Skip to Content
Merck
CN

ABN78

Anti-NeuN Antibody

rabbit polyclonal

Synonym(s):

RNA binding protein fox-1 homolog 3, Fox-1 homolog C, Fox-3, Hexaribonucleotide-binding protein 3, NeuN, Neuronal nuclei

Sign In to View Organizational & Contract Pricing.

Select a Size

Change View

About This Item

UNSPSC Code:
12352203
eCl@ss:
32160702
NACRES:
NA.41
Clone:
polyclonal
Species reactivity:
mouse, human, snail, rat
Application:
ICC, IF, IHC, WB
Citations:
217
Technical Service
Need help? Our team of experienced scientists is here for you.
Let Us Assist


Product Name

Anti-NeuN Antibody (rabbit), from rabbit, purified by affinity chromatography

biological source

rabbit

Quality Level

antibody form

affinity isolated antibody

antibody product type

primary antibodies

clone

polyclonal

purified by

affinity chromatography

species reactivity

mouse, human, snail, rat

technique(s)

immunocytochemistry: suitable, immunofluorescence: suitable, immunohistochemistry: suitable, western blot: suitable

NCBI accession no.

UniProt accession no.

shipped in

wet ice

storage temp.

2-8°C

target post-translational modification

unmodified

Gene Information

human ... RBFOX3(146713)
mouse ... Rbfox3(52897)
rat ... Rbfox3(287847)

General description

RNA binding protein fox-1 homolog 3 also known as NeuN (Neuronal nuclei) is encoded by the Rbfox3 (also known as D11Bwg0517e, Hrnbp3) gene (Gene ID 52897) in murine species. The RNA-binding Fox (Rbfox) family of splicing factors is comprised of three members, Rbfox1 (Fox-1 or A2BP1), Rbfox2 (Fox-2 or RBM9), and Rbfox3 (Fox-3, HRNBP3 or NeuN). Rbfox proteins regulate splicing of many neuronal transcripts (pre-mRNAs) by binding the sequence (U)GCAUG in introns flanking alternative exons. A (U)GCAUG motif that lies downstream of the alternative exon generally promotes Rbfox-dependent exon inclusion, whereas an upstream motif will usually repress exon inclusion. Originally characterized as a marker of post-mitotic neurons and named neuronal nuclei (NeuN), Rbfox3 plays a role in promoting neuronal differentiation through alternative splicing of Numb pre-mRNA during brain development. Rbfox3-knockout in mice is reported to result in defective hippocampal gene expression, defects in synaptic transmission and plasticity in the dentate gyrus, as well as increased seizure susceptibility and decreased anxiety-related behaviors. Likewise, human RBFOX3 gene mutations have been linked to neurodevelopmental delay, cognitive impairments, autistic features, and epilepsy.
~48/42 kDa observed. 33.87/35.12 kDa (human isoform 1/2), 40.61/39.05/35.64/34.07/35.63 kDa (mouse isoform 1/2/3/4/5), 40.59kDa (rat; UniProt D4A2H6), 34.05 kDa (rat; UniProt A0A0G2K2J4) calculated. Uncharacterized bands may be observed in some lysate(s).

Immunogen

Epitope: N-terminus
GST-tagged recombinant mouse NeuN N-terrminal fragment.

Application

Anti-NeuN (rabbit) Antibody, Cat. No. ABN78, is a highly specific rabbit polyclonal antibody that targets NeuN and has been tested in Immunocytochemistry, Immunofluorescence, Immunohistochemistry, and Western Blotting.
Research Category
Neuroscience
Research Sub Category
Developmental Signaling
Western Blotting Analysis: 0.5 µg/mL from a representative lot detected NeuN in Mouse Brain Nuclear Extract.

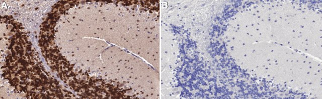
Immunohistochemistry (Paraffin) Analysis: A 1:1,000 dilution from a representative lot detected NeuN in human cerebral cortex and mouse hippocampus tissue sections.

Immunocytochemistry Analysis: A 1:500 dilution from a representative lot detected NeuN in E18 neuronal cells.

Note: Actual optimal working dilutions must be determined by end user as specimens, and experimental conditions may vary with the end user

Biochem/physiol Actions

Anti NeuN antibody from rabbit is a polyclonal antibody that targets NeuN N-terminal region that ends at the start of the RNA recognition motif (RRM). The target region is present in all human, mouse, and rat spliced isoforms reported by UniProt (A6NFN3, Q8BIF2, D4A2H6, A0A0G2K2J4).

Physical form

Purified rabbit polyclonal antibody in buffer containing 0.1 M Tris-Glycine (pH 7.4), 150 mM NaCl with 0.05% sodium azide.
Affinity purified

Preparation Note

Stable for 1 year at 2-8°C from date of receipt.

Analysis Note

Control
Mouse brain nuclear extract
Evaluated by Western Blotting in Mouse E16 Brain lysate.

Western Blotting Analysis: 0.5 µg/mL of this antibody detected NeuN in Mouse E16 Brain lysate.

Other Notes

Concentration: Please refer to lot specific datasheet.

Disclaimer

Unless otherwise stated in our catalog or other company documentation accompanying the product(s), our products are intended for research use only and are not to be used for any other purpose, which includes but is not limited to, unauthorized commercial uses, in vitro diagnostic uses, ex vivo or in vivo therapeutic uses or any type of consumption or application to humans or animals.


Still not finding the right product?

Explore all of our products under Anti-NeuN Antibody (rabbit)

or

Try our Product Selector Tool to narrow your options


Storage Class

12 - Non Combustible Liquids

wgk

WGK 1

flash_point_f

Not applicable

flash_point_c

Not applicable



Certificates of Analysis (COA)

Search for Certificates of Analysis (COA) by entering the products Lot/Batch Number. Lot and Batch Numbers can be found on a product’s label following the words ‘Lot’ or ‘Batch’.

Already Own This Product?

Find documentation for the products that you have recently purchased in the Document Library.

Visit the Document Library


Protocols

Tips and troubleshooting for FFPE and frozen tissue immunohistochemistry (IHC) protocols using both brightfield analysis of chromogenic detection and fluorescent microscopy.

Articles

免疫荧光法(IF)通过在抗体标记上荧光分子,然后使用激光器激发荧光,包括蛋白质的定位、验证翻译后修饰或活化以及与其他蛋白质的邻近和复合等操作。

探索抗体处理基础知识,包括有关结构、类别和正常免疫球蛋白系列的技术信息。

Learn differences in monoclonal vs polyclonal antibodies including how antibodies are generated, clone numbers, and antibody formats.

View All Articles

Toll-like receptor 2-mediated innate immune responses against Junin virus in mice lead to antiviral adaptive immune responses during systemic infection and do not affect viral replication in the brain.
Cuevas, CD; Ross, SR
Journal of virology null
Distribution of GABAergic cells in the inferior colliculus that project to the thalamus.
Mellott, JG; Foster, NL; Nakamoto, KT; Motts, SD; Schofield, BR
Frontiers in Neuroanatomy null
C9orf72 frontotemporal lobar degeneration is characterised by frequent neuronal sense and antisense RNA foci.
Mizielinska, S; Lashley, T; Norona, FE; Clayton, EL; Ridler, CE; Fratta, P; Isaacs, AM
Acta neuropathologica null



Global Trade Item Number

SKUGTIN
ABN7804053252292583