Skip to Content
Merck
CN

ABN90

Anti-NeuN Antibody

serum, from guinea pig

Sign In to View Organizational & Contract Pricing.

Select a Size

Change View

About This Item

UNSPSC Code:
12352203
NACRES:
NA.41
eCl@ss:
32160702
Clone:
polyclonal
Species reactivity:
rat, mouse
Application:
ICC, IHC, WB
Citations:
36
Technical Service
Need help? Our team of experienced scientists is here for you.
Let Us Assist


biological source

guinea pig

Quality Level

antibody form

serum

antibody product type

primary antibodies

clone

polyclonal

species reactivity

rat, mouse

technique(s)

immunocytochemistry: suitable, immunohistochemistry: suitable (paraffin), western blot: suitable

shipped in

wet ice

target post-translational modification

unmodified

Gene Information

mouse ... Rbfox3(52897)
rat ... Rbfox3(287847)

General description

ABN90 is a Guinea Pig polyclonal version of the Anti-NeuN, clone A60 (MAB377), a highly characterized and cited mouse monoclonal antibody that specifically recognizes the DNA-binding, neuron-specific protein NeuN, which is present in most CNS and PNS neuronal cell types of all vertebrates tested. NeuN protein distributions are apparently restricted to neuronal nuclei, perikarya and some proximal neuronal processes in both fetal and adult brain although, some neurons fail to be recognized by NeuN at all ages: INL retinal cells, Cajal-Retzius cells, Purkinje cells, inferior olivary and dentate nucleus neurons, and sympathetic ganglion cells are some examples. Immunohistochemically detectable NeuN protein first appears at developmental timepoints that correspond with the withdrawal of the neuron from the cell cycle and/or with the initiation of terminal differentiation of the neuron. Immunoreactivity appears around E9.5 in the mouse neural tube and is extensive throughout the developing nervous system by E12.5. Strong nuclear staining suggests a nuclear regulatory protein function; however, no evidence currently exists as to whether the NeuN protein antigen has a function in the distal cytoplasm or whether it is merely synthesized there before being transported back into the nucleus. No difference between protein isolated from purified nuclei and whole brain extract on immunoblots has been found.
~48 kDa observed

Application

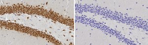
  • Immunohistochemistry (Paraffin) Analysis: A 1:5,000 dilution from a representative lot detected NeuN in mouse cerebral cortex and hippocampus brain tissue sections.
  • Immunocytochemistry Analysis: A 1:500 dilution from a representative lot detected NeuN in rat E18 cortical cells.
  • Note: Actual optimal working dilutions must be determined by end user as specimens, and experimental conditions may vary with the end user.
This guinea pig polyclonal Anti-NeuN, Cat. No. ABN90 is tested for use in Western Blotting, Immunocytochemistry and Immunohistochemistry (Paraffin), for the detection of NeuN.

Physical form

Guinea pig polyclonal serum containing 0.05% sodium azide.

Analysis Note

Evaluated by Western Blotting in Mouse E16 brain tissue lysate. Western Blotting Analysis: A 1:2,000 Dilution of this antibody detected NeuN in Mouse E16 brain tissue lysate.


Still not finding the right product?

Explore all of our products under Anti-NeuN Antibody

or

Try our Product Selector Tool to narrow your options


Storage Class

10 - Combustible liquids

wgk

WGK 1



Certificates of Analysis (COA)

Search for Certificates of Analysis (COA) by entering the products Lot/Batch Number. Lot and Batch Numbers can be found on a product’s label following the words ‘Lot’ or ‘Batch’.

Already Own This Product?

Find documentation for the products that you have recently purchased in the Document Library.

Visit the Document Library



Lijuan Wang et al.
Cellular and molecular neurobiology, 40(7), 1117-1131 (2020-01-29)
Chronic morphine-induced antinociceptive tolerance is a major unresolved issue in clinical practices, which is associated with microglia activation in the spinal cord. E3 ubiquitin ligase Pellino1 (Peli1) is known to be an important microglia-specific regulator. However, it is unclear whether
Anushree Tripathi et al.
Translational psychiatry, 10(1), 41-41 (2020-02-19)
Genetic microdeletion at the 22q11 locus is associated with very high risk for schizophrenia. The 22q11.2 microdeletion (Df(h22q11)/+) mouse model shows cognitive deficits observed in this disorder, some of which can be linked to dysfunction of the prefrontal cortex (PFC).
Wu Chen et al.
eLife, 9 (2020-02-20)
Mutations in genes encoding synaptic proteins cause many neurodevelopmental disorders, with the majority affecting postsynaptic apparatuses and much fewer in presynaptic proteins. Syntaxin-binding protein 1 (STXBP1, also known as MUNC18-1) is an essential component of the presynaptic neurotransmitter release machinery.



Global Trade Item Number

SKUGTIN
ABN9004053252688065