Skip to Content
Merck
CN

ABN1369

Anti-Substance P Receptor

from rabbit, purified by affinity chromatography

Synonym(s):

Substance-P receptor, Neurokinin-1 receptor, NK-1 receptor, NK-1R, SPR, Tachykinin receptor 1

Sign In to View Organizational & Contract Pricing.

Select a Size

Change View

About This Item

UNSPSC Code:
12352203
NACRES:
NA.41
eCl@ss:
32160702
Conjugate:
unconjugated
Clone:
polyclonal
Application:
IHC, WB
Citations:
-
Technical Service
Need help? Our team of experienced scientists is here for you.
Let Us Assist


biological source

rabbit

Quality Level

conjugate

unconjugated

antibody form

affinity isolated antibody

antibody product type

primary antibodies

clone

polyclonal

purified by

affinity chromatography

species reactivity

rat, human, mouse

species reactivity (predicted by homology)

canine (based on 100% sequence homology), rhesus macaque (based on 100% sequence homology)

technique(s)

immunohistochemistry: suitable, western blot: suitable

NCBI accession no.

UniProt accession no.

shipped in

ambient

target post-translational modification

unmodified

Gene Information

human ... TACR1(6869)

General description

Substance-P receptor (UniProt P25103; also known as Neurokinin-1 receptor, NK-1 receptor, NK-1R, SPR, Tachykinin receptor 1) is encoded by the TACR1 (also known as NK1R, TAC1R) gene (Gene ID 6879) in human. NK-1, NK-2 and NK-3 are receptors that mediate the biological activities of tachykinins, including substance P (SP), neurokinin A (NKA), neurokinin B (NKB), ranakinin, kassinin, neuropeptide gamma, and eledoisin, widely distributed in the central and peripheral nervous systems. SP shows the highest affinity toward NK-1R (substance-P receptor) and exerts its biological activities via NK-1R, including addiction, depression, chronic inflammation, and cancer progression. The involvement of NK-1R in acute pancreatitis through mediating neurogenic inflammation has also been reported. Upon stimulation by SP, NK-1R interacts with multiple G proteins, including G s, G q/11, G i/o, G 12, and G 13, generating second messengers and activating downstream effector molecules. After binding NK-1R, SP induces a clathrin-dependent internalization of the receptor-ligand complex, SP is then degraded and the receptor is recycled to the cell surface. NK-1R is a 7-transmembrane (32-54, 65-86, 107-128, 149-169, 195-219, 249-270, 284-308) GPCR, having its N-terminal end (a.a. 1-31) at the extracelluar side and C-terminal end (a.a. 309-407) at the cytoplasmic side. There exists a second alternatively spliced human NK-1R isoform that lacks the C-terminal cytoplasmic domain (a.a. 312-407 missing). The full-length form enhances the growth of cancer cells and stimulates the production of cytokines, which in turn up-regulate the truncated form. The truncated form mediates malignancy and is more abundant in colonic epithelial cells from patients with colitis-associated cancer. In cancer cells, the NK-1 receptor is mainly localized on the plasma membrane and in cytoplasm, and occasionally also in the nucleus.
~58 kDa observed. Target band size appears larger than the calculated molecular weights of 46.25/46.32/46.37 kDa (human/mouse/rat) due to glycosylation. Uncharacterized bands may be observed in some lysate(s).

Immunogen

KLH-conjugated linear peptide corresponding to the C-terminal end sequence of human substance P receptor.

Application

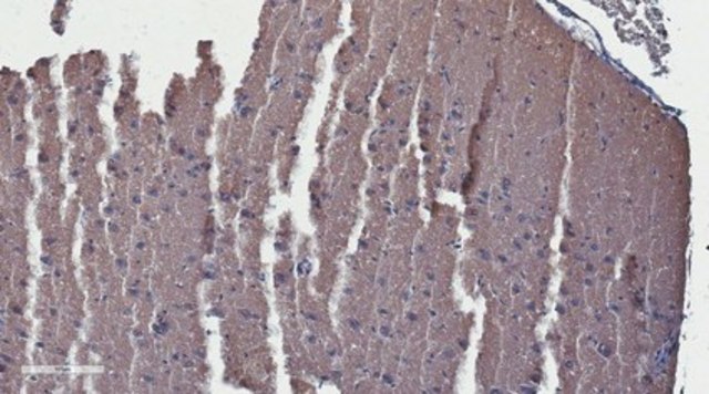
Detect Substance P receptor using this rabbit polyclonal Anti-Substance P Receptor Antibody, Cat. No. ABN1369, validated for use in Immunohistochemistry and Western Blotting.
Immunohistochemistry Analysis: A 1:50 dilution from a representative lot detected substance P receptor in human, mouse, and rat brain tissue sections.

Biochem/physiol Actions

This rabbit polyclonal antibody targets substance P receptor C-terminal end sequence. Target region is absent in human spliced isoform 2.

Analysis Note

Evaluated by Western Blotting in rat brain tissue lysate.

Western Blotting Analysis: 0.2 µg/mL of this antibody detected substance P receptor in 10 µg of rat brain tissue lysate.

Other Notes

Concentration: Please refer to lot specific datasheet.


Still not finding the right product?

Try our Product Selector Tool to narrow your options


Storage Class

12 - Non Combustible Liquids

wgk

WGK 1

flash_point_f

Not applicable

flash_point_c

Not applicable



Certificates of Analysis (COA)

Search for Certificates of Analysis (COA) by entering the products Lot/Batch Number. Lot and Batch Numbers can be found on a product’s label following the words ‘Lot’ or ‘Batch’.

Already Own This Product?

Find documentation for the products that you have recently purchased in the Document Library.

Visit the Document Library



Global Trade Item Number

SKUGTIN
ABN136904054839034657