Skip to Content
Merck
CN

ABN903

Anti-Huntingtin Disease (HD/HTT) Antibody

rabbit polyclonal

Synonym(s):

Huntington disease protein, HD protein

Sign In to View Organizational & Contract Pricing.

Select a Size

Change View

About This Item

UNSPSC Code:
12352203
eCl@ss:
32160702
NACRES:
NA.41
Clone:
polyclonal
Species reactivity:
mouse, human
Application:
IHC, WB
Citations:
-
Technical Service
Need help? Our team of experienced scientists is here for you.
Let Us Assist


Product Name

Anti-Huntingtin, from rabbit, purified by affinity chromatography

biological source

rabbit

Quality Level

antibody form

affinity isolated antibody

antibody product type

primary antibodies

clone

polyclonal

purified by

affinity chromatography

species reactivity

mouse, human

packaging

antibody small pack of 25 μg

technique(s)

immunohistochemistry: suitable (paraffin), western blot: suitable

UniProt accession no.

shipped in

ambient

target post-translational modification

unmodified

Gene Information

human ... HTT(3064)

General description

347.60 kDa calculated.
Huntingtin (UniProt: P42858; also known as Huntington disease protein, HD protein) is encoded by the HTT (also known as HD, IT15) gene (Gene ID: 3064) in human. The protein is found in the perinuclear region along with microtubules, and in the centrosomal region along with gamma-tubulin. It is expressed in the brain and is mainly found in the cerebellar cortex, the neocortex, the striatum, and the hippocampal formation. Huntingtin is necessary for neuronal survival and is involved in synaptic vesicle trafficking, microtubule binding and may also have a role in apoptosis. It plays a role in microtubule-mediated transport and vesicle function. Huntingtin protein contains a nuclear export signal (aa 2395-2404) and 5 HEAT (Huntington, Elongation Factor 3, PR65/A, TOR) domains. Huntingtin protein is cleaved by apopain downstream of the polyglutamine stretch and the resulting N-terminal fragment is cytotoxic and provokes apoptosis. Phosphorylation at Serine 1179 and 1199 by CDK5 in response to DNA damage in nuclei of neurons protects neurons against polyglutamine expansion as well as DNA damage mediated toxicity. Mutations in HTT gene cause Huntington disease that is characterized by involuntary movements (chorea), general motor impairment, psychiatric disorders and dementia. Wild-type huntingtin and anti-huntingtin antibody reduces aggregation and cellular toxicity of the mutant huntingtin form in mammalian cell models of Huntington disease.

Immunogen

Epitope: N-terminus
GST/His-tagged recombinant fragment corresponding to 180 amino acids from the N-terminal region of human Huntington disease protein .

Application

Anti-Huntingtin, Cat. No. ABN903, is a highly specific rabbit polyclonal antibody that targets Huntington Disease Protein and has been tested for use in Immunohistochemistry (Paraffin) and Western Blotting.
Research Category
Neuroscience
Western Blotting Analysis: 2 µg/mL from a representative lot detected Huntingtin in mouse brain tissue lysate.

Biochem/physiol Actions

This rabbit polyclonal antibody detects Huntington disease protein in human and mouse brain. It targets an epitope within 180 amino acids from the N-terminal region.

Physical form

Affinity Purified
Purified rabbit polyclonal antibody in buffer containing 0.1 M Tris-Glycine (pH 7.4), 150 mM NaCl with 0.05% sodium azide.

Preparation Note

Stable for 1 year at 2-8°C from date of receipt.

Analysis Note

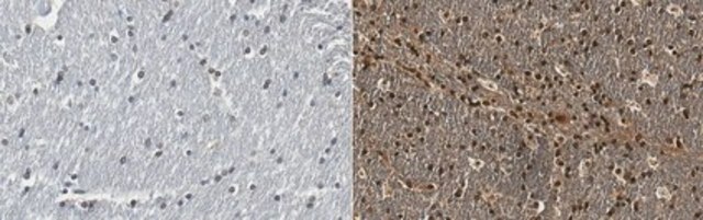
Evaluated by Immunohistochemistry in human cerebral cortex and human huntington′s diseased brain tissues.

Immunohistochemistry Analysis: A 1:50-250 dilution of this antibody detected Huntingtin in human cerebral cortex and human Huntington′s diseased brain tissues.

Other Notes

Concentration: Please refer to lot specific datasheet.

Disclaimer

Unless otherwise stated in our catalog or other company documentation accompanying the product(s), our products are intended for research use only and are not to be used for any other purpose, which includes but is not limited to, unauthorized commercial uses, in vitro diagnostic uses, ex vivo or in vivo therapeutic uses or any type of consumption or application to humans or animals.


Still not finding the right product?

Explore all of our products under Anti-Huntingtin

or

Try our Product Selector Tool to narrow your options


Storage Class

12 - Non Combustible Liquids

wgk

WGK 1

flash_point_f

does not flash

flash_point_c

does not flash



Certificates of Analysis (COA)

Search for Certificates of Analysis (COA) by entering the products Lot/Batch Number. Lot and Batch Numbers can be found on a product’s label following the words ‘Lot’ or ‘Batch’.

Already Own This Product?

Find documentation for the products that you have recently purchased in the Document Library.

Visit the Document Library



Global Trade Item Number

SKUGTIN
ABN90304054839399695
ABN903-25UG04054839543647