a product’s label following the words ‘Lot’ or ‘Batch’.
Already Own This Product?
Find documentation for the products that you have recently purchased in the Document Library.
Tumor-suppressive microRNA-145 induces growth arrest by targeting SENP1 in human prostate cancer cells.
Wang, C; Tao, W; Ni, S; Chen, Q; Zhao, Z; Ma, L; Fu, Y; Jiao, Z
Cancer Science null
Evolution on experimental animal model for upper urothelium carcinogenesis.
Reis LO, Favaro WJ, Ferreira U, Billis A, Fazuoli MG, Cagnon VH
World Journal of Urology null
Evidence of the TNF-? System in the Human Achilles Tendon: Expression of TNF-? and TNF Receptor at both Protein and mRNA Levels in the Tenocytes.
James Edmund Gaida,Johan Bagge,Craig Purdam,Jill Cook,H Alfredson,Sture Forsgren
Cells Tissues Organs null
Global Trade Item Number
| SKU | GTIN |
|---|---|
| AB9260 | 08436037123436 |