Skip to Content
Merck
CN

ABN99

Anti-phospho NR1 (Ser897) Antibody

from rabbit, purified by affinity chromatography

Synonym(s):

glutamate receptor, ionotropic, N-methyl D-aspartate 1, N-methyl-D-aspartate receptor subunit NR1, glutamate [NMDA] receptor subunit zeta 1, N-methyl-D-aspartate receptor channel, subunit zeta-1, glutamate [NMDA] receptor subunit zeta-1

Sign In to View Organizational & Contract Pricing.

Select a Size

Change View

About This Item

UNSPSC Code:
12352203
NACRES:
NA.41
eCl@ss:
32160702
Clone:
polyclonal
Species reactivity:
rat
Application:
IHC, IP, WB
Citations:
10
Technical Service
Need help? Our team of experienced scientists is here for you.
Let Us Assist


biological source

rabbit

Quality Level

antibody form

affinity isolated antibody

antibody product type

primary antibodies

clone

polyclonal

purified by

affinity chromatography

species reactivity

rat

species reactivity (predicted by homology)

mouse (based on 100% sequence homology), human (based on 100% sequence homology)

technique(s)

immunohistochemistry: suitable, immunoprecipitation (IP): suitable, western blot: suitable

UniProt accession no.

shipped in

wet ice

target post-translational modification

phosphorylation (pSer897)

Gene Information

human ... GRIN1(2902)
mouse ... Grin1(14810)
rat ... Grin1(24408)

General description

NR1 (NMDA1or NMDAR1, also known as GRIN1) along with the NR2 subunit forms a heterodimer that make up the NMDA receptor. The NMDA receptor (NMDAR) is characterized as a ionotropic receptor for glutamate. As the name suggests, (NMDA (N-methyl D-aspartate) is an agonist for the receptor. A distinct characteristic of the NMDA receptor is that it is both ligand-gated and voltage-dependent based on its sensitivity to magnesium. Activated NMDA receptors result in the opening of an ion channel that is nonselective to cations. The result is the flow of Na+ and small amounts of Ca2+ ions into the cell and K+ out of the cell. Calcium flux by the NMDARs has been implicated in synaptic plasticity, a mechanism in the cell for learning and memory.
~ 120 kDa

Immunogen

Epitope: Phosphorylated Ser897
KLH-conjugated linear peptide corresponding to rat NR1 when phosphorylated at Ser897.

Application

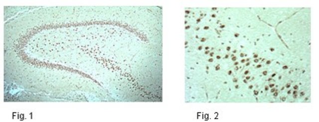
Immunohistochemistry Analysis: 1:50 dilution from a previous lot detected NR1 in normal rat hippocampus.
Immunoprecipitation Analysis: 10 µg from a previous lot immunoprecipitated NR1 from rat brain microsomal RIPA lysate.
Western Blot Analysis: 2 µg/mL from a previous lot detected NR1 in Lambda phosphatase untreated and treated rat brain microsomal tissue lysate.
Research Category
Neuroscience
Research Sub Category
Signaling Neuroscience
This Anti-phospho NR1 (Ser897) Antibody is validated for use in WB, IP, IH for the detection of phospho NR1 (Ser897).

Biochem/physiol Actions

This antibody recognizes NR1 when phosphorylated at Ser897.

Physical form

Affinity purified
Purified rabbit polyclonal in buffer containing 0.1 M Tris-Glycine (pH 7.4), 150 mM NaCl with 0.05% sodium azide.

Preparation Note

Stable for 1 year at 2-8°C from date of receipt.

Analysis Note

Control
Rat brain microsomal tissue lysate
Evaluated by Western Blot in rat brain microsomal tissue lysate.
Western Blot Analysis: 1 µg/mL of this antibody detected NR1 on 10 µg of rat brain microsomal tissue lysate.

Other Notes

Replaces: 06-641

Disclaimer

Unless otherwise stated in our catalog or other company documentation accompanying the product(s), our products are intended for research use only and are not to be used for any other purpose, which includes but is not limited to, unauthorized commercial uses, in vitro diagnostic uses, ex vivo or in vivo therapeutic uses or any type of consumption or application to humans or animals.


Still not finding the right product?

Try our Product Selector Tool to narrow your options


Storage Class

12 - Non Combustible Liquids

wgk

WGK 1

flash_point_f

Not applicable

flash_point_c

Not applicable



Certificates of Analysis (COA)

Search for Certificates of Analysis (COA) by entering the products Lot/Batch Number. Lot and Batch Numbers can be found on a product’s label following the words ‘Lot’ or ‘Batch’.

Already Own This Product?

Find documentation for the products that you have recently purchased in the Document Library.

Visit the Document Library



Regular physical activity prevents development of chronic pain and activation of central neurons.
Sluka, KA; O'Donnell, JM; Danielson, J; Rasmussen, LA
Journal of Applied Physiology (1985)
Wenjuan Ru et al.
Journal of neuroimmune pharmacology : the official journal of the Society on NeuroImmune Pharmacology, 11(1), 182-191 (2015-11-20)
HIV-1 envelope glycoprotein gp120 (gp120) is a major virulence protein implicated in the pathogenesis of HIV-associated neurocognitive disorders (HAND). Although gp120 has been suggested to cause synaptic and neuronal injuries by disrupting NMDA receptor (NMDAR) function, the underlying mechanism is
Lucas V Lima et al.
Pain, 158(9), 1697-1710 (2017-06-18)
Regular physical activity prevents the development of chronic muscle pain through the modulation of central mechanisms that involve rostral ventromedial medulla (RVM). We tested if pharmacological blockade or genetic deletion of mu-opioid receptors in physically active mice modulates excitatory and



Global Trade Item Number

SKUGTIN
ABN9904053252413926