Skip to Content
Merck
CN

MAB1564

Anti-Serotonin Transporter Antibody, clone 17-7A4

clone 17-7A4, Chemicon®, from mouse

Sign In to View Organizational & Contract Pricing.

Select a Size

Change View

About This Item

UNSPSC Code:
12352203
NACRES:
NA.41
eCl@ss:
32160702
Conjugate:
unconjugated
Clone:
17-7A4, monoclonal
Application:
IHC
Citations:
31
Technical Service
Need help? Our team of experienced scientists is here for you.
Let Us Assist


biological source

mouse

Quality Level

conjugate

unconjugated

antibody form

purified immunoglobulin

antibody product type

primary antibodies

clone

17-7A4, monoclonal

species reactivity

rat

manufacturer/tradename

Chemicon®

technique(s)

immunohistochemistry: suitable

isotype

IgG1

UniProt accession no.

shipped in

wet ice

target post-translational modification

unmodified

Gene Information

Immunogen

Rat serotonin transporter, N-terminus/GST fusion protein (aa 1-85).

Application

Detect Serotonin Transporter using this Anti-Serotonin Transporter Antibody, clone 17-7A4 validated for use in IH.
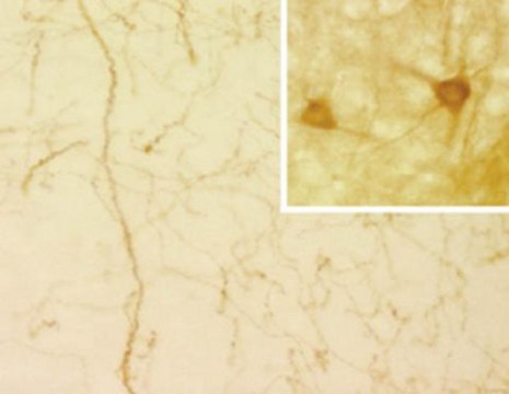
Immunohistochemistry: 0.5-1.0 μg/mL on paraformaldehyde fixed brain and adrenal tissue. Has not been tested on paraffin embedded tissue. Not recommended for use in Western blotting. Optimal working dilutions must be determined by end user.
Research Category
Neuroscience
Research Sub Category
Neurotransmitters & Receptors

Neuronal & Glial Markers

Biochem/physiol Actions

Recognizes Serotonin Transporter.

Physical form

Format: Purified
Protein A Purified mouse immunoglobulin in 20 mM sodium phosphate, 250 mM NaCl, pH. 7.6, with 0.1% sodium azide as a preservative.
Protein A purified

Preparation Note

Maintain for 1 year at 2–8°C from date of shipment. Aliquot to avoid repeated freezing and thawing. For maximum recovery of product, centrifuge the original vial after thawing and prior to removing the cap.

Analysis Note

Control
Brain tissue

Other Notes

Concentration: Please refer to the Certificate of Analysis for the lot-specific concentration.

Legal Information

CHEMICON is a registered trademark of Merck KGaA, Darmstadt, Germany

Disclaimer

Unless otherwise stated in our catalog or other company documentation accompanying the product(s), our products are intended for research use only and are not to be used for any other purpose, which includes but is not limited to, unauthorized commercial uses, in vitro diagnostic uses, ex vivo or in vivo therapeutic uses or any type of consumption or application to humans or animals.


Still not finding the right product?

Try our Product Selector Tool to narrow your options


wgk

WGK 2

flash_point_f

Not applicable

flash_point_c

Not applicable

Storage Class

12 - Non Combustible Liquids



Certificates of Analysis (COA)

Search for Certificates of Analysis (COA) by entering the products Lot/Batch Number. Lot and Batch Numbers can be found on a product’s label following the words ‘Lot’ or ‘Batch’.

Already Own This Product?

Find documentation for the products that you have recently purchased in the Document Library.

Visit the Document Library



Modulation of the trafficking of the human serotonin transporter by human alpha-synuclein.
Christophe Wersinger, Milan Rusnak, Anita Sidhu
The European Journal of Neuroscience null
P Brown et al.
The Journal of neuroscience : the official journal of the Society for Neuroscience, 20(5), 1952-1963 (2000-02-24)
Dopamine release in the nucleus accumbens (NAc) has been implicated as mediating the rewarding effects of stimulant drugs; however, recent studies suggest that 5-HT release may also contribute. In an effort to assess the role of 5-HT in drug-mediated reward
A L Halberstadt et al.
Neuroscience, 147(1), 207-223 (2007-05-18)
It is well known that the dorsal raphe nucleus (DRN) sends serotonergic and nonserotonergic projections to target regions in the brain stem and forebrain, including the vestibular nuclei. Although retrograde tracing studies have reported consistently that there are differences in



Global Trade Item Number

SKUGTIN
MAB156404053252466953