Skip to Content
Merck
CN

ABC432

Anti-MAP1LC3B Antibody

rabbit polyclonal

Synonym(s):

Microtubule-associated proteins 1A/1B light chain 3B, Autophagy-related protein LC3 B, Autophagy-related ubiquitin-like modifier LC3 B, MAP1 light chain 3-like protein 2, MAP1A/MAP1B light chain 3 B, MAP1A/MAP1B LC3 B, Microtubule-associated protein 1 li

Sign In to View Organizational & Contract Pricing.

Select a Size

Change View

About This Item

UNSPSC Code:
12352203
eCl@ss:
32160702
NACRES:
NA.41
Clone:
polyclonal
Species reactivity:
human
Application:
WB
Citations:
2
Technical Service
Need help? Our team of experienced scientists is here for you.
Let Us Assist


Product Name

Anti-LC3B Antibody, serum, from rabbit

biological source

rabbit

Quality Level

antibody form

serum

antibody product type

primary antibodies

clone

polyclonal

species reactivity

human

technique(s)

western blot: suitable

NCBI accession no.

UniProt accession no.

shipped in

wet ice

target post-translational modification

unmodified

Gene Information

human ... MAP1LC3B(81631)

General description

MAP1LC3B, also known as Autophagy-related protein LC3 B, LC3B, Autophagy-related ubiquitin-like modifier LC3 B, MAP1 light chain 3-like protein 2, MAP1A/MAP1B light chain 3 B, MAP1A/MAP1B LC3 B, Microtubule-associated protein 1 light chain 3 beta, and encoded by the gene MAP1LC3B/MAP1ALC3, is a ubiquitin-like modifier involved in formation of autophagosomal vacuoles (autophagosomes). MAP1LC3B plays a role in mitophagy which contributes to regulate mitochondrial quantity and quality by eliminating the mitochondria to a basal level to fulfill cellular energy requirements and preventing excess ROS production. Whereas LC3s are involved in elongation of the phagophore membrane, the GABARAP/GATE-16 subfamily is essential for a later stage in autophagosome maturation. MAP1LC3B interacts at microtubules with CABP1 (via EF-hands 1 and 2) but not with calmodulin. MAP1LC3B interacts with FYCO1 (via C-terminus). MAP1LC3B interacts with TP53INP1 and TP53INP2, and MAP1LC3B interacts with TBC1D25. MAP1LC3B directly interacts with SQSTM1; this interaction leads to MAP1LC3B recruitment to inclusion bodies containing polyubiquitinated protein aggregates and to inclusion body degradation by autophagy. MAP1LC3B interacts with ATG4B, MAPK15 and BNIP3 protein as well. MAP1LC3B is localized to the cytoplasm and cytoskeleton membranes, specifically endomembranes and cytoplasmic vesicles in the autophagosome. MAP1LC3B is expressed in most abundantly in heart, brain, skeletal muscle and testis tissues, with very low expression in liver tissues. Interestingly, high expression of MAP1LC3B in triple negative breast cancer (TNBC) is associated with poor outcomes in TNBC patients and is currently being studied as a prognostic evaluation marker for patients with TNBC.
~15 kDa observed

Immunogen

Linear peptide corresponding to human LC3B.

Application

Detect MAP1 using this rabbit polyclonal antibody, Anti-LC3B Antibody validated for use in western blotting.
Research Category
Apoptosis & Cancer
Research Sub Category
Apoptosis - Additional
Western Blotting Analysis: A representative lot from an independent laboratory detected LC3B in shRNA control HeLa cell lysates and demonstrated a loss of signal in TBC1D5 knockdown HeLa cell lysates. HeLa cells were either serum starved, or treated with bafilomycin A1 or serum starved in the presence of bafilomycin A1 (Popovic, D., et al. (2012). Mol Cell Biol. 32(9):1733-1744.).
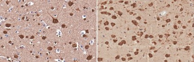
Immunohistochemistry (Paraffin) Analysis: A 1:500 dilution from a representative lot detected LC3B in human cerebral cortex and rat cerebral cortex tissue sections.

Physical form

Rabbit polyclonal serum with 0.05% sodium azide.
Unpurified

Preparation Note

Stable for 1 year at -20°C from date of receipt.
Handling Recommendations: Upon receipt and prior to removing the cap, centrifuge the vial and gently mix the solution. Aliquot into microcentrifuge tubes and store at -20°C. Avoid repeated freeze/thaw cycles, which may damage IgG and affect product performance.

Analysis Note

Evaluated by Western Blotting in HeLa cell lysate.

Western Blotting Analysis: A 1:2,000 dilution of this antibody detected LC3B in 10 µg of HeLa cell lysate.

Disclaimer

Unless otherwise stated in our catalog or other company documentation accompanying the product(s), our products are intended for research use only and are not to be used for any other purpose, which includes but is not limited to, unauthorized commercial uses, in vitro diagnostic uses, ex vivo or in vivo therapeutic uses or any type of consumption or application to humans or animals.


Still not finding the right product?

Explore all of our products under Anti-LC3B Antibody

or

Try our Product Selector Tool to narrow your options


Storage Class

10 - Combustible liquids

wgk

WGK 1



Certificates of Analysis (COA)

Search for Certificates of Analysis (COA) by entering the products Lot/Batch Number. Lot and Batch Numbers can be found on a product’s label following the words ‘Lot’ or ‘Batch’.

Already Own This Product?

Find documentation for the products that you have recently purchased in the Document Library.

Visit the Document Library


Related Content

"Apoptosis & Autophagy in Cancer: Cell Survival by Eluding Cell Death The ability of tumor cells to elude programmed cell death, also known as apoptosis, is a hallmark of most types of cancer. Similary, autophagy is a highly regulated, homeostatic degradative process where cells destroy their own components via the lysosomal machinery and recycle them for prolonged cell survival. Via extensive crosstalk with pro-apoptotic signaling pathways, autophagy can also contribute to cell death and greatly influence general cell health. Elucidating the correlation between autophagy and apoptotic cell death has become the focus of a great deal of research, particularly in tumor biology. On one hand, autophagy may induce cell death by degrading essential components; on the other hand, it may facilitate survival of cancer cells under unfavorable metabolic conditions."


Doris Popovic et al.
Molecular and cellular biology, 32(9), 1733-1744 (2012-02-23)
Autophagy is an evolutionarily conserved degradation pathway characterized by dynamic rearrangement of membranes that sequester cytoplasm, protein aggregates, organelles, and pathogens for delivery to the vacuole and lysosome, respectively. The ability of autophagosomal membranes to act selectively toward specific cargo



Global Trade Item Number

SKUGTIN
ABC43204053252935909