Skip to Content
Merck
CN

ABN76

Anti-Neurofilament H (200 kDa) Antibody

rabbit polyclonal

Synonym(s):

Neurofilament heavy polypeptide, Neurofilament H

Sign In to View Organizational & Contract Pricing.

Select a Size

Change View

About This Item

UNSPSC Code:
12352203
eCl@ss:
32160702
NACRES:
NA.41
Clone:
polyclonal
Species reactivity:
mouse, human, rat, bovine
Application:
IHC, WB
Citations:
1
Technical Service
Need help? Our team of experienced scientists is here for you.
Let Us Assist


Product Name

Anti-Neurofilament H (200 kDa) Antibody, from rabbit, purified by affinity chromatography

biological source

rabbit

Quality Level

antibody form

affinity isolated antibody

antibody product type

primary antibodies

clone

polyclonal

purified by

affinity chromatography

species reactivity

mouse, human, rat, bovine

technique(s)

immunohistochemistry: suitable (paraffin), western blot: suitable

NCBI accession no.

UniProt accession no.

shipped in

wet ice

target post-translational modification

unmodified

Gene Information

bovine ... Nefh(528842)
human ... NEFH(4744)
mouse ... Nefh(380684)
rat ... Nefh(24587)

General description

Neurofilaments are a type of intermediate filament that serve as major elements of the cytoskeleton supporting the axon cytoplasm. They are the most abundant fibrillar components of the axon, being on average 3-10 times more frequent than axonal microtubules. Neurofilaments (10nm in dia.) are built from three intertwined protofibrils which are themselves composed of two tetrameric protofilament complexes of monomeric proteins. The neurofilament triplet proteins (68/70, 160, and 200 kDa) occur in both the central and peripheral nervous system and are usually neuron specific. The 68/70 kDa NF-L protein can self-assemble into a filamentous structure, however the 160 kDa NF-M and 200 kDa NF-H proteins require the presence of the 68/70 kDa NF-L protein to co-assemble. Neuromas, ganglioneuromas, gangliogliomas, ganglioneuroblastomas and neuroblastomas stain positively for neurofilaments. Although typically restricted to neurons, neurofilaments have been detected in paragangliomas, adrenal and extra-adrenal pheochromocytomas, carcinoids, neuroendocrine carcinomas of the skin, and oat cell carcinomas of the lung. For moreinformation, see the Nervous System Cell Type Specific Marker chart on the Millipore website.
~200 kDa observed

Immunogen

GST-tagged recombinant protein corresponding to bovine Neurofilament H.

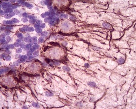
Application

Immunohistochemistry Analysis: A 1 µg/mL dilution from a representative lot detected Neurofilament H in normal rat cerebellum tissue.
This Anti-Neurofilament H (200 kDa) Antibody is validated for use in WB, IH(P) for the detection of Neurofilament H (200 kDa).

Analysis Note

Control
Bovine cerebellum tissue lysate
Evaluated by Western Blot in bovine cerebellum tissue lysate.

Western Blot Analysis: 0.1 µg/mL of this antibody detected Neurofilament H in bovine cerebellum tissue lysate.

Other Notes

Concentration: Please refer to the Certificate of Analysis for the lot-specific concentration.
Replaces: AB1982


Still not finding the right product?

or

Try our Product Selector Tool to narrow your options


Storage Class

12 - Non Combustible Liquids

wgk

WGK 1

flash_point_f

Not applicable

flash_point_c

Not applicable



Certificates of Analysis (COA)

Search for Certificates of Analysis (COA) by entering the products Lot/Batch Number. Lot and Batch Numbers can be found on a product’s label following the words ‘Lot’ or ‘Batch’.

Already Own This Product?

Find documentation for the products that you have recently purchased in the Document Library.

Visit the Document Library



Ana Feliú et al.
The Journal of neuroscience : the official journal of the Society for Neuroscience, 37(35), 8385-8398 (2017-07-29)
The failure to undergo remyelination is a critical impediment to recovery in multiple sclerosis. Chondroitin sulfate proteoglycans (CSPGs) accumulate at demyelinating lesions creating a nonpermissive environment that impairs axon regeneration and remyelination. Here, we reveal a new role for 2-arachidonoylglycerol



Global Trade Item Number

SKUGTIN
ABN7604053252632051