Skip to Content
Merck
CN

ABN131

Anti-GABA Antibody

from rabbit, purified by affinity chromatography

Sign In to View Organizational & Contract Pricing.

Select a Size

Change View

About This Item

UNSPSC Code:
12352203
NACRES:
NA.41
eCl@ss:
32160702
Clone:
polyclonal
Species reactivity:
rat
Application:
ELISA, IHC
Citations:
3
Technical Service
Need help? Our team of experienced scientists is here for you.
Let Us Assist


biological source

rabbit

Quality Level

antibody form

affinity isolated antibody

antibody product type

primary antibodies

clone

polyclonal

purified by

affinity chromatography

species reactivity

rat

species reactivity (predicted by homology)

all

technique(s)

ELISA: suitable, immunohistochemistry: suitable (paraffin)

shipped in

wet ice

target post-translational modification

unmodified

Gene Information

rat ... Gabra1(29705)

General description

Neurotransmitters can be defined as chemical substances that are released by the presynaptic neuron before being bound by receptors on the postsynaptic cell surface. It has been well established that the nervous system utilizes neurotransmitters for cell signaling. Neurotransmitters can be divided into two groups; low molecular weight transmitter molecules such as biogenic amines, purines, or amino acids, and bioactive peptides, of which more than 50 members have been identified in the mammalian central nervous system. Many low molecular weight neurotransmitters are produced within the axon terminal from common cellular metabolites and packaged into synaptic vesicles. The transport and delivery of vesicles containing neurotransmitter is a highly regulated and complex process. GABA (g-aminobutyric acid) is the major inhibitory neurotransmitter in the central nervous system that is involved in the pathogenesis of certain neurological and psychiatric disorders. GABA is produced from glutamic acid in a reaction catalyzed by glutamic acid decarboxylase. GABA interacts with the GABAA and GABAB receptors, which are widely distributed throughout the nervous system and in a variety of cell types. The immunolocalization, neuronal distribution, and vesicular compartmentalization of neurotransmitter molecules and their precursors are important for understanding the modulation, regulation, and function of neurotransmitters in the nervous system.

Application

Anti-GABA Antibody is a highly specific rabbit polyclonal antibody, that targets GABA & has been tested in IHC (Paraffin) & Enzyme Immunoassay (ELISA).
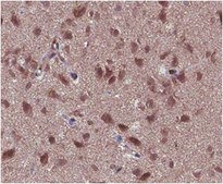
Immunohistochemistry Analysis: A 1:500 dilution from a representative lot detected GABA in rat brain tissue (Note: Non-specific staining may be observed in vascular tissues.).

ELISA Analysis: A representative lot from an independent laboratory detected GABA in a competitive ELISA.

Analysis Note

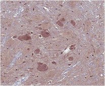
Control
Rat hypothalamus tissue
Evaluated by Immunohistochemistry (Paraffin) in Rat brain tissue sections.

Immunohistochemistry (Paraffin) Analysis: A 1:250 dilution of this antibody detected GABA in Rat brain tissue sections.

Other Notes

Concentration: Please refer to the Certificate of Analysis for the lot-specific concentration.
Replaces: AB131


Still not finding the right product?

Explore all of our products under Anti-GABA Antibody

or

Try our Product Selector Tool to narrow your options


Storage Class

12 - Non Combustible Liquids

wgk

WGK 1

flash_point_f

Not applicable

flash_point_c

Not applicable



Certificates of Analysis (COA)

Search for Certificates of Analysis (COA) by entering the products Lot/Batch Number. Lot and Batch Numbers can be found on a product’s label following the words ‘Lot’ or ‘Batch’.

Already Own This Product?

Find documentation for the products that you have recently purchased in the Document Library.

Visit the Document Library



Transient activation of the Notch-her15.1 axis plays an important role in the maturation of V2b interneurons.
Mizoguchi, et al.
Development, 147 (2021)
Melissa M Martin et al.
Cerebral cortex (New York, N.Y. : 1991), 30(3), 1830-1842 (2019-10-11)
Cigarette smoking during pregnancy is a major public health concern, resulting in detrimental health effects in the mother and her offspring. The adverse behavioral consequences for children include increased risk for attention deficit hyperactivity disorder, working memory deficits, epilepsy, novelty-seeking
Tuyana Malankhanova et al.
Journal of personalized medicine, 10(4) (2020-11-14)
Huntington's disease (HD) is a severe neurodegenerative disorder caused by a CAG triplet expansion in the first exon of the HTT gene. Here we report the introduction of an HD mutation into the genome of healthy human embryonic fibroblasts through



Global Trade Item Number

SKUGTIN
ABN13104053252861185