Sign In to View Organizational & Contract Pricing.
Select a Size
Change View
About This Item
UNSPSC Code:
12352203
NACRES:
NA.41
eCl@ss:
32160702
Conjugate:
unconjugated
Clone:
polyclonal
Application:
IHC, WB
Citations:
4
biological source
rabbit
Quality Level
conjugate
unconjugated
antibody form
affinity isolated antibody
antibody product type
primary antibodies
clone
polyclonal
purified by
affinity chromatography
species reactivity
human, rat, mouse
technique(s)
immunohistochemistry: suitable (paraffin), western blot: suitable
NCBI accession no.
UniProt accession no.
shipped in
wet ice
target post-translational modification
unmodified
Gene Information
human ... SLC5A7(60482)
General description
Target molecular weight 75 kDa observed; 63.20 kDa calculated. Uncharacterized bands may be observed in some lysate(s).
The protein named Choline Transporter or Hemicholinium-3-sensitive choline transporter (CHT), and encoded by the gene SLC5A7/CHT1, is the high affinity choline transporter in neurons. Choline is the rate limiting step in acetylcholine synthesis an important neurotransmitter. Acetylcholine is a neurotransmitter of the central and peripheral nervous system that regulates a variety of autonomic, cognitive, and motor functions. The choline transporter is localized to the cell membrane and is expressed in cholinergic neurons particularly in the putamen, spinal cord and medulla. Defects in the choline transporter may be associated with a syndrome named distal spinal muscular atrophy with vocal cord paralysis. The choline transporter protein is a Na+ and Cl- dependent transporter that can be inhibited by nanomolar concentrations of the chemical compound hemicholinium 3, a compound often used to deplete acetylcholine stores.
Immunogen
GST-tagged recombinant protein fragment corresponding to 77 amino acids from the C-terminal region of human Choline Transporter.
Application
Anti-Choline Transporter Antibody is a highly specific rabbit polyclonal antibody, that targets Choline Transporter & has been tested in western blotting & IHC (Paraffin).
Peptide Inhibition Assay: Target band detection in tissue lysate from rat spinal cord was prevented by pre-blocking of a representative lot with Choline Transporter recombinant protein fragment.
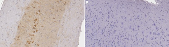
Immunohistochemistry (Paraffin) Analysis: A 1:500 dilution from a representative lot detected Choline Transporter in human, mouse, and rat brain tissue sections.
Note: Actual optimal working dilutions must be determined by end user as specimens, and experimental conditions may vary with the end user.
Immunohistochemistry (Paraffin) Analysis: A 1:500 dilution from a representative lot detected Choline Transporter in human, mouse, and rat brain tissue sections.
Note: Actual optimal working dilutions must be determined by end user as specimens, and experimental conditions may vary with the end user.
Analysis Note
Evaluated by Western Blotting in rat spinal cord tissue lysate.
Western Blotting Analysis: A 1:2,000 dilution from representative lot detected Choline Transporter in rat spinal cord tissue lysate.
Western Blotting Analysis: A 1:2,000 dilution from representative lot detected Choline Transporter in rat spinal cord tissue lysate.
Other Notes
Concentration: Please refer to the Certificate of Analysis for the lot-specific concentration.
Replaces: AB5960;AB5966
Still not finding the right product?
Try our Product Selector Tool to narrow your options
Storage Class
12 - Non Combustible Liquids
wgk
WGK 1
flash_point_f
Not applicable
flash_point_c
Not applicable
Certificates of Analysis (COA)
Search for Certificates of Analysis (COA) by entering the products Lot/Batch Number. Lot and Batch Numbers can be found on a product’s label following the words ‘Lot’ or ‘Batch’.
Already Own This Product?
Find documentation for the products that you have recently purchased in the Document Library.
Ajeesh Koshy Cherian et al.
Neurochemistry international, 108, 410-416 (2017-06-05)
The synaptic uptake of choline via the high-affinity, hemicholinium-3-dependent choline transporter (CHT) strongly influences the capacity of cholinergic neurons to sustain acetylcholine (ACh) synthesis and release. To advance research on the impact of CHT capacity in humans, we established the
Ajeesh Koshy Cherian et al.
The Journal of neuroscience : the official journal of the Society for Neuroscience, 37(11), 2947-2959 (2017-02-15)
Some rats [sign-trackers (STs)] are prone to attribute incentive salience to reward cues, which can manifest as a propensity to approach and contact pavlovian cues, and for addiction-like behavior. STs also exhibit poor attentional performance, relative to goal-trackers (GTs), which
Maximilian I Pinkham et al.
American journal of physiology. Regulatory, integrative and comparative physiology, 312(3), R368-R379 (2017-01-06)
Heart failure is characterized by the loss of sympathetic innervation to the ventricles, contributing to impaired cardiac function and arrhythmogenesis. We hypothesized that renal denervation (RDx) would reverse this loss. Male Wistar rats underwent myocardial infarction (MI) or sham surgery
Global Trade Item Number
| SKU | GTIN |
|---|---|
| ABN458 | 04053252941436 |