Skip to Content
Merck
CN

ABC12

Anti-Bak (NT) Antibody

from rabbit, purified by affinity chromatography

Synonym(s):

Apoptosis regulator BAK, BCL2-antagonist/killer 1, BCL2-like 7 protein, Bcl-2 homologous antagonist/killer, Bcl-2-like protein 7, pro-apoptotic protein BAK

Sign In to View Organizational & Contract Pricing.

Select a Size

Change View

About This Item

UNSPSC Code:
12352203
NACRES:
NA.41
eCl@ss:
32160702
Conjugate:
unconjugated
Clone:
polyclonal
Application:
ICC, IHC, IP, WB
Citations:
3
Technical Service
Need help? Our team of experienced scientists is here for you.
Let Us Assist


biological source

rabbit

Quality Level

conjugate

unconjugated

antibody form

affinity isolated antibody

antibody product type

primary antibodies

clone

polyclonal

purified by

affinity chromatography

species reactivity

mouse, rat, human

technique(s)

immunocytochemistry: suitable, immunohistochemistry: suitable, immunoprecipitation (IP): suitable, western blot: suitable

NCBI accession no.

UniProt accession no.

shipped in

wet ice

target post-translational modification

unmodified

Gene Information

human ... BAK1(578)

General description

Bak or Bcl2 homologous antagonist is a member of the Bcl2 family of proteins. The Bcl-2 related proteins interact with one another through the formation of homo and heterodimers. The susceptibility of cells to apoptotic stimuli is thought to be controlled by the relative ratios of the different Bcl2 family proteins. Bak has been demonstrated to accelerate the rate of apoptosis in growth factor deprived murine lymphoid, neuronal and fibroblastic cell lines. This protein localizes to mitochondria, and functions to induce apoptosis. It interacts with and accelerates the opening of the mitochondrial voltage-dependent anion channel, which leads to a loss in membrane potential and the release of cytochrome c. Bak also interacts with the tumor suppressor P53 after exposure to cell stress.
~ 24 kDa

Immunogen

KLH-conjugated linear peptide corresponding to human BAK at and around the N-terminus.

Application

Detect Bak (N-terminus) using this Anti-Bak (N-terminus) Antibody validated for use in WB, IH, IC & IP.
Western Blot (SNAP ID) Analysis: 1 - 4 µg/ml from a previous lot detected Bak on 10 µg of Hek293 cell lysate.

Immunoprecipitation Analysis: For unpurified antibodies. 10 µg from a previous lot immunoprecipitated Bak from 500 µg of NIH3T3 lysate.

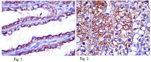
Immunohistochemistry Analysis: 1:300 dilution from a previous lot detected Bak in kidney tissue.

Immunocytochemistry Analysis: 1:500 dilution from a previous lot detected Bak in HeLa, NIH/3T3, and A431 cells.

Biochem/physiol Actions

This antibody recognizes BAK.

Analysis Note

Evaluated by Western Blot in Hek293 cell lysate.

Western Blot Analysis: 0.5 µg/ml of this antibody detected Bak on 10 µg of Hek293 cell lysate.

Other Notes

Concentration: Please refer to the Certificate of Analysis for the lot-specific concentration.
Replaces: 04-433


Still not finding the right product?

Try our Product Selector Tool to narrow your options


Storage Class

12 - Non Combustible Liquids

wgk

WGK 1

flash_point_f

Not applicable

flash_point_c

Not applicable



Certificates of Analysis (COA)

Search for Certificates of Analysis (COA) by entering the products Lot/Batch Number. Lot and Batch Numbers can be found on a product’s label following the words ‘Lot’ or ‘Batch’.

Already Own This Product?

Find documentation for the products that you have recently purchased in the Document Library.

Visit the Document Library



One-pot synthesis of aptamer-functionalized silver nanoclusters for cell-type-specific imaging.
Jingjing Li,Xiaoqin Zhong,Fangfang Cheng,Jian-Rong Zhang,Li-Ping Jiang,Jun-Jie Zhu
Analytical Chemistry null
Yonghua Zhuang et al.
Journal of virology, 90(17), 7684-7691 (2016-06-17)
The tumor suppressor p53 plays a critical part in determining cell fate both as a regulator of the transcription of several proapoptotic genes and through its binding interactions with Bcl-2 family proteins at mitochondria. We now demonstrate that p53 protein



Global Trade Item Number

SKUGTIN
ABC1204053252672873