Skip to Content
Merck
CN

ABF29

Anti-NLRP6 (NALP6) Antibody

from rabbit, purified by affinity chromatography

Synonym(s):

NACHT, PYRIN-containing APAF1-like protein 5, LRR and PYD domains-containing protein 6

Sign In to View Organizational & Contract Pricing.

Select a Size

Change View

About This Item

UNSPSC Code:
12352203
NACRES:
NA.41
eCl@ss:
32160702
Conjugate:
unconjugated
Clone:
polyclonal
Application:
IHC, WB
Citations:
1
Technical Service
Need help? Our team of experienced scientists is here for you.
Let Us Assist


biological source

rabbit

Quality Level

conjugate

unconjugated

antibody form

affinity isolated antibody

antibody product type

primary antibodies

clone

polyclonal

purified by

affinity chromatography

species reactivity

rat, human

species reactivity (predicted by homology)

rhesus macaque (based on 100% sequence homology)

technique(s)

immunohistochemistry: suitable (paraffin), western blot: suitable

NCBI accession no.

UniProt accession no.

shipped in

wet ice

target post-translational modification

unmodified

Gene Information

human ... NLRP6(171389)

General description

NRLP6 (NALP6) (also known as PYRIN-containing Apaf-1-like protein 5 or PYPAF5) belongs to a family of proteins that play a critical role in apoptosis and in inflammatory signaling. Its expression is highly restricted to granulocytes and T-cells. Co-expression of NALP6 with ASC results in synergistic activation of caspase-1-dependent cytokine processing, subsequent NF-kB activation, and downstream recruitment of PYPAF5 to punctate structures in the cytoplasm. Overlapping genes in NALP6/PYPAF5 locus encode two V2-type vasopressin isoreceptors: angiotensin-vasopressin receptor (AVR) and non-AVR.
~99 kDa observed

Immunogen

Epitope: NACHT domain
Linear peptide corresponding to NACHT domain of human NLRP6 (NALP6).

Application

Anti-NLRP6 (NALP6) Antibody detects level of NLRP6 (NALP6) & has been published & validated for use in WB, IH(P).
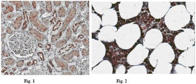
Immunohistochemistry Analysis: A 1:1,000 dilution from a representative lot detected NLRP6 (NALP6) in epithelial tissue of proximal and distal tubules of human kidney, and in human bone marrow tissue.

Biochem/physiol Actions

Other homologies: Mouse (93% sequence homology).
This antibody recognizes the NACHT domain of NLRP6 (NALP6).

Analysis Note

Control
Rat basophilic leukemia (RBL) cell lysate
Evaluated by Western Blot in rat basophilic leukemia (RBL) cell lysate.

Western Blot Analysis: 1 µg/mL of this antibody detected NLRP6 (NALP6) in 10 µg of rat basophilic leukemia (RBL) cell lysate.

Other Notes

Concentration: Please refer to the Certificate of Analysis for the lot-specific concentration.


Still not finding the right product?

Try our Product Selector Tool to narrow your options


Storage Class

12 - Non Combustible Liquids

wgk

WGK 1

flash_point_f

Not applicable

flash_point_c

Not applicable



Certificates of Analysis (COA)

Search for Certificates of Analysis (COA) by entering the products Lot/Batch Number. Lot and Batch Numbers can be found on a product’s label following the words ‘Lot’ or ‘Batch’.

Already Own This Product?

Find documentation for the products that you have recently purchased in the Document Library.

Visit the Document Library



Pierre-Gregoire Coulon et al.
Frontiers in immunology, 10, 1631-1631 (2019-08-02)
The crosstalk between the host's inflammasome system and the invading virulent/less-virulent viruses determines the outcome of the ensuing inflammatory response. An appropriate activation of inflammasomes triggers antiviral inflammatory responses that clear the virus and heal the inflamed tissue. However, an



Global Trade Item Number

SKUGTIN
ABF2904053252634673